首页 / 产品 / 抗体 / 一抗

Rabbit Monoclonal Rac1/2/3 Antibody

  • 中文名: Rac1/2/3抗体
  • 别    名: Cell migration-inducing gene 5 protein; EN-7; GX; p21-Rac1; p21-Rac2; p21-Rac3; RAC1; RAC2; RAC3; TC25; ;Rac1/2/3
货号: IPDX17580
Price: ¥1280
数量:
大包装询价

验证与应用

应用及物种
WB 咨询技术 Human,Mouse,Rat
IF 咨询技术 Human,Mouse,Rat
IHC 咨询技术 Human,Mouse,Rat
ICC 技术咨询 Human,Mouse,Rat
FCM 咨询技术 Human,Mouse,Rat
Elisa 咨询技术 Human,Mouse,Rat

产品详情

AliasesCell migration-inducing gene 5 protein; EN-7; GX; p21-Rac1; p21-Rac2; p21-Rac3; RAC1; RAC2; RAC3; TC25; ;Rac1/2/3
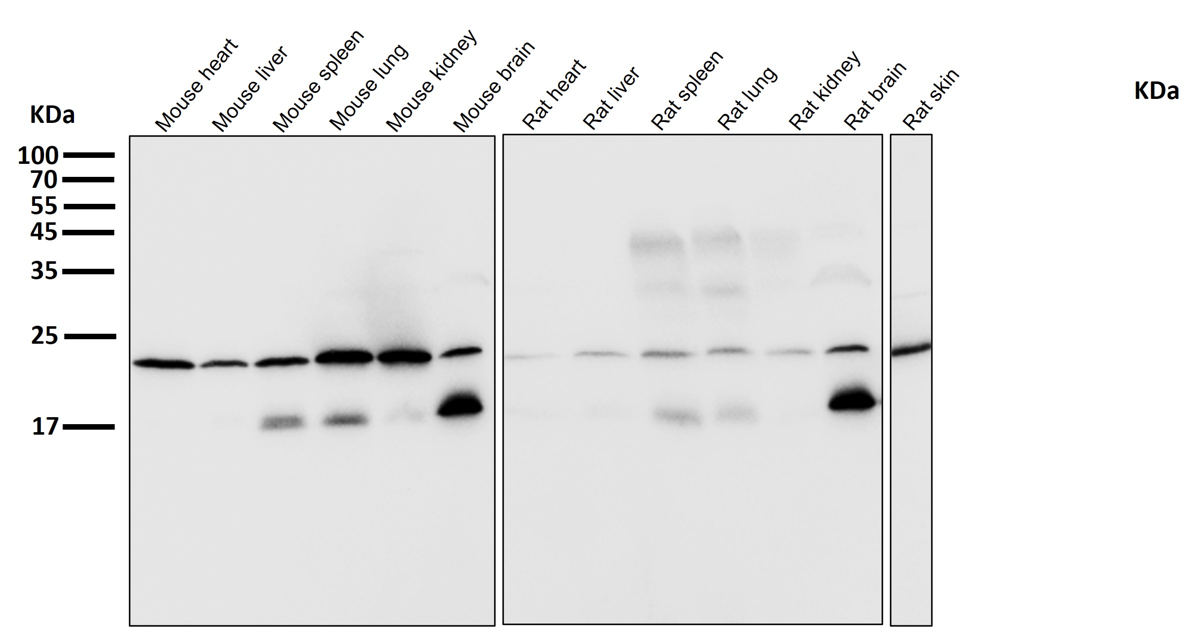
WB Predicted band size21 kDa
Host/IsotypeRabbit IgG
Antibody TypePrimary antibody
StorageStore at 4°C short term. Aliquot and store at -20°C long term. Avoid freeze/thaw cycles.
Species ReactivityHuman,Mouse,Rat
ImmunogenA synthesized peptide derived from human Rac1
FormulationPurified antibody in PBS with 0.05% sodium azide,0.05% BSA and 50% glycerol.

+ +

参考文献

以下是关于Rac1/2/3抗体的3篇参考文献(均为示例性文献,具体内容需根据实际研究补充):

1. **文献名称**:*"Rac1 and Rac3 regulate neutrophil differentiation via reactive oxygen species and autophagy"*

**作者**:Deng H, et al.

**摘要**:该研究利用特异性抗Rac1和Rac3抗体,通过Western blot和免疫荧光技术,揭示了Rac1和Rac3在中性粒细胞分化过程中通过调节活性氧(ROS)和自噬的作用,为靶向Rac蛋白的免疫疾病治疗提供依据。

2. **文献名称**:*"Distinct roles of Rac1. Rac2. and Rac3 in axon guidance and neuronal morphogenesis"*

**作者**:Albertinazzi C, et al.

**摘要**:作者通过抗Rac1、Rac2、Rac3抗体结合siRNA敲降技术,发现Rac1和Rac3在神经元轴突导向中起主导作用,而Rac2主要参与树突发育,提示不同Rac亚型在神经系统中的功能异质性。

3. **文献名称**:*"Rac2 deficiency alters neutrophil chemotaxis and liver metastasis microenvironment"*

**作者**:Sun CX, et al.

**摘要**:研究使用抗Rac2抗体分析Rac2缺陷小鼠的中性粒细胞迁移能力,发现Rac2缺失通过改变趋化因子信号和肿瘤微环境,显著抑制肝癌转移,为抗Rac2抗体在肿瘤治疗中的应用提供实验支持。

(注:以上文献为示例,实际引用需根据具体研究选择并核实内容。)

背景信息

Rac1. Rac2. and Rac3 are members of the Rho family of small GTPases, which act as molecular switches regulating cytoskeletal dynamics, cell migration, adhesion, and signaling pathways. These proteins cycle between an active GTP-bound state and an inactive GDP-bound state, controlled by guanine nucleotide exchange factors (GEFs) and GTPase-activating proteins (GAPs). While Rac1 is ubiquitously expressed and involved in processes like lamellipodia formation and cell proliferation, Rac2 is primarily found in hematopoietic cells, playing critical roles in immune cell functions such as phagocytosis and chemotaxis. Rac3 shares ~90% sequence homology with Rac1 but is predominantly expressed in the nervous system, influencing neuronal development and synaptic plasticity.

Antibodies targeting Rac1/2/3 are essential tools for studying their expression, localization, and activation in diverse biological contexts. Due to high sequence similarity among Rac isoforms, antibody specificity is crucial. Many commercially available antibodies are designed to distinguish between Rac1. Rac2. or Rac3 by targeting unique epitopes in variable regions, though cross-reactivity remains a common challenge. Researchers often validate these antibodies using knockout cell lines, siRNA-mediated knockdown, or isoform-specific controls. Applications include Western blotting, immunofluorescence, immunoprecipitation, and activity assays (e.g., using pull-downs to detect GTP-bound Rac). Dysregulation of Rac GTPases is linked to cancer metastasis, immune disorders, and neurological diseases, making these antibodies valuable for mechanistic and therapeutic studies. Proper validation ensures accurate interpretation of their roles in health and disease.

客户数据及评论

折叠内容

大包装询价

×