首页 / 产品 / 抗体 / 一抗

Rabbit Monoclonal Phospho-FOXO3a(S253) Antibody

  • 中文名: Phospho-FOXO3a(S253)抗体
  • 别    名: AF6q21 protein; FKHR2; FKHRL1; Forkhead box O3; forkhead box O3A; Forkhead box protein O3A; Forkhead in rhabdomyosarcoma-like 1; FOXO3A;;p-FOXO3A (S253)
货号: IPDX17253
Price: ¥1280
数量:
大包装询价

验证与应用

应用及物种
WB 咨询技术 Human,Mouse,Rat
IF 咨询技术 Human,Mouse,Rat
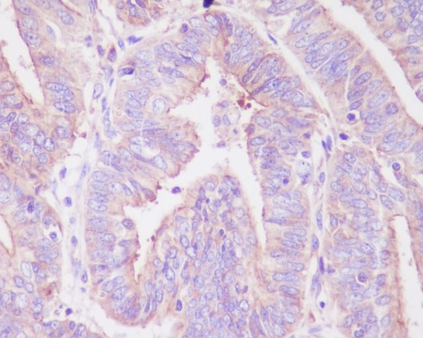
IHC 1/100-1/200 Human,Mouse,Rat
ICC 技术咨询 Human,Mouse,Rat
FCM 咨询技术 Human,Mouse,Rat
Elisa 咨询技术 Human,Mouse,Rat

产品详情

AliasesAF6q21 protein; FKHR2; FKHRL1; Forkhead box O3; forkhead box O3A; Forkhead box protein O3A; Forkhead in rhabdomyosarcoma-like 1; FOXO3A;;p-FOXO3A (S253)
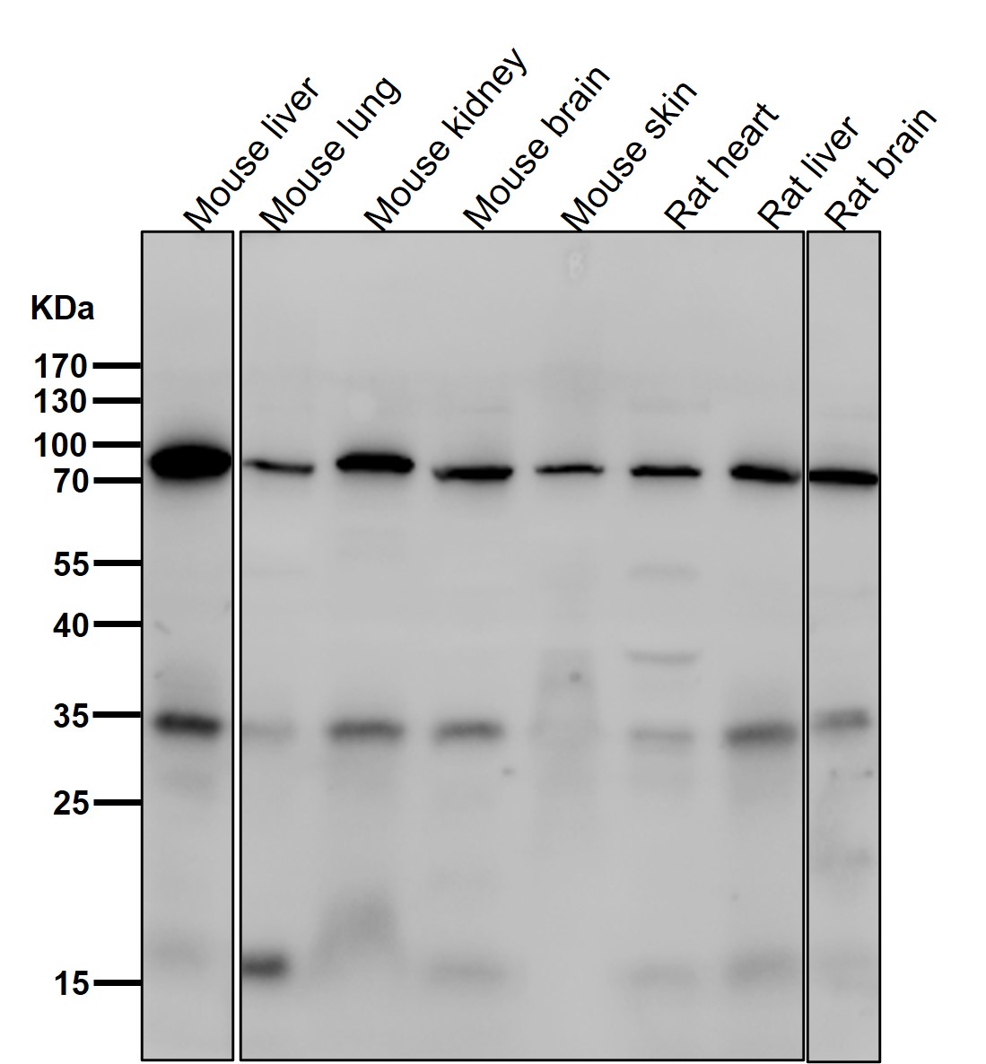
WB Predicted band sizeCalculated MW: 71 kDa ; Observed MW: 97 kDa
Host/IsotypeRabbit IgG
Antibody TypePrimary antibody
StorageStore at 4°C short term. Aliquot and store at -20°C long term. Avoid freeze/thaw cycles.
Species ReactivityHuman,Mouse,Rat
ImmunogenA synthesized peptide derived from human FOXO3A around the phosphorylation site of S253
FormulationPurified antibody in PBS with 0.05% sodium azide,0.05% BSA and 50% glycerol.

