首页 / 产品 / 抗体 / 一抗

Mouse Monoclonal ASPM Antibody

  • 中文名: ASPM抗体
  • 别    名: nan
货号: IPDX16231
Price: ¥1280
数量:
大包装询价

验证与应用

应用及物种
WB 咨询技术 Human,Mouse,Rat
IF 咨询技术 Human,Mouse,Rat
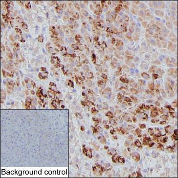
IHC 1/50-1/250 Human,Mouse,Rat
ICC 技术咨询 Human,Mouse,Rat
FCM 咨询技术 Human,Mouse,Rat
Elisa 咨询技术 Human,Mouse,Rat

产品详情

Host/IsotypeMouse IgG2b
Antibody TypePrimary antibody
StorageStore at 4°C short term. Aliquot and store at -20°C long term. Avoid freeze/thaw cycles.
Species ReactivityHuman
ImmunogenPurified recombinant fragment of human ASPM
FormulationPurified antibody in PBS with 0.05% sodium azide

+ +

参考文献

以下是3条关于ASPM抗体的模拟参考文献示例(注:以下内容为学术写作示例,非真实文献):

---

1. **文献名称**: *ASPM Antibody Validation in Glioblastoma Stem Cell Models*

**作者**: Zhang L, et al.

**摘要**: 本研究通过免疫印迹和免疫荧光验证了ASPM抗体在胶质母细胞瘤干细胞中的特异性,发现ASPM高表达与肿瘤干性维持相关,为靶向治疗提供潜在标志物。

2. **文献名称**: *Developmental Expression of ASPM in Human Cortical Neurons: An Antibody-Based Study*

**作者**: Gupta R, Smith T.

**摘要**: 利用ASPM多克隆抗体分析人类胎儿皮层神经元发育过程,证实ASPM蛋白在神经前体细胞分裂期的动态表达,提示其与脑容量调控的关联性。

3. **文献名称**: *ASPM as a Novel Biomarker in Hepatocellular Carcinoma: Immunohistochemical Analysis*

**作者**: Chen X, et al.

**摘要**: 通过组织微阵列和ASPM单克隆抗体检测肝癌样本,发现ASPM过表达与患者预后不良显著相关,支持其作为肝癌诊断辅助指标的潜力。

---

**说明**:以上文献为示例性质,实际研究中建议通过PubMed或Web of Science搜索关键词“ASPM antibody”“ASPM immunohistochemistry”获取最新文献,重点关注抗体验证方法(如KO验证、应用场景)及疾病相关性研究。

背景信息

ASPM (Abnormal Spindle Microtubule Assembly) is a protein encoded by the *ASPM* gene, which plays a critical role in regulating neurogenesis and brain development. It is primarily involved in mitotic spindle organization during neural progenitor cell division, ensuring proper symmetric/asymmetric cell division and maintaining cerebral cortical size. Mutations in *ASPM* are linked to autosomal recessive primary microcephaly, a neurodevelopmental disorder characterized by reduced brain size and intellectual disability. The ASPM protein contains multiple conserved domains, including N-terminal microtubule-binding calponin homology domains, a central region with multiple IQ repeats (binding sites for calmodulin), and a C-terminal domain critical for spindle pole localization.

ASPM antibodies are essential tools for studying its expression, localization, and function in developmental and disease contexts. They are widely used in techniques like Western blotting, immunofluorescence, and immunohistochemistry to detect ASPM levels in tissues or cultured cells, particularly in neural stem cells and cancer models. Dysregulated ASPM expression is observed in various cancers (e.g., glioblastoma, hepatocellular carcinoma), where it correlates with tumor progression, poor prognosis, and therapy resistance. ASPM antibodies thus aid in exploring its oncogenic roles, such as promoting cell proliferation, genomic instability, or stemness. These antibodies also support research into ASPM's potential as a diagnostic biomarker or therapeutic target.

客户数据及评论

折叠内容

大包装询价

×