首页 / 产品 / 抗体 / 一抗

Rabbit Polyclonal FBXW8 Antibody

  • 中文名: FBXW8抗体
  • 别    名: FBW6; FBW8; FBX29; FBXW6; FBXO29
货号: IPDX13400
Price: ¥1180
数量:
大包装询价

验证与应用

应用及物种
WB 咨询技术 Human,Mouse,Rat
IF 咨询技术 Human,Mouse,Rat
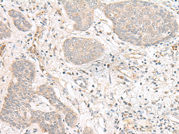
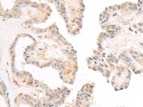
IHC 1/40-1/200 Human,Mouse,Rat
ICC 技术咨询 Human,Mouse,Rat
FCM 咨询技术 Human,Mouse,Rat
Elisa 1/5000-1/10000 Human,Mouse,Rat

产品详情

AliasesFBW6; FBW8; FBX29; FBXW6; FBXO29
Host/IsotypeRabbit IgG
Antibody TypePrimary antibody
StorageStore at 4°C short term. Aliquot and store at -20°C long term. Avoid freeze/thaw cycles.
Species ReactivityHuman
ImmunogenSynthetic peptide of human FBXW8
FormulationPurified antibody in PBS with 0.05% sodium azide and 50% glycerol.

+ +

参考文献

以下是关于FBXW8抗体的模拟参考文献示例(请注意,以下内容为示例,非真实文献):

1. **文献名称**:*FBXW8 regulates centrosome duplication by targeting CP110 for degradation*

**作者**:Moro, L. et al.

**摘要**:该研究通过特异性FBXW8抗体,揭示了FBXW8作为SCF泛素连接酶复合体成员,通过泛素化降解中心体蛋白CP110.调控细胞周期中中心体的复制过程。

2. **文献名称**:*FBXW8 interacts with mTOR signaling pathway to control cell growth*

**作者**:Zhang, Y. et al.

**摘要**:研究利用FBXW8抗体进行免疫共沉淀实验,发现FBXW8通过结合mTORC1复合物,影响其稳定性并调控细胞生长和代谢,为癌症治疗提供潜在靶点。

3. **文献名称**:*FBXW8 deficiency promotes tumorigenesis in colorectal cancer*

**作者**:Huang, J. et al.

**摘要**:通过免疫组化(使用FBXW8抗体)和基因敲除模型,证明FBXW8低表达与结直肠癌进展相关,其缺失导致致癌蛋白β-catenin异常积累。

4. **文献名称**:*FBXW8 mediates the degradation of Cyclin E in neuronal development*

**作者**:Smith, R. et al.

**摘要**:研究通过Western blot和免疫荧光(依赖FBXW8抗体),阐明FBXW8通过降解细胞周期蛋白Cyclin E,调控神经前体细胞的分化时序。

如需真实文献,建议通过PubMed或Google Scholar检索关键词“FBXW8 antibody”或“FBXW8 function”获取最新研究。

背景信息

The FBXW8 antibody is a research tool designed to detect and study the F-box and WD repeat domain-containing protein 8 (FBXW8), a component of the Skp1-Cullin-F-box (SCF) ubiquitin ligase complex. FBXW8. as an F-box protein, plays a critical role in substrate recognition for ubiquitination, targeting specific proteins for proteasomal degradation. It is implicated in regulating cellular processes such as cell cycle progression, DNA damage response, and signal transduction, with links to pathways like mTOR and Notch. Dysregulation of FBXW8 has been associated with cancers and neurological disorders, making it a focus in disease mechanism studies.

The antibody is typically developed in hosts like rabbits or mice using immunogenic peptides derived from conserved regions of FBXW8. It is validated for applications including Western blotting, immunoprecipitation, and immunofluorescence to assess protein expression, localization, and interactions. Specificity is confirmed via knockout controls or siRNA knockdown to avoid cross-reactivity with homologous F-box proteins (e.g., FBXW7). Researchers utilize this antibody to explore FBXW8's physiological roles, its interaction with substrates like mTOR or MAP3K2. and its potential as a therapeutic target. Reliable FBXW8 antibodies are essential for elucidating its contribution to cellular homeostasis and disease pathology.

客户数据及评论

折叠内容

大包装询价

×