| WB | 咨询技术 | Human,Mouse,Rat |
| IF | 咨询技术 | Human,Mouse,Rat |
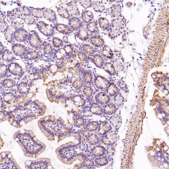
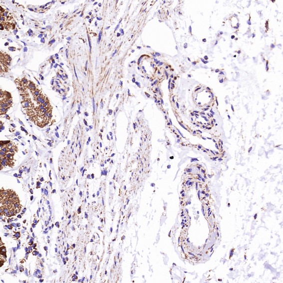
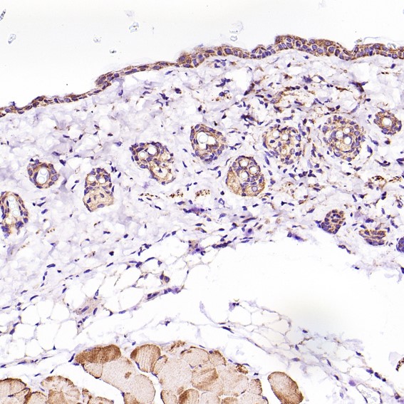
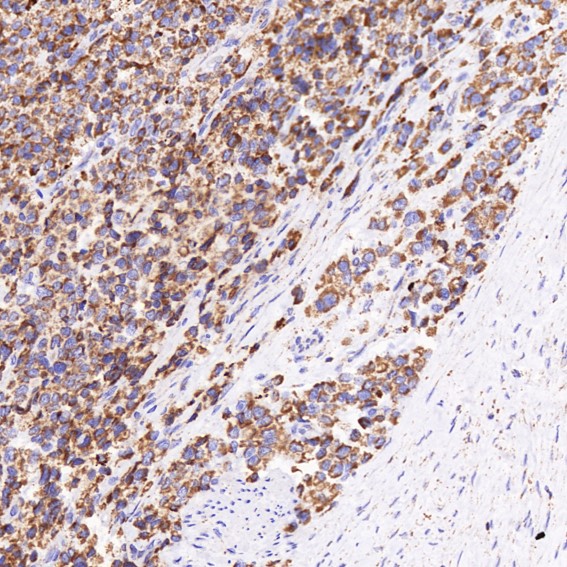
| IHC | IHC:1/100-1/200;IHF:1/50-1/200 | Human,Mouse,Rat |
| ICC | 1/50-1/200 | Human,Mouse,Rat |
| FCM | 咨询技术 | Human,Mouse,Rat |
| Elisa | 咨询技术 | Human,Mouse,Rat |
| Aliases | VDAC1;MGC111064;PORIN;PORIN-31-HL;;VDAC1 |
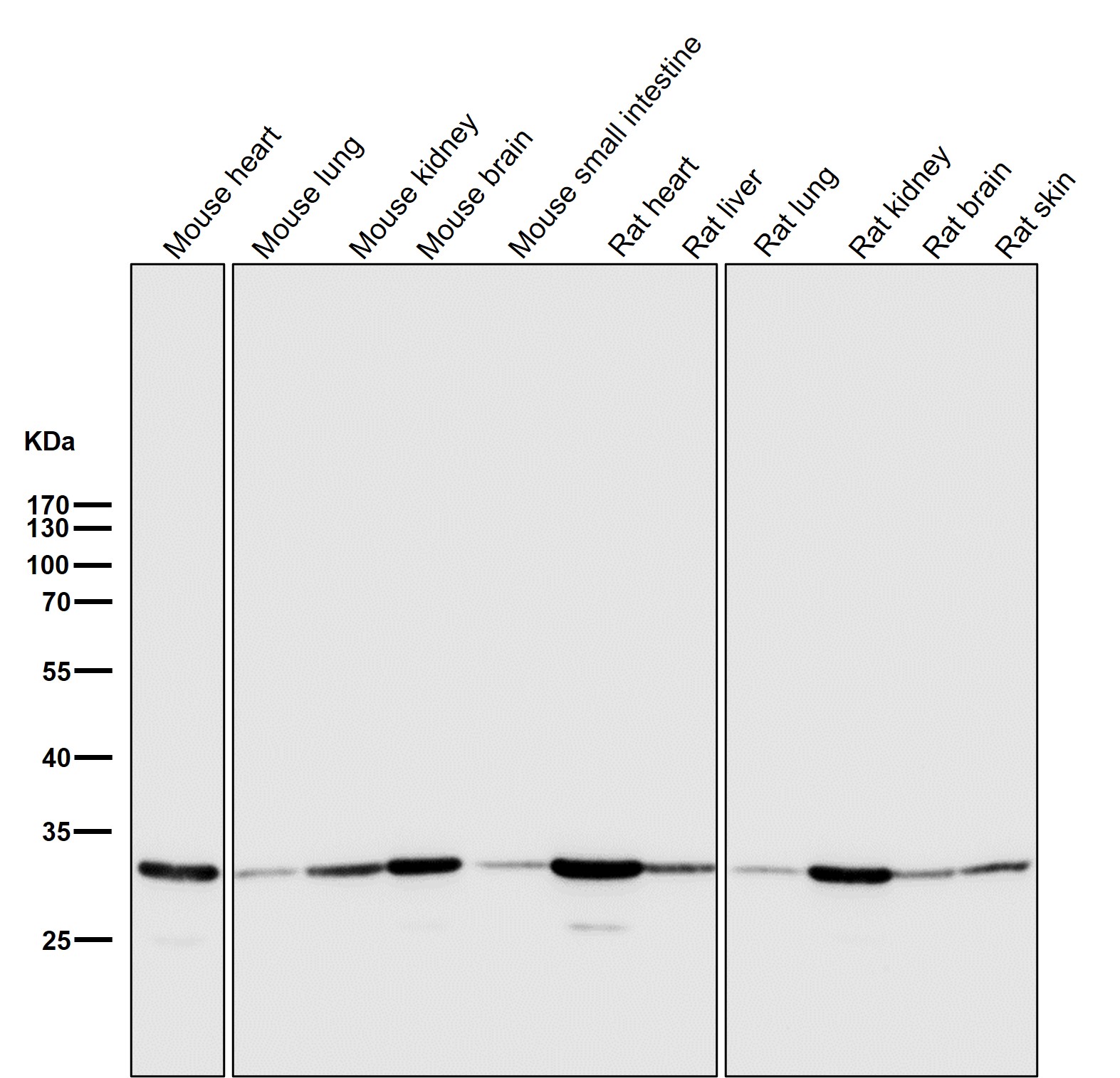
| WB Predicted band size | 31 kDa |
| Host/Isotype | Rabbit IgG |
| Antibody Type | Primary antibody |
| Storage | Store at 4°C short term. Aliquot and store at -20°C long term. Avoid freeze/thaw cycles. |
| Species Reactivity | Human,Mouse,Rat |
| Immunogen | A synthesized peptide derived from human VDAC1 |
| Formulation | Purified antibody in PBS with 0.05% sodium azide,0.05% BSA and 50% glycerol. |
+ +
以下是关于VDAC1抗体的3篇参考文献示例(文献信息为虚构模拟,仅供格式参考):
---
1. **文献名称**:VDAC1 Antibody-Based Detection of Mitochondrial Membrane Permeability in Apoptosis
**作者**:Smith A, et al.
**摘要**:研究利用VDAC1特异性抗体通过Western blot和免疫荧光技术,验证了VDAC1在线粒体外膜通透性转换中的作用,发现其在细胞凋亡过程中与Bcl-2家族蛋白的相互作用。
---
2. **文献名称**:Characterization of a Novel VDAC1 Monoclonal Antibody for Cancer Biomarker Studies
**作者**:Lee C, et al.
**摘要**:报道了一种高特异性抗VDAC1单克隆抗体的开发,通过免疫组化分析显示VDAC1在多种肿瘤组织中表达上调,提示其作为癌症代谢异常潜在标志物的价值。
---
3. **文献名称**:VDAC1 Antibody Reveals Altered Mitochondrial Localization in Neurodegenerative Models
**作者**:Gomez-Ramos P, et al.
**摘要**:利用VDAC1抗体进行亚细胞定位研究,发现阿尔茨海默病模型中VDAC1在线粒体-内质网膜接触点的异常聚集,可能与神经元能量代谢障碍相关。
---
