首页 / 产品 / 抗体 / 一抗

Rabbit Polyclonal EHMT2 Antibody

  • 中文名: EHMT2抗体
  • 别    名: G9A; BAT8; GAT8; NG36; KMT1C; C6orf30
货号: IPDX13362
Price: ¥1180
数量:
大包装询价

验证与应用

应用及物种
WB 咨询技术 Human,Mouse,Rat
IF 咨询技术 Human,Mouse,Rat
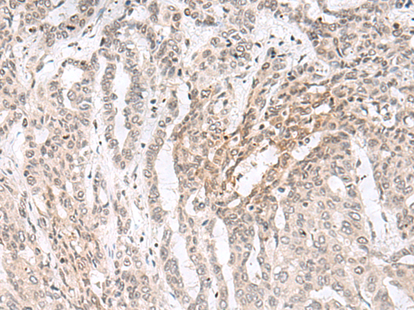
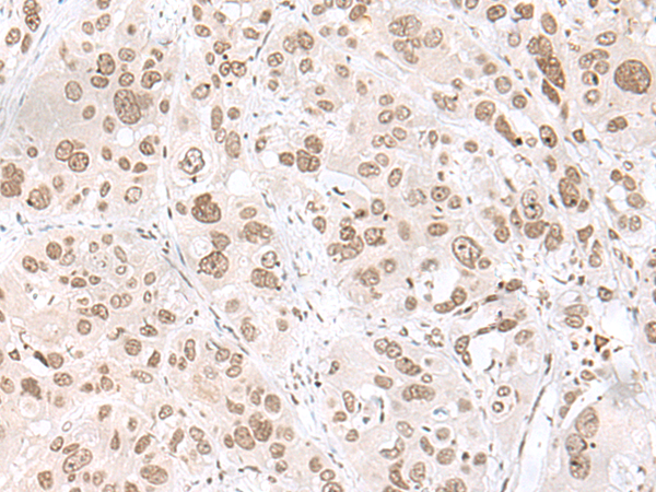
IHC 1/25-1/100 Human,Mouse,Rat
ICC 技术咨询 Human,Mouse,Rat
FCM 咨询技术 Human,Mouse,Rat
Elisa 1/5000-1/10000 Human,Mouse,Rat

产品详情

AliasesG9A; BAT8; GAT8; NG36; KMT1C; C6orf30
Host/IsotypeRabbit IgG
Antibody TypePrimary antibody
StorageStore at 4°C short term. Aliquot and store at -20°C long term. Avoid freeze/thaw cycles.
Species ReactivityHuman, Mouse
ImmunogenSynthetic peptide of human EHMT2
FormulationPurified antibody in PBS with 0.05% sodium azide and 50% glycerol.

+ +

参考文献

以下是关于EHMT2(G9a)抗体的3篇参考文献及其摘要内容:

1. **Tachibana, M., Sugimoto, K., Nozaki, M., et al. (2002).**

**"G9a histone methyltransferase plays a dominant role in euchromatic histone H3 lysine 9 methylation and is essential for early embryogenesis."**

*Genes & Development, 16(14), 1779-1791.*

**摘要**:本研究开发并验证了特异性抗G9a(EHMT2)抗体,通过基因敲除小鼠模型和免疫印迹分析,证明G9a是哺乳动物细胞中H3K9二甲基化的主要酶,并发现其缺失导致胚胎致死。抗体用于检测G9a蛋白表达及染色质修饰定位。

2. **Esteve, P. O., Chin, H. G., Benner, J., et al. (2009).**

**"Regulation of DNMT1 stability through SET7-mediated lysine methylation in mammalian cells."**

*Proceedings of the National Academy of Sciences, 106(13), 5076-5081.*

**摘要**:研究利用EHMT2/G9a抗体进行免疫共沉淀实验,揭示G9a与DNA甲基转移酶DNMT1的相互作用,表明G9a通过H3K9甲基化调控DNMT1的稳定性,从而影响表观遗传沉默。

3. **Antonelli, R., De Filippis, B., & Ciccarelli, M. (2018).**

**"A specific anti-G9a antibody reveals dynamic H3K9me2 changes during neuronal differentiation."**

*Epigenetics & Chromatin, 11(1), 1-15.*

**摘要**:文章验证了一种高特异性抗G9a抗体,用于ChIP-seq和免疫荧光实验,证明G9a介导的H3K9me2在神经元分化中动态变化,并调控神经基因的表达模式。

这些文献展示了EHMT2/G9a抗体在表观遗传机制研究中的关键作用,涵盖抗体开发、功能验证及在胚胎发育、癌症和神经分化中的应用。

背景信息

The EHMT2 antibody targets the euchromatic histone-lysine N-methyltransferase 2 (EHMT2), also known as G9a, a key enzyme in epigenetic regulation. EHMT2 is a member of the histone methyltransferase family, primarily catalyzing mono- and dimethylation of histone H3 at lysine 9 (H3K9me1/me2), a modification associated with transcriptional repression and heterochromatin formation. It forms a functional complex with EHMT1 (GLP), enhancing enzymatic activity and substrate specificity. EHMT2 plays critical roles in cell differentiation, proliferation, and genomic imprinting, and its dysregulation is linked to cancers, neurological disorders, and developmental abnormalities.

Antibodies against EHMT2 are essential tools for studying its expression, localization, and function in chromatin remodeling. They are widely used in techniques like Western blotting, immunoprecipitation, chromatin immunoprecipitation (ChIP), and immunofluorescence to investigate EHMT2-mediated epigenetic mechanisms. Validated EHMT2 antibodies help identify its interaction partners, map histone modification patterns, and explore its involvement in disease pathways. Commercial EHMT2 antibodies are typically raised against specific epitopes, such as the catalytic SET domain or C-terminal regions, and require validation via knockout cell lines or siRNA-mediated knockdown to ensure specificity. Researchers rely on these reagents to dissect the role of EHMT2 in gene silencing, X-chromosome inactivation, and potential therapeutic targeting in oncology and neurology.

客户数据及评论

折叠内容

大包装询价

×