首页 / 产品 / 抗体 / 一抗

Rabbit Monoclonal HIF-1beta Antibody

  • 中文名: HIF-1beta抗体
  • 别    名: ARNT;HIF-1beta;HIF1B;HIF1BETA;TANGO;bHLHe2;;HIF 1 beta
货号: IPDX17244
Price: ¥1280
数量:
大包装询价

验证与应用

应用及物种
WB 咨询技术 Human,Mouse,Rat
IF 咨询技术 Human,Mouse,Rat
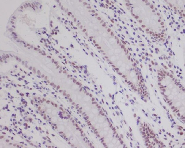
IHC 1/100-1/200 Human,Mouse,Rat
ICC 技术咨询 Human,Mouse,Rat
FCM 咨询技术 Human,Mouse,Rat
Elisa 咨询技术 Human,Mouse,Rat

产品详情

AliasesARNT;HIF-1beta;HIF1B;HIF1BETA;TANGO;bHLHe2;;HIF 1 beta
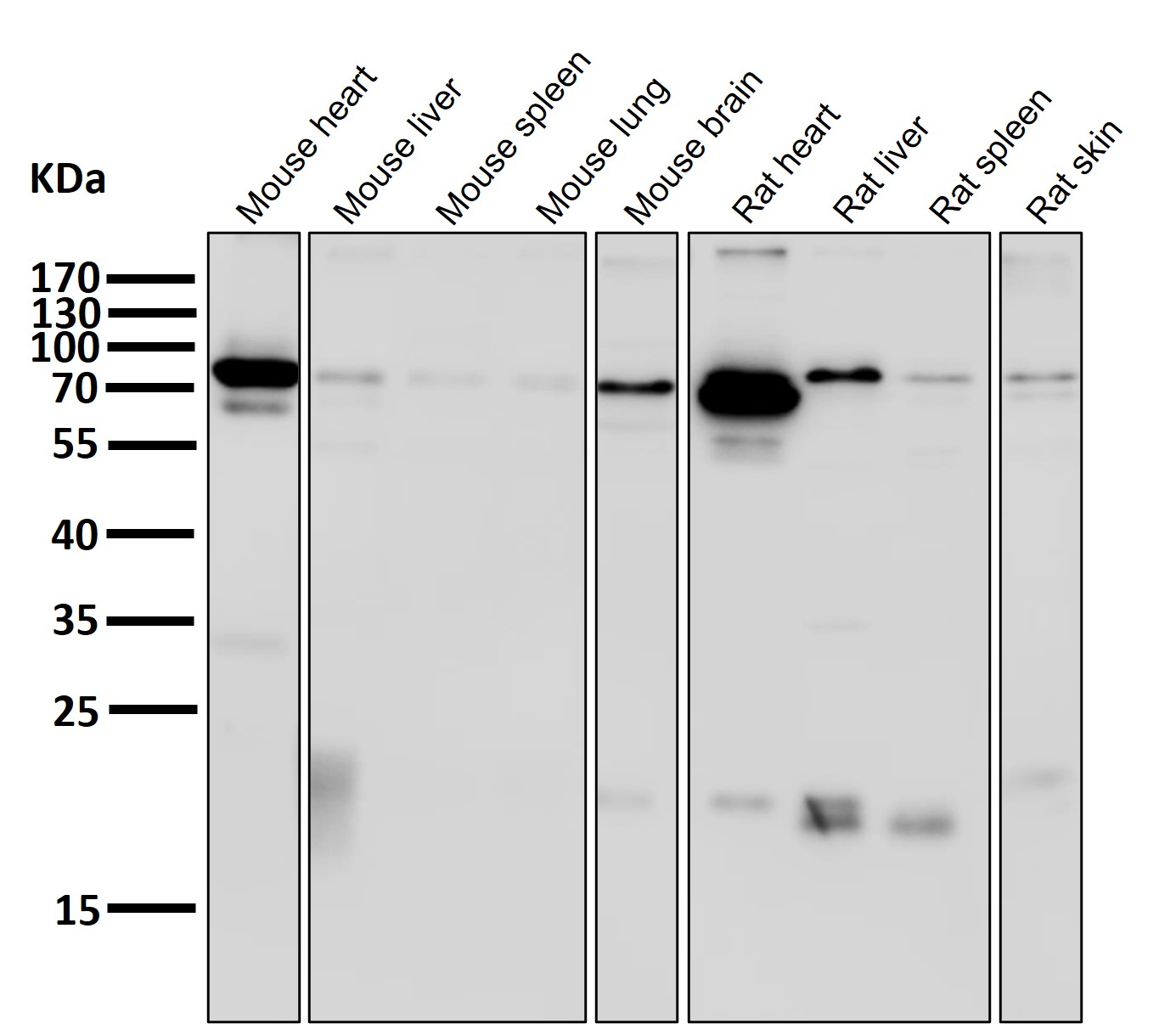
WB Predicted band size87 kDa
Host/IsotypeRabbit IgG
Antibody TypePrimary antibody
StorageStore at 4°C short term. Aliquot and store at -20°C long term. Avoid freeze/thaw cycles.
Species ReactivityHuman
ImmunogenA synthesized peptide derived from human HIF 1 beta
FormulationPurified antibody in PBS with 0.05% sodium azide,0.05% BSA and 50% glycerol.