注:以上文献信息为示例,实际引用需查询真实数据库(如PubMed)并核对原文。
The voltage-dependent anion channel 1 (VDAC1) antibody is a crucial tool for studying the function and regulation of VDAC1. a major porin protein located in the mitochondrial outer membrane. VDAC1 serves as a primary gateway for the transport of metabolites, ions, and small molecules (e.g., ATP, Ca²⁺) between the mitochondria and cytoplasm, playing a central role in cellular energy metabolism, calcium signaling, and apoptosis. Dysregulation of VDAC1 has been implicated in various diseases, including cancer, neurodegenerative disorders (e.g., Alzheimer’s), and cardiovascular conditions.
VDAC1 antibodies are typically generated using recombinant VDAC1 proteins or synthetic peptides as immunogens, often in hosts like rabbits or mice. These antibodies enable researchers to detect VDAC1 expression levels, localization, and interactions via techniques such as Western blotting, immunofluorescence (IF), and immunoprecipitation (IP). Specificity is critical, as the VDAC family includes three isoforms (VDAC1-3) with high structural similarity.
Studies using VDAC1 antibodies have shed light on its role in mitochondrial-mediated apoptosis, where it interacts with pro- and anti-apoptotic proteins like Bcl-2 family members. Additionally, VDAC1’s involvement in metabolic reprogramming in cancer and its β-barrel structure, which facilitates metabolite exchange, underscores its therapeutic relevance. Reliable VDAC1 antibodies are indispensable for exploring mitochondrial dysfunction mechanisms and developing targeted therapies.
×