首页 / 产品 / 抗体 / 一抗

Rabbit Monoclonal STAT4 Antibody

  • 中文名: STAT4抗体
  • 别    名: Signal transducer and activator of transcription 4; Stat-4; Stat 4;;STAT4
货号: IPDX17388
Price: ¥1280
数量:
大包装询价

验证与应用

应用及物种
WB 1/1000-1/2000 Human,Mouse,Rat
IF 1/20-1/50 Human,Mouse,Rat
IHC IHC:1/100-1/200;IHF:1/50-1/200 Human,Mouse,Rat
ICC 1/50-1/200 Human,Mouse,Rat
FCM 1/20-1/100 Human,Mouse,Rat
Elisa 咨询技术 Human,Mouse,Rat

产品详情

AliasesSignal transducer and activator of transcription 4; Stat-4; Stat 4;;STAT4
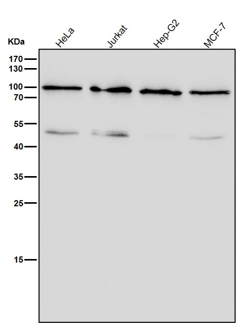
WB Predicted band size86 kDa
Host/IsotypeRabbit IgG
Antibody TypePrimary antibody
StorageStore at 4°C short term. Aliquot and store at -20°C long term. Avoid freeze/thaw cycles.
Species ReactivityHuman
ImmunogenA synthesized peptide derived from human STAT4
FormulationPurified antibody in PBS with 0.05% sodium azide,0.05% BSA and 50% glycerol.

+ +

参考文献

以下是关于STAT4抗体的3-4篇参考文献的简要概括:

1. **文献名称**:*STAT4 gene variants and systemic lupus erythematosus*

**作者**:Remy, S. et al.

**摘要**:该研究探讨了STAT4基因多态性与系统性红斑狼疮(SLE)的关联,发现特定STAT4单核苷酸多态性(SNP)显著增加SLE患病风险,提示STAT4在自身免疫反应中的关键作用。

2. **文献名称**:*Phosphorylation and activation of STAT4 by IL-12 in human T cells*

**作者**:Yamamoto, K. et al.

**摘要**:文章揭示了IL-12通过激活STAT4信号通路促进Th1细胞分化,利用STAT4抗体证实了STAT4磷酸化在T细胞免疫应答中的调控机制。

3. **文献名称**:*Autoantibodies against STAT4 in rheumatoid arthritis*

**作者**:Taitano, S.H. et al.

**摘要**:研究开发了一种基于STAT4抗体的ELISA检测方法,发现类风湿关节炎(RA)患者血清中抗STAT4自身抗体水平升高,可能与疾病活动性相关。

4. **文献名称**:*STAT4 is critical for Th1 lineage commitment*

**作者**:Thierfelder, W.E. et al.

**摘要**:通过STAT4基因敲除模型及抗体阻断实验,证明STAT4是Th1细胞分化的必需转录因子,缺乏STAT4会导致IFN-γ产生缺陷和Th1免疫应答受损。

这些文献涵盖了STAT4在基因关联研究、信号通路机制、自身抗体检测及免疫功能方面的应用。

背景信息

STAT4 (Signal Transducer and Activator of Transcription 4) is a transcription factor belonging to the STAT protein family, which plays a critical role in mediating cellular responses to cytokines and growth factors. Activated via phosphorylation by receptor-associated kinases (e.g., JAK kinases), STAT4 forms dimers that translocate to the nucleus to regulate gene expression. It is particularly important in immune signaling, notably in pathways triggered by interleukin-12 (IL-12), IL-23. and type I interferons. STAT4 is essential for the differentiation and function of T-helper 1 (Th1) and Th17 cells, as well as natural killer (NK) cell activity, influencing both pro-inflammatory and anti-viral immune responses.

STAT4 antibodies are laboratory tools designed to detect and quantify STAT4 protein levels or phosphorylation status in research settings. These antibodies are widely used in techniques like Western blotting, immunofluorescence, and immunohistochemistry to study STAT4's role in autoimmune diseases (e.g., systemic lupus erythematosus, rheumatoid arthritis), cancer, and infectious diseases. Genetic polymorphisms in STAT4 have been linked to increased disease susceptibility, driving interest in its regulatory mechanisms. Research utilizing STAT4 antibodies contributes to understanding immune dysregulation and developing targeted therapies, such as JAK-STAT pathway inhibitors. However, antibody specificity and validation remain critical to avoid experimental artifacts, emphasizing the need for rigorous controls in studies.

客户数据及评论

折叠内容

大包装询价

×