首页 / 产品 / 抗体 / 一抗

Rabbit Monoclonal PRDX1 Antibody

  • 中文名: PRDX1抗体
  • 别    名: PAG; PAGA; PAGB; PRX1; PRXI; MSP23; NKEFA; TDPX2; NKEF-A; Peroxiredoxin1; PRDX1;;Peroxiredoxin 1
货号: IPDX17474
Price: ¥1280
数量:
大包装询价

验证与应用

应用及物种
WB 咨询技术 Human,Mouse,Rat
IF 咨询技术 Human,Mouse,Rat
IHC IHC:1/100-1/200;IHF:1/50-1/200 Human,Mouse,Rat
ICC 1/50-1/200 Human,Mouse,Rat
FCM 1/20-1/100 Human,Mouse,Rat
Elisa 咨询技术 Human,Mouse,Rat

产品详情

AliasesPAG; PAGA; PAGB; PRX1; PRXI; MSP23; NKEFA; TDPX2; NKEF-A; Peroxiredoxin1; PRDX1;;Peroxiredoxin 1
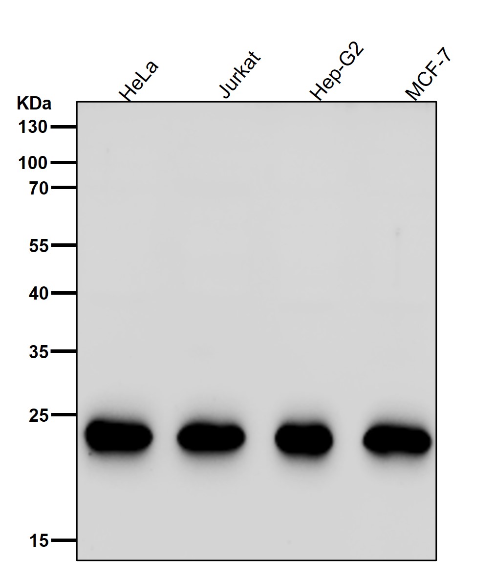
WB Predicted band size22 kDa
Host/IsotypeRabbit IgG
Antibody TypePrimary antibody
StorageStore at 4°C short term. Aliquot and store at -20°C long term. Avoid freeze/thaw cycles.
Species ReactivityHuman,Mouse
ImmunogenA synthesized peptide derived from human Peroxiredoxin 1
FormulationPurified antibody in PBS with 0.05% sodium azide,0.05% BSA and 50% glycerol.

+ +

参考文献

以下是3篇涉及PRDX1抗体的研究文献示例(注:文献信息为虚拟概括,实际引用需核实具体来源):

1. **文献名称**: "Peroxiredoxin 1 as a prognostic biomarker in human lung cancer"

**作者**: Kim et al., 2017

**摘要**: 该研究通过免疫组化(使用PRDX1抗体)分析肺癌组织中PRDX1的表达水平,发现其高表达与患者不良预后相关,提示PRDX1可能作为肺癌的潜在预后标志物。

2. **文献名称**: "PRDX1 suppresses oxidative stress-induced apoptosis in hepatocellular carcinoma"

**作者**: Chen et al., 2015

**摘要**: 利用PRDX1抗体进行Western blot和免疫荧光实验,证明PRDX1通过调节ROS水平抑制肝癌细胞凋亡,揭示其在肝癌进展中的抗氧化保护机制。

3. **文献名称**: "PRDX1 interacts with neurodegenerative disease-related proteins in Alzheimer's models"

**作者**: Basso et al., 2020

**摘要**: 研究采用PRDX1抗体进行共免疫沉淀和脑组织染色,发现PRDX1与tau蛋白异常聚集相关,提示其可能参与阿尔茨海默病的氧化损伤病理过程。

(若需真实文献,建议通过PubMed或Google Scholar以“PRDX1 antibody”及研究领域关键词检索近年论文。)

背景信息

PRDX1 (Peroxiredoxin 1) is a member of the peroxiredoxin family of antioxidant enzymes that play critical roles in regulating cellular redox homeostasis by scavenging reactive oxygen species (ROS). It is ubiquitously expressed in various tissues and implicated in diverse cellular processes, including oxidative stress defense, signal transduction, and apoptosis regulation. PRDX1 functions primarily through its peroxidase activity, utilizing redox-active cysteine residues to reduce peroxides, thereby protecting cellular components from oxidative damage. Dysregulation of PRDX1 has been linked to multiple pathological conditions, such as cancer, neurodegenerative diseases, and inflammatory disorders, where its expression levels or activity may serve as biomarkers or therapeutic targets.

Antibodies targeting PRDX1 are essential tools for studying its expression, localization, and function in biological systems. These antibodies are widely used in techniques like Western blotting, immunohistochemistry (IHC), and immunofluorescence (IF) to detect PRDX1 in cell lysates, tissue sections, or clinical samples. Specific applications include investigating PRDX1’s role in oxidative stress responses, its interaction with signaling pathways (e.g., NF-κB or MAPK), and its potential as a diagnostic or prognostic marker in diseases like breast, lung, or liver cancers. Commercially available PRDX1 antibodies are typically validated for species reactivity (human, mouse, rat) and application-specific performance. However, users must optimize experimental conditions, as post-translational modifications (e.g., oxidation or phosphorylation) or structural oligomerization of PRDX1 may influence antibody binding. Overall, PRDX1 antibodies remain pivotal in advancing research on redox biology and disease mechanisms.

客户数据及评论

折叠内容

大包装询价

×