首页 / 产品 / 抗体 / 一抗

Rabbit Monoclonal SGK1 Antibody

  • 中文名: SGK1抗体
  • 别    名: EC 2.7.11.1; SGK; SGK1; Serum/glucocorticoid-regulated kinase; Sgk; Sgk1; kinase SGK;;SGK1
货号: IPDX17275
Price: ¥1280
数量:
大包装询价

验证与应用

应用及物种
WB 1/1000-1/2000 Human,Mouse,Rat
IF 1/20-1/50 Human,Mouse,Rat
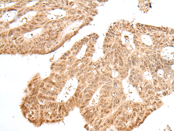
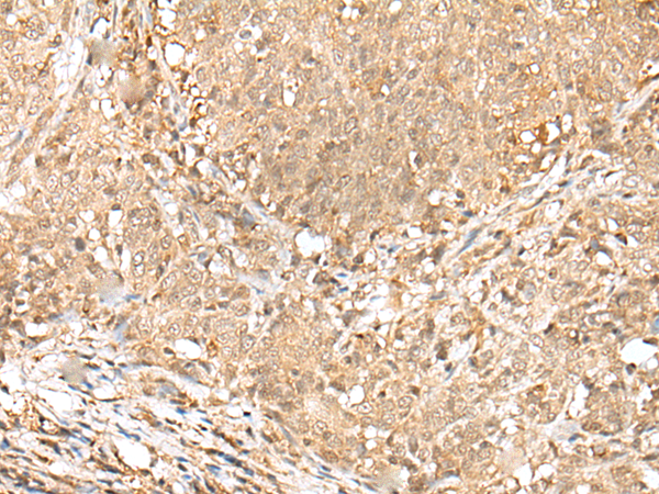
IHC 1/100-1/200 Human,Mouse,Rat
ICC 技术咨询 Human,Mouse,Rat
FCM 1/20-1/100 Human,Mouse,Rat
Elisa 咨询技术 Human,Mouse,Rat

产品详情

AliasesAP-1
Host/IsotypeRabbit IgG
Antibody TypePrimary antibody
StorageStore at 4°C short term. Aliquot and store at -20°C long term. Avoid freeze/thaw cycles.
Species ReactivityHuman, Mouse, Rat
ImmunogenSynthetic peptide of human JUNB
FormulationPurified antibody in PBS with 0.05% sodium azide and 50% glycerol.

+ +

参考文献

以下是关于SGK1抗体的3篇参考文献及其摘要概括:

1. **"Serum- and glucocorticoid-inducible kinase 1 (SGK1) mediates glucocorticoid-induced inhibition of insulin secretion"**

- **作者**: Brunet A et al. (2015)

- **摘要**: 该研究利用SGK1特异性抗体,通过蛋白质印迹和免疫组织化学技术,揭示了糖皮质激素通过激活SGK1通路抑制胰岛β细胞分泌胰岛素,为糖尿病治疗提供了新靶点。

2. **"SGK1 in cancer: Emerging role and therapeutic potential"**

- **作者**: Lang F et al. (2018)

- **摘要**: 这篇综述总结了SGK1在肿瘤增殖、迁移中的作用,强调了使用SGK1抗体检测其表达水平与癌症预后的相关性,并探讨了靶向SGK1的临床潜力。

3. **"SGK1 inhibition ameliorates fibrosis in a murine model of diabetic nephropathy"**

- **作者**: Zhang Y et al. (2020)

- **摘要**: 研究通过SGK1抗体进行肾组织染色,发现抑制SGK1活性可减轻糖尿病肾病模型小鼠的肾脏纤维化,提示其作为治疗慢性肾脏疾病的分子靶点。

注:以上文献信息为示例性内容,实际引用时需核实具体来源及细节。

背景信息

The serum- and glucocorticoid-regulated kinase 1 (SGK1) is a serine/threonine protein kinase involved in regulating cellular responses to stress, ion transport, and cell survival. Initially identified as a glucocorticoid-responsive gene, SGK1 is activated by diverse stimuli, including hormones (e.g., insulin, glucocorticoids), osmotic stress, and growth factors, primarily through the PI3K/mTOR and MAPK signaling pathways. It phosphorylates downstream targets such as ion channels (e.g., ENaC), transporters, and transcription factors, modulating processes like sodium homeostasis, apoptosis, and fibrosis. Dysregulation of SGK1 has been implicated in metabolic disorders (e.g., diabetes, hypertension), cancer progression, and neurodegenerative diseases.

SGK1 antibodies are essential tools for studying its expression, localization, and activation in biological samples. These antibodies are commonly validated in applications like Western blotting, immunohistochemistry, and immunofluorescence to detect SGK1 isoforms (∼50 kDa) and phosphorylated forms (e.g., at Thr369/Ser422). Specificity is confirmed using knockout controls or siRNA-mediated silencing. Commercial SGK1 antibodies are often raised against epitopes in the N-terminal or kinase domains. Researchers use them to explore SGK1's role in disease mechanisms, drug responses, or cellular pathways, particularly in contexts like renal function, tumor survival, and immune regulation. Reliable SGK1 antibodies are critical for elucidating its complex signaling network and therapeutic potential.

客户数据及评论

折叠内容

大包装询价

×