+ +

参考文献

以下是关于 **Phospho-FOXO3a(S253)** 抗体的参考文献,简要总结研究内容及抗体应用:

---

1. **文献名称**:*AKT promotes cell survival by phosphorylating and inhibiting a Forkhead transcription factor*

**作者**:Brunet, A. et al. (1999)

**摘要**:经典研究,揭示了AKT通过磷酸化FOXO3a(包括S253位点)调控其核质穿梭和促凋亡功能。实验中使用Phospho-FOXO3a(S253)抗体进行Western blot验证。

2. **文献名称**:*FOXO3a phosphorylation by Akt inhibits ovarian cancer cell death*

**作者**:Yang, J.Y. et al. (2008)

**摘要**:探讨卵巢癌中AKT介导的FOXO3a(S253)磷酸化对细胞凋亡的抑制作用,通过该抗体检测磷酸化水平与化疗耐药性关联。

3. **文献名称**:*Resveratrol induces apoptosis via SIRT1-dependent deacetylation of FOXO3a in breast cancer*

**作者**:Huang, X. et al. (2010)

**摘要**:研究白藜芦醇通过SIRT1/FOXO3a通路抑制乳腺癌生长,使用Phospho-FOXO3a(S253)抗体验证AKT磷酸化状态对FOXO3a活性的影响。

4. **文献名称**:*ROS-dependent activation of the TRAF6-ASK1-p38 pathway regulates oxidative stress-induced FOXO3a activation*

**作者**:Matsumoto, M. et al. (2006)

**摘要**:分析氧化应激下FOXO3a的激活机制,抗体用于检测S253位点磷酸化水平变化及其对细胞衰老的调控作用。

---

以上文献均通过Phospho-FOXO3a(S253)抗体在Western blot、免疫荧光或功能性实验中验证该位点的磷酸化状态与疾病机制的联系。如需具体抗体货号,可进一步查阅文献方法部分(如Cell Signaling Technology #9466)。

背景信息

The Phospho-FOXO3a(S253) antibody is a crucial tool for studying the regulation and function of FOXO3a, a member of the Forkhead box O (FOXO) transcription factor family. FOXO3a plays a central role in cellular processes such as apoptosis, oxidative stress response, cell cycle arrest, and longevity. Its activity is tightly regulated by post-translational modifications, particularly phosphorylation. The S253 residue (serine 253) is a key phosphorylation site targeted by the Akt/PKB kinase downstream of the PI3K-Akt signaling pathway. Phosphorylation at S253 promotes the nuclear export of FOXO3a via binding to 14-3-3 proteins, sequestering it in the cytoplasm and thereby inhibiting its transcriptional activity. This modification is critical in modulating cellular responses to growth factors, insulin, and stress signals.

The Phospho-FOXO3a(S253) antibody specifically detects FOXO3a when phosphorylated at S253. enabling researchers to study Akt-mediated regulation of FOXO3a in various contexts, including cancer, aging, and metabolic disorders. It is widely used in techniques like Western blotting, immunohistochemistry, and immunofluorescence to assess FOXO3a activation status. Dysregulation of FOXO3a phosphorylation is implicated in tumorigenesis, neurodegenerative diseases, and impaired stress resistance, making this antibody valuable for both mechanistic studies and translational research. Validation typically includes testing in cell lines treated with growth factors or Akt inhibitors to confirm phosphorylation-dependent signal changes.

客户数据及评论

折叠内容

大包装询价

×