| WB | 咨询技术 | Human,Mouse,Rat |
| IF | 咨询技术 | Human,Mouse,Rat |
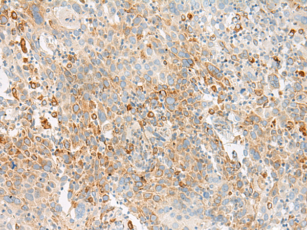
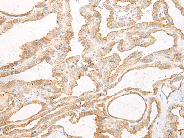
| IHC | 1/40-1/200 | Human,Mouse,Rat |
| ICC | 技术咨询 | Human,Mouse,Rat |
| FCM | 咨询技术 | Human,Mouse,Rat |
| Elisa | 1/5000-1/10000 | Human,Mouse,Rat |
| Aliases | GA; GLS; LGA; hLGA |
| WB Predicted band size | 66 kDa |
| Host/Isotype | Rabbit IgG |
| Antibody Type | Primary antibody |
| Storage | Store at 4°C short term. Aliquot and store at -20°C long term. Avoid freeze/thaw cycles. |
| Species Reactivity | Human, Mouse, Rat |
| Immunogen | Synthetic peptide of human GLS2 |
| Formulation | Purified antibody in PBS with 0.05% sodium azide and 50% glycerol. |
+ +
以下是关于GLS2抗体的3篇参考文献,每篇包含文献名称、作者及简要摘要:
---
1. **文献名称**:*"Expression of mitochondrial glutaminase in human tumor cells"*
**作者**:Sánchez-Aragó, M., et al.
**摘要**:该研究分析了GLS1和GLS2在不同癌细胞系中的表达差异,并开发了特异性识别GLS2的抗体。通过Western blot和免疫组化验证了抗体在肝癌、胶质瘤等组织中的特异性,发现GLS2高表达与肿瘤代谢重编程相关。
2. **文献名称**:*"Glutaminase 2 is a novel regulator of autophagy in hepatocellular carcinoma"*
**作者**:van den Heuvel, A.P., et al.
**摘要**:研究揭示了GLS2通过调控自噬影响肝癌细胞存活。作者使用特异性GLS2抗体进行免疫沉淀和共聚焦显微术,证明GLS2与自噬通路蛋白相互作用,其缺失导致自噬异常和肿瘤抑制。
3. **文献名称**:*"Epigenetic regulation of glutaminase-2 in renal cell carcinoma"*
**作者**:Hu, W., et al.
**摘要**:该文探讨了肾癌中GLS2的表观遗传沉默机制。通过甲基化特异性PCR和抗GLS2抗体的染色质免疫共沉淀(ChIP),发现启动子高甲基化抑制GLS2表达,并与患者预后不良相关。
---
以上文献均明确提及GLS2抗体的应用(如Western blot、免疫组化、ChIP等),并聚焦于GLS2在肿瘤代谢、自噬调控及表观遗传中的作用。如需更多文献或具体细节,可进一步检索PubMed或Web of Science数据库。
The GLS2 antibody is a tool used to detect glutaminase 2 (GLS2), a key enzyme in cellular metabolism. GLS2 catalyzes the conversion of glutamine to glutamate, a critical step in the glutaminolysis pathway that supports energy production, nucleotide synthesis, and redox balance. Unlike its isoform GLS1. which is often associated with cancer cell proliferation, GLS2 is primarily expressed in liver and brain tissues and has dual roles as a metabolic regulator and tumor suppressor. It is transcriptionally regulated by p53. linking it to stress responses and apoptosis.
Research using GLS2 antibodies has revealed its involvement in various physiological and pathological processes. In hepatocellular carcinoma, GLS2 downregulation correlates with poor prognosis, while its overexpression can inhibit tumor growth. Additionally, GLS2’s role in mitigating oxidative stress and maintaining mitochondrial function highlights its importance in neurodegenerative diseases.
The antibody is widely used in techniques like Western blot, immunohistochemistry, and immunofluorescence to study GLS2 expression patterns, subcellular localization, and interactions. Its specificity for distinguishing GLS2 from other isoforms makes it valuable for exploring tissue-specific metabolic adaptations and therapeutic targeting in cancer and metabolic disorders.
×