首页 / 产品 / 抗体 / 一抗

Rabbit Monoclonal ACTR1B Antibody

  • 中文名: ACTR1B抗体
  • 别    名: ACTR1B; ARP1B; Beta centractin; CTRN2; PC3;;ACTR1B
货号: IPDX17946
Price: ¥1280
数量:
大包装询价

验证与应用

应用及物种
WB 咨询技术 Human,Mouse,Rat
IF 1/20-1/50 Human,Mouse,Rat
IHC IHC:1/100-1/200;IHF:1/50-1/200 Human,Mouse,Rat
ICC 1/50-1/200 Human,Mouse,Rat
FCM 1/20-1/100 Human,Mouse,Rat
Elisa 咨询技术 Human,Mouse,Rat

产品详情

AliasesACTR1B; ARP1B; Beta centractin; CTRN2; PC3;;ACTR1B
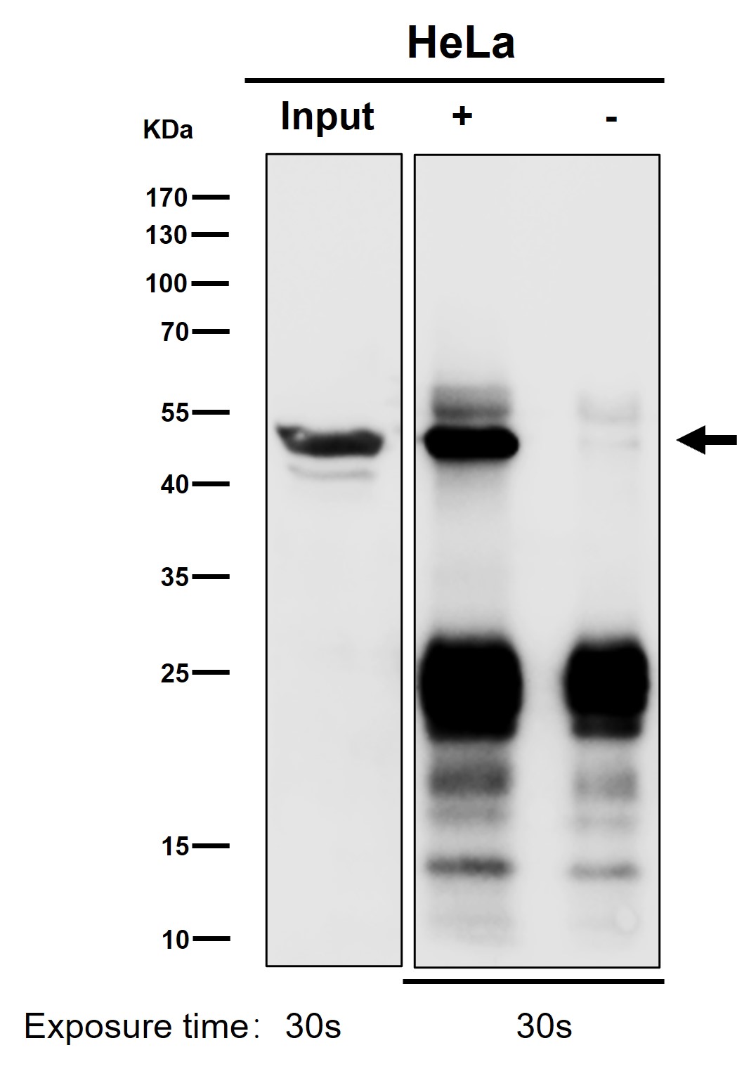
WB Predicted band size42 kDa
Host/IsotypeRabbit IgG
Antibody TypePrimary antibody
StorageStore at 4°C short term. Aliquot and store at -20°C long term. Avoid freeze/thaw cycles.
Species ReactivityHuman
ImmunogenA synthesