| WB | 咨询技术 | Human,Mouse,Rat |
| IF | 1/20-1/50 | Human,Mouse,Rat |
| IHC | 咨询技术 | Human,Mouse,Rat |
| ICC | 1/50-1/200 | Human,Mouse,Rat |
| FCM | 1/20-1/100 | Human,Mouse,Rat |
| Elisa | 咨询技术 | Human,Mouse,Rat |
| Aliases | ERK-1, Insulin-stimulated MAP2 kinase, MAP kinase 1, MAPK 1, p44-ERK1, ERT2, p44-MAPK, ERK-1,;ERK1/2 |
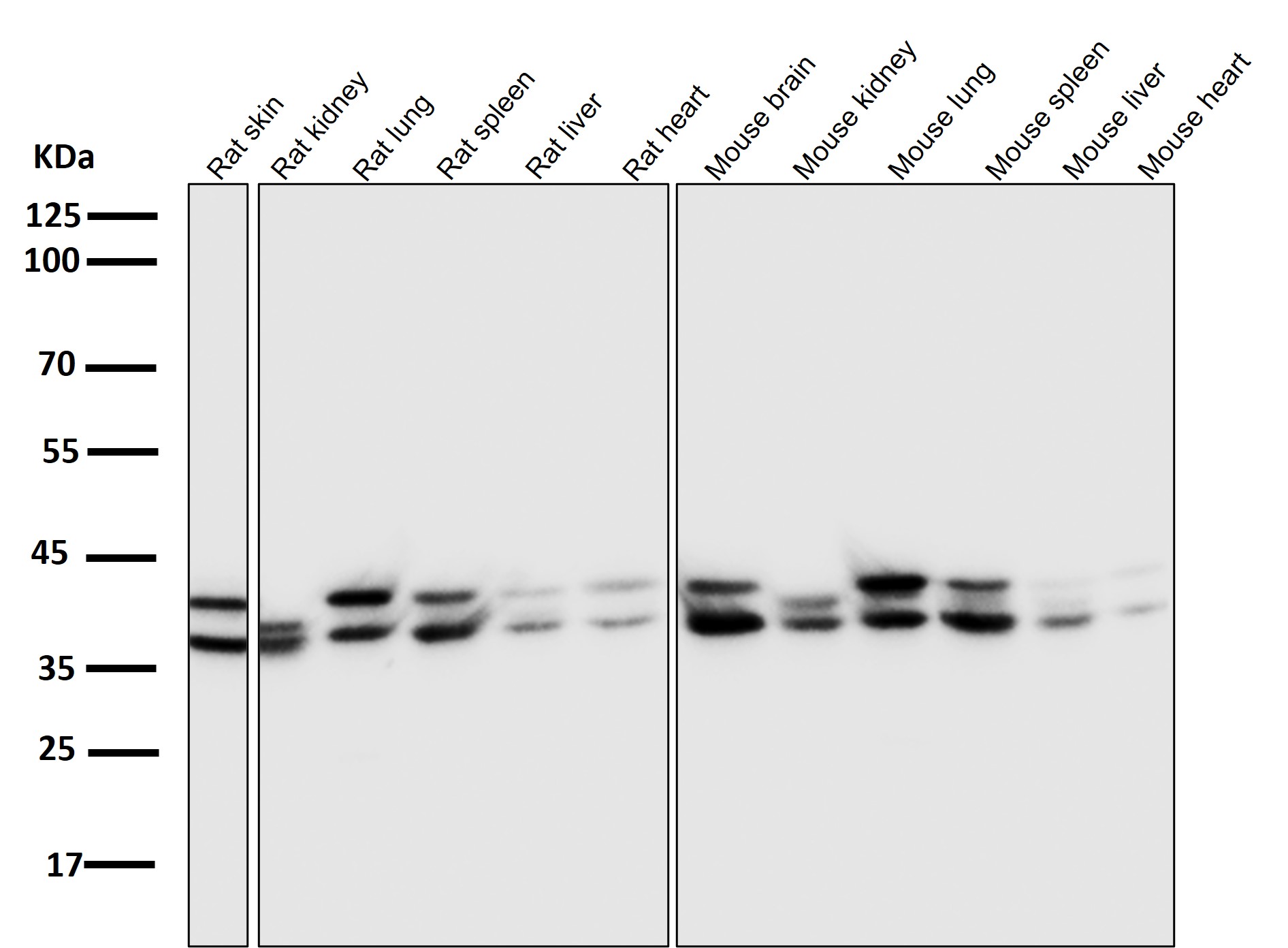
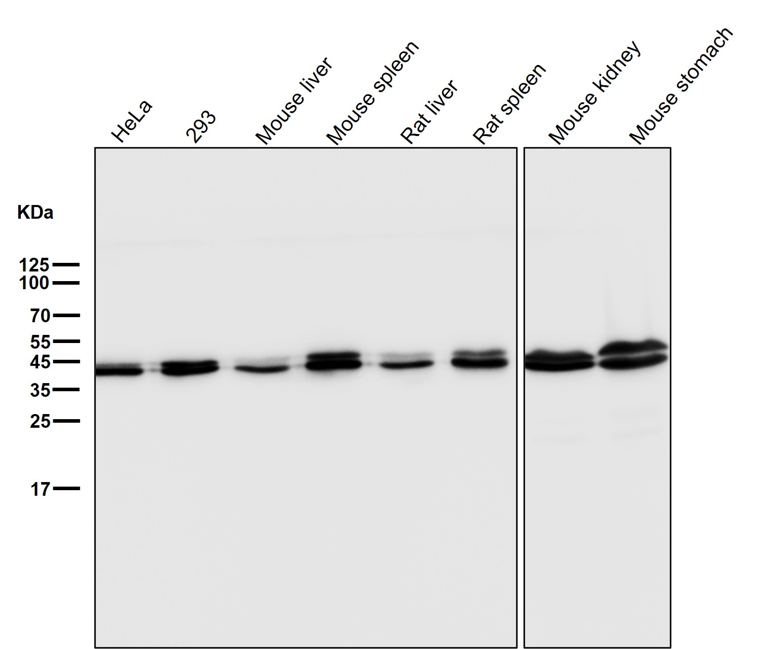
| WB Predicted band size | Calculated MW: 43,41 kDa ; Observed MW: 42,44 kDa |
| Host/Isotype | Rabbit IgG |
| Antibody Type | Primary antibody |
| Storage | Store at 4°C short term. Aliquot and store at -20°C long term. Avoid freeze/thaw cycles. |
| Species Reactivity | Human,Mouse,Rat |
| Immunogen | A synthesized peptide derived from human ERK1 |
| Formulation | Purified antibody in PBS with 0.05% sodium azide,0.05% BSA and 50% glycerol. |
+ +
以下是3篇与ERK1/2抗体相关的代表性文献及其摘要内容概括:
1. **文献名称**: "ERK1/2 MAP kinases: structure, function, and regulation"
**作者**: Roskoski R.
**摘要**: 该综述详细描述了ERK1/2蛋白的结构、功能及其在细胞信号转导中的调控机制,并强调了特异性抗体在检测磷酸化(激活态)和非磷酸化ERK1/2中的应用,包括Western blot和免疫组化中的关键实验条件。
2. **文献名称**: "Activation of ERK1/2 by serum in NIH3T3 cells requires both Ras and Raf activity"
**作者**: Yao Y. et al.
**摘要**: 研究通过使用磷酸化特异性ERK1/2抗体(如抗p-ERK1/2 Thr202/Tyr204),证明Ras/Raf/MEK通路对血清诱导的ERK1/2激活至关重要,验证了该抗体在检测细胞外刺激响应中的特异性。
3. **文献名称**: "Application of phospho-specific antibodies for high-throughput analysis of signaling network dynamics"
**作者**: Aoki K. et al.
**摘要**: 文章系统评估了多种ERK1/2磷酸化抗体的交叉反应性和灵敏度,提出通过siRNA敲低或抑制剂处理验证抗体特异性的方法,为精准量化ERK1/2活性提供技术参考。
4. **文献名称**: "Diverse roles of ERK1/2 in immune cell function and disease models"
**作者**: Murphy L.O. & Blenis J.
**摘要**: 利用ERK1/2抗体在基因敲除小鼠模型中验证其功能,揭示ERK1/2在T细胞活化、肿瘤发生及炎症反应中的作用,强调抗体在组织特异性信号分析中的可靠性。
这些文献覆盖了抗体验证、功能研究及技术应用场景,适合作为ERK1/2相关实验的参考依据。
ERK1/2 (Extracellular Signal-Regulated Kinase 1/2), also known as MAPK3/MAPK1. are serine/threonine kinases central to the mitogen-activated protein kinase (MAPK) signaling pathway. They play critical roles in regulating cell proliferation, differentiation, survival, and apoptosis by transmitting signals from surface receptors to intracellular targets. ERK1 (44 kDa) and ERK2 (42 kDa) share ~85% sequence identity and are activated via dual phosphorylation at conserved threonine and tyrosine residues (Thr202/Tyr204 in ERK1; Thr185/Tyr187 in ERK2) by upstream MAPK/MEK kinases.
ERK1/2 antibodies are essential tools for studying this pathway’s activity and regulation. These antibodies are typically designed to detect either total ERK1/2 (regardless of activation status) or phosphorylated (activated) forms. Total ERK1/2 antibodies are used to assess protein expression levels, while phospho-specific antibodies help evaluate pathway activation in response to stimuli like growth factors, stress, or pharmacological inhibitors. Common applications include Western blotting, immunohistochemistry, immunofluorescence, and flow cytometry.
Researchers frequently use ERK1/2 antibodies in cancer, neuroscience, and developmental biology studies, as dysregulated ERK signaling is implicated in malignancies, neurodegenerative diseases, and developmental disorders. Commercial ERK1/2 antibodies are often validated using knockout cell lines or siRNA-mediated knockdown to ensure specificity. Popular clones include those recognizing conserved epitopes, such as Clone 137F5 (Cell Signaling Technology) or Clone D13.14.4E (recognizing both ERK1 and ERK2). Proper controls, including stimulation with phorbol esters or EGF, are recommended to confirm antibody performance in detecting activation dynamics.
×