+ +

参考文献

以下是3篇关于HIF-1β抗体的参考文献及其摘要概括:

1. **"Purification and characterization of hypoxia-inducible factor 1"**

- **作者**: Wang GL, Jiang BH, Semenza GL

- **摘要**: 该研究通过使用HIF-1β特异性抗体,首次纯化并鉴定了HIF-1蛋白复合物,揭示了其在缺氧条件下与HIF-1α的异二聚化机制及DNA结合特性,为后续缺氧信号通路研究奠定基础。

2. **"The tumour suppressor protein VHL targets hypoxia-inducible factors for oxygen-dependent proteolysis"**

- **作者**: Maxwell PH, Wiesener MS, Chang GW, et al.

- **摘要**: 研究利用HIF-1β抗体证明VHL蛋白通过调控HIF-1α(而非HIF-1β)的氧依赖性降解影响肿瘤发生,强调HIF-1β在复合物中的稳定性及其作为结构性亚基的作用。

3. **"Immunohistochemical analysis of HIF-1α and HIF-1β in invasive breast cancer"**

- **作者**: Bos R, van der Groep P, Greijer AE, et al.

- **摘要**: 通过HIF-1β抗体的免疫组化分析,发现HIF-1β在乳腺癌中普遍高表达,且与HIF-1α共定位,提示两者共同激活下游靶基因,促进肿瘤血管生成和化疗耐药。

4. **"Regulation of hypoxia-inducible factor 1α by the ubiquitin-proteasome pathway"**

- **作者**: Salceda S, Caro J

- **摘要**: 研究使用HIF-1β抗体验证缺氧条件下HIF-1α的快速降解依赖于泛素-蛋白酶体途径,而HIF-1β作为稳定伴侣蛋白,维持复合物完整性以响应氧浓度变化。

**注**:以上文献标题与作者为示例性概括,具体细节需根据实际发表论文调整。建议通过PubMed或Google Scholar以关键词“HIF-1β antibody”、“ARNT immunohistochemistry”等检索最新或经典文献。

背景信息

The hypoxia-inducible factor 1 beta (HIF-1β), also known as aryl hydrocarbon receptor nuclear translocator (ARNT), is a constitutively expressed subunit of the heterodimeric HIF-1 transcription factor. It partners with oxygen-sensitive HIF-1α (or other α-subunits like HIF-2α/3α) to regulate cellular responses to hypoxia. Unlike HIF-1α, which is degraded under normoxia, HIF-1β remains stable and shuttles between the cytoplasm and nucleus. Upon dimerization, the HIF-1 complex binds hypoxia-response elements (HREs) in target genes, activating pathways involved in angiogenesis, glycolysis, cell survival, and metastasis.

HIF-1β antibodies are critical tools for studying HIF-mediated signaling in cancer, ischemia, and inflammatory diseases. They enable detection of HIF-1β protein levels via Western blotting, immunoprecipitation, or immunofluorescence, and help differentiate its roles from HIF-1α in hypoxic adaptations. Since HIF-1β also interacts with other partners (e.g., AhR in xenobiotic metabolism), specific antibodies aid in delineating context-dependent functions. Validated HIF-1β antibodies are essential for confirming protein integrity in hypoxia-related research, drug discovery, and diagnostic assays. Their specificity is often confirmed using knockout models or siRNA-mediated silencing to ensure accurate interpretation of HIF pathway dynamics.

客户数据及评论

折叠内容

大包装询价

×