首页 / 产品 / 抗体 / 一抗

Rabbit Monoclonal 67kDaLamininReceptor Antibody

  • 中文名: 67kDaLamininReceptor抗体
  • 别    名: RPSA; 37LRP; 67LR; LAMR1; LAMBR; LamR; LRP/LR; RSSA;;RPSA
货号: IPDX17480
Price: ¥1280
数量:
大包装询价

验证与应用

应用及物种
WB 咨询技术 Human,Mouse,Rat
IF 1/20-1/50 Human,Mouse,Rat
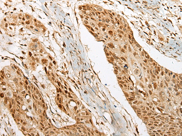
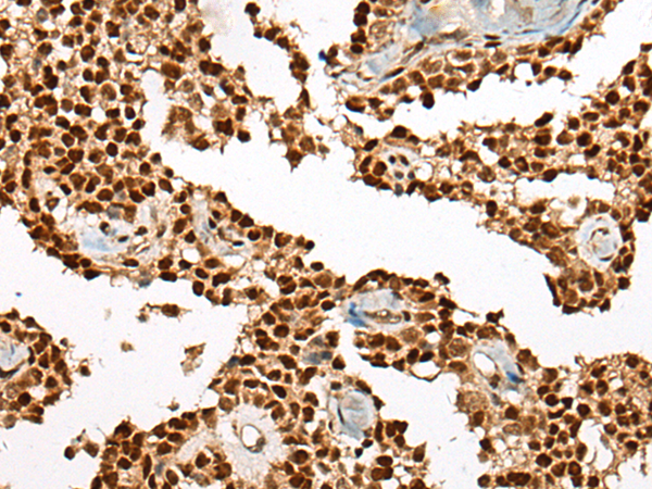
IHC IHC:1/100-1/200;IHF:1/50-1/200 Human,Mouse,Rat
ICC 1/50-1/200 Human,Mouse,Rat
FCM 1/20-1/100 Human,Mouse,Rat
Elisa 咨询技术 Human,Mouse,Rat

产品详情

AliasesUBF; UBF1; UBF2; UBF-1; NOR-90
Host/IsotypeRabbit IgG
Antibody TypePrimary antibody
StorageStore at 4°C short term. Aliquot and store at -20°C long term. Avoid freeze/thaw cycles.
Species ReactivityHuman, Mouse, Rat
ImmunogenSynthetic peptide of human UBTF
FormulationPurified antibody in PBS with 0.05% sodium azide and 50% glycerol.

+ +

参考文献

以下是关于67kDa Laminin Receptor抗体的3篇参考文献及摘要概括:

---

1. **文献名称**: *"Cell surface laminin receptor is a major 67 kDa protein recognized by monoclonal antibody MLuC5"*

**作者**: Rao CN, Castronovo V, Schmitt MC, et al.

**摘要**: 该研究首次通过单克隆抗体MLuC5鉴定并表征了67 kDa层粘连蛋白受体(67LR),证实其在细胞表面表达,并参与肿瘤细胞与基底膜的黏附过程,为后续癌症转移机制研究奠定基础。

---

2. **文献名称**: *"Immunohistochemical localization of the 67 kDa laminin receptor in human breast cancer: a potential marker for aggressive tumor behavior"*

**作者**: Menchini RJ, Castronovo V.

**摘要**: 通过免疫组化分析,研究发现67LR抗体在侵袭性乳腺癌组织中高表达,且与肿瘤转移和不良预后相关,提示其可作为癌症诊断及治疗靶点的潜在标志物。

---

3. **文献名称**: *"The 67 kDa laminin receptor acts as a receptor for Dengue virus serotype 2 infection"*

**作者**: Thepparit C, Smith DR.

**摘要**: 该文献利用67LR特异性抗体阻断实验,证明该受体是登革热病毒2型进入宿主细胞的关键媒介,揭示了其在病毒感染机制中的新功能。

---

4. **文献名称**: *"Targeting the 67 kDa laminin receptor in cancer therapy and diagnosis"*

**作者**: Khalesi B, Nelson J, Martin TA.

**摘要**: 综述性文章总结了67LR抗体在癌症靶向治疗和分子成像中的应用进展,强调其在抑制肿瘤转移和增强药物递送中的潜在价值。

---

这些文献涵盖了67LR抗体的基础研究、病理学应用及跨学科机制探索。

背景信息

The 67 kDa laminin receptor (67LR), also known as LamR, is a cell surface glycoprotein that plays a critical role in mediating interactions between cells and the extracellular matrix via binding to laminin, a key component of the basement membrane. Initially identified as a non-integrin laminin-binding protein, 67LR is derived from the 37 kDa laminin receptor precursor (37LRP) through post-translational modifications. It is involved in diverse biological processes, including cell adhesion, migration, proliferation, and survival, with implications in tissue development, homeostasis, and pathological conditions.

Antibodies targeting 67LR are widely used in research to study its expression and function. Overexpression of 67LR has been linked to cancer progression and metastasis, as it facilitates tumor cell invasion by enhancing laminin-mediated interactions with the basement membrane. Elevated 67LR levels correlate with poor prognosis in various cancers, including breast, lung, and colon cancers. Additionally, 67LR is implicated in neuroinflammatory and neurodegenerative diseases, such as Alzheimer’s disease, where it interacts with amyloid-β peptides, potentially contributing to pathogenic aggregation.

Research on 67LR antibodies focuses on their diagnostic and therapeutic potential. These antibodies enable detection of 67LR in clinical samples, aiding cancer staging and biomarker studies. Therapeutically, they are explored for blocking 67LR-laminin interactions to inhibit metastasis or disrupt disease-associated protein aggregation. Despite challenges in specificity and delivery, 67LR remains a promising target due to its multifaceted roles in health and disease.

客户数据及评论

折叠内容

大包装询价

×