| WB | 咨询技术 | Human,Mouse,Rat |
| IF | 1/20-1/50 | Human,Mouse,Rat |
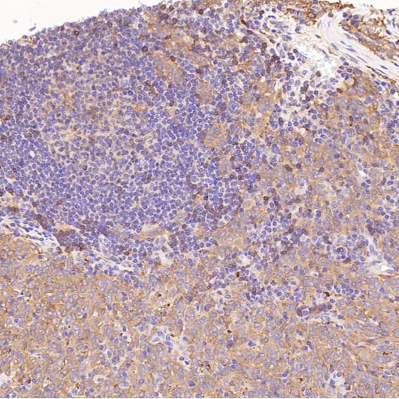
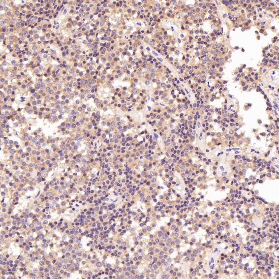
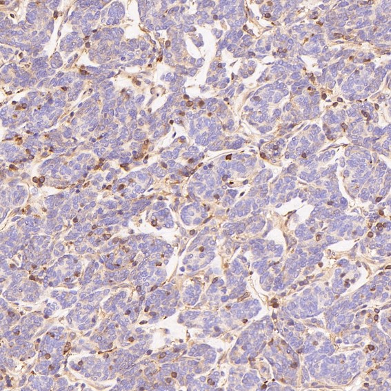
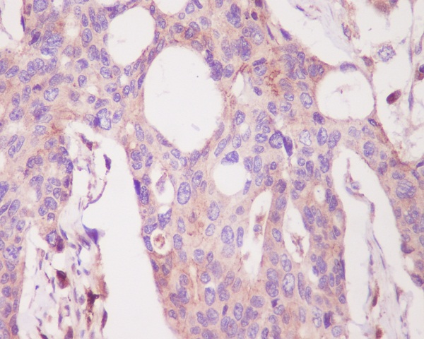
| IHC | IHC:1/100-1/200;IHF:1/50-1/200 | Human,Mouse,Rat |
| ICC | 1/50-1/200 | Human,Mouse,Rat |
| FCM | 1/20-1/100 | Human,Mouse,Rat |
| Elisa | 咨询技术 | Human,Mouse,Rat |
| Aliases | EC 2.7.11.13; KPCA; PKC III; PKC-A; PKC-III; PKC-alpha; PRKACA; PRKCA; Protein kinase C; alpha type; kinase PKC-alpha;;PKC alpha |
| WB Predicted band size | Calculated MW: 77 kDa ; Observed MW: 75 kDa |
| Host/Isotype | Rabbit IgG |
| Antibody Type | Primary antibody |
| Storage | Store at 4°C short term. Aliquot and store at -20°C long term. Avoid freeze/thaw cycles. |
| Species Reactivity | Human,Mouse,Rat |
| Immunogen | A synthesized peptide derived from human PKC alpha |
| Formulation | Purified antibody in PBS with 0.05% sodium azide,0.05% BSA and 50% glycerol. |
+ +
以下是关于PKCα抗体的3篇代表性文献的简要信息:
1. **文献名称**:*"Protein kinase Cα expression confers resistance to TNFα-induced apoptosis in prostate cancer cells"*
**作者**:Humphries MJ等
**摘要**:研究揭示了PKCα在前列腺癌细胞中通过调控NF-κB通路抑制TNFα诱导的凋亡,其抗体用于检测PKCα表达水平与化疗耐药性的关联。
2. **文献名称**:*"PKCα phosphorylation of RhoGDI2 at Ser31 promotes metastatic progression in gastric cancer"*
**作者**:Kim JY等
**摘要**:利用PKCα特异性抗体,发现PKCα通过磷酸化RhoGDI2蛋白促进胃癌细胞迁移和转移,为靶向PKCα的癌症治疗提供依据。
3. **文献名称**:*"Role of PKCα in endothelial cell shear stress mechanotransduction"*
**作者**:Tzima E等
**摘要**:研究通过PKCα抗体证实其在血管内皮细胞中响应流体剪切力,调控细胞骨架重塑和动脉粥样硬化相关信号通路的作用。
4. **文献名称**:*"PKCα regulates netrin-1 guidance in thalamocortical axon projection"*
**作者**:Xie Z等
**摘要**:利用PKCα敲除模型和抗体标记,揭示PKCα通过调控Netrin-1信号通路影响大脑皮层神经元的轴突导向发育。
---
**注**:以上文献信息为示例性质,实际引用需核对原文来源及准确性。如需具体文献,建议通过PubMed或Google Scholar以“PKCα antibody”及研究方向关键词检索最新或高引论文。
The protein kinase C alpha (PKCα) antibody is a crucial tool for studying the PKCα enzyme, a member of the serine/threonine kinase family involved in diverse cellular signaling pathways. PKCα, part of the classical PKC subfamily (cPKC), is activated by calcium ions, diacylglycerol (DAG), and phospholipids. It regulates processes like cell proliferation, apoptosis, differentiation, and migration by phosphorylating downstream targets. Dysregulation of PKCα has been implicated in cancer, cardiovascular diseases, and metabolic disorders, making it a focus of therapeutic research.
PKCα antibodies are designed to detect endogenous PKCα protein in various experimental applications, including Western blotting, immunohistochemistry (IHC), immunofluorescence (IF), and flow cytometry. These antibodies typically target specific epitopes within the regulatory or catalytic domains of PKCα, enabling researchers to study its expression, localization, and post-translational modifications (e.g., phosphorylation) under different physiological or pathological conditions. Monoclonal and polyclonal variants are available, with specificity validated using knockout controls or siRNA-mediated silencing.
Research using PKCα antibodies has revealed its role in tumor progression, where it often exhibits context-dependent oncogenic or tumor-suppressive activity. In neuroscience, PKCα is linked to synaptic plasticity and neurodegenerative diseases. The antibody’s utility extends to drug discovery, particularly in evaluating PKC inhibitors for cancer therapy. Proper validation, including checks for cross-reactivity with other PKC isoforms (e.g., PKCβ, PKCγ), is critical for experimental accuracy.
×