| WB | 咨询技术 | Human,Mouse,Rat |
| IF | 咨询技术 | Human,Mouse,Rat |
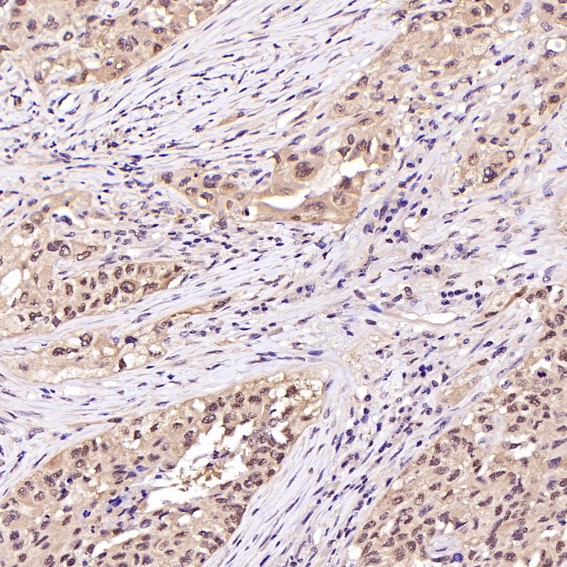
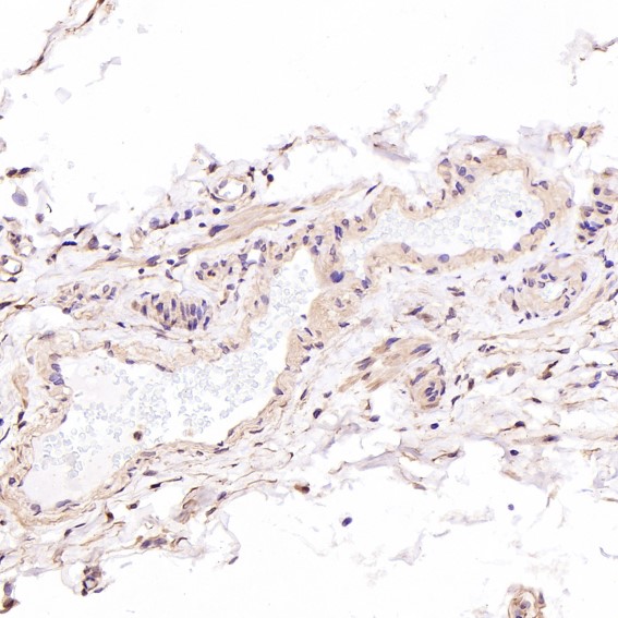
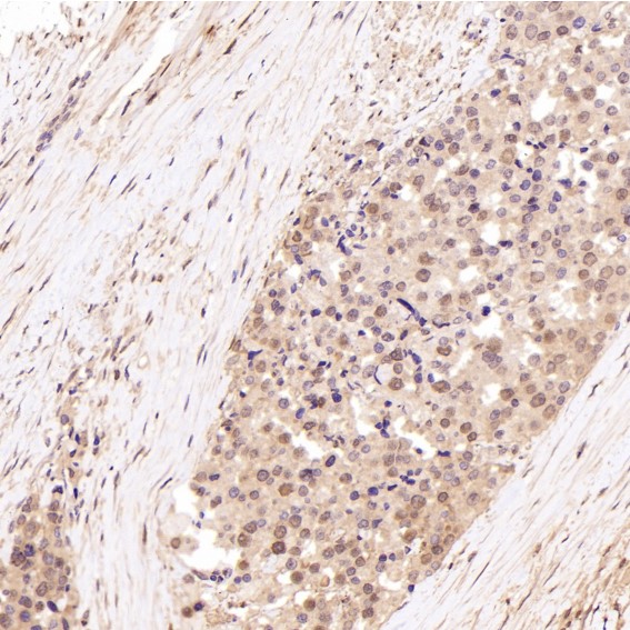
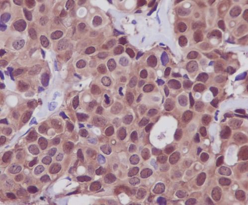
| IHC | IHC:1/100-1/200;IHF:1/50-1/200 | Human,Mouse,Rat |
| ICC | 1/50-1/200 | Human,Mouse,Rat |
| FCM | 1/20-1/100 | Human,Mouse,Rat |
| Elisa | 咨询技术 | Human,Mouse,Rat |
| Aliases | HSPA1; HSP70-1; HSP70-2; HSPA1A; HS71A; HS71B; HSPA1A ; HSPA1B;;Hsp70 |
| WB Predicted band size | 70 kDa |
| Host/Isotype | Rabbit IgG |
| Antibody Type | Primary antibody |
| Storage | Store at 4°C short term. Aliquot and store at -20°C long term. Avoid freeze/thaw cycles. |
| Species Reactivity | Human,Mouse,Rat |
| Immunogen | A synthesized peptide derived from human Hsp70 |
| Formulation | Purified antibody in PBS with 0.05% sodium azide,0.05% BSA and 50% glycerol. |
+ +
以下是3-4条关于Hsp70抗体的参考文献,格式为文献名称、作者及简要摘要内容:
---
1. **"Heat shock proteins: Stress proteins with roles in health and disease"**
*作者:Morimoto RI, et al. (1998)*
摘要:综述了Hsp70家族在细胞应激反应中的作用,探讨其作为分子伴侣的功能,并提及Hsp70抗体在检测蛋白质错误折叠和疾病(如神经退行性疾病)中的应用。
2. **"HSP70 as a biomarker of cellular stress in cancer diagnosis and therapy"**
*作者:Ciocca DR, Calderwood SK (2003)*
摘要:分析了Hsp70在肿瘤细胞中的高表达现象,提出其作为癌症预后标志物的潜力,并总结了Hsp70抗体在肿瘤靶向治疗和免疫检测中的研究进展。
3. **"Antibodies against Hsp70 in the serum of Alzheimer's disease patients"**
*作者:Dou F, et al. (2003)*
摘要:通过检测阿尔茨海默病患者血清中的Hsp70抗体水平,发现其与疾病进程相关,提示Hsp70可能参与神经炎症或自身免疫反应机制。
4. **"The role of Hsp70 antibodies in autoimmune diseases"**
*作者:De Souza AP, Smith DR (2015)*
摘要:讨论了Hsp70抗体在系统性红斑狼疮、类风湿性关节炎等自身免疫疾病中的异常表达,推测其可能与分子模拟或交叉免疫反应有关。
---
以上文献涵盖了Hsp70抗体在基础研究、癌症、神经疾病及自身免疫疾病中的关键应用方向。
Hsp70 antibodies are essential tools for studying the Heat Shock Protein 70 (Hsp70) family, a group of evolutionarily conserved molecular chaperones critical for cellular proteostasis. Hsp70 proteins (e.g., HSPA1A, HSPA8) assist in protein folding, prevent aggregation under stress (e.g., heat, toxins), and facilitate substrate transport across membranes. They play roles in apoptosis, immune responses, and autophagy, making them relevant in cancer, neurodegenerative diseases, and infection.
Hsp70 antibodies detect specific isoforms or post-translational modifications, enabling researchers to explore expression levels, localization (cytosol, nucleus, mitochondria), and interactions via techniques like Western blot, immunofluorescence, or co-immunoprecipitation. Commercial antibodies are often raised against conserved regions (e.g., ATPase domain), but cross-reactivity between isoforms or species (human, mouse, rat) requires validation.
In disease research, these antibodies help link Hsp70 dysregulation to pathologies. For example, cancer studies show Hsp70 overexpression correlates with tumor survival and chemotherapy resistance, while neurodegenerative models highlight its role in mitigating protein aggregates like amyloid-β. However, inconsistent results due to antibody specificity issues (e.g., distinguishing stress-inducible Hsp70 from constitutive forms) underscore the need for rigorous validation. Overall, Hsp70 antibodies bridge molecular insights into cellular stress adaptation and therapeutic targeting.
×