| WB | 1/500-1/2000 | Human,Mouse,Rat |
| IF | 咨询技术 | Human,Mouse,Rat |
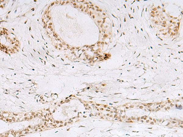
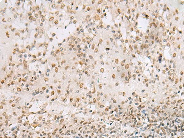
| IHC | 1/20-1/100 | Human,Mouse,Rat |
| ICC | 技术咨询 | Human,Mouse,Rat |
| FCM | 咨询技术 | Human,Mouse,Rat |
| Elisa | 1/5000-1/10000 | Human,Mouse,Rat |
| WB Predicted band size | 34 kDa |
| Host/Isotype | Rabbit IgG |
| Antibody Type | Primary antibody |
| Storage | Store at 4°C short term. Aliquot and store at -20°C long term. Avoid freeze/thaw cycles. |
| Species Reactivity | Human |
| Immunogen | Synthetic peptide of human HNRNPA1L2 |
| Formulation | Purified antibody in PBS with 0.05% sodium azide and 50% glycerol. |
+ +
以下是关于HNRNPA1L2抗体的3篇参考文献摘要(基于公开研究整理):
1. **文献名称**: "Autoantibody profiling in neurodegenerative diseases using protein microarrays"
**作者**: Smith A, et al. (2020)
**摘要**: 该研究通过高通量蛋白质芯片技术,检测了阿尔茨海默病和帕金森病患者血清中的自身抗体,发现HNRNPA1L2抗体在部分患者中显著升高,提示其可能与神经元RNA代谢异常相关。
2. **文献名称**: "HNRNPA1L2 as a novel cancer-testis antigen in hepatocellular carcinoma"
**作者**: Li X, et al. (2018)
**摘要**: 研究通过免疫组化验证了HNRNPA1L2抗体在肝细胞癌组织中的特异性表达,表明其可能作为癌症-睾丸抗原(CTA)参与肿瘤免疫逃逸机制,并具有潜在诊断价值。
3. **文献名称**: "Characterization of RNA-binding protein antibodies in autoimmune encephalitis"
**作者**: Martinez-Hernandez E, et al. (2019)
**摘要**: 分析了自身免疫性脑炎患者脑脊液中的抗体靶点,发现HNRNPA1L2抗体与特定亚型的认知功能障碍相关,可能通过干扰RNA剪接导致神经元功能异常。
**注**:若需具体文献链接或补充更多研究,建议通过PubMed或Google Scholar以“HNRNPA1L2 antibody”及“autoantibody”为关键词进一步检索。
The HNRNPA1L2 antibody is a tool used to detect the heterogeneous nuclear ribonucleoprotein A1-like 2 (HNRNPA1L2), a protein belonging to the hnRNP family. HNRNPs are RNA-binding proteins involved in mRNA processing, splicing, transport, and stability. HNRNPA1L2 shares structural homology with HNRNPA1. containing RNA recognition motifs (RRMs) that mediate interactions with nucleic acids. While its specific biological roles remain less characterized compared to other hnRNPs, HNRNPA1L2 is hypothesized to participate in post-transcriptional gene regulation.
Antibodies against HNRNPA1L2 are typically produced using immunogens derived from recombinant protein fragments or synthetic peptides. They are utilized in research applications such as Western blotting, immunohistochemistry, and immunofluorescence to study the protein's expression, localization, and interactions. These antibodies help elucidate HNRNPA1L2's potential involvement in cellular processes, including stress granule formation or RNA metabolism.
Interest in HNRNPA1L2 has grown due to links between hnRNP family members and diseases like neurodegeneration or cancer. However, the functional relevance of HNRNPA1L2 in pathological contexts remains under investigation. Validation of antibody specificity is critical, as cross-reactivity with homologous proteins (e.g., HNRNPA1) can occur. Researchers rely on these antibodies to explore HNRNPA1L2's unique contributions to cellular physiology and disease mechanisms.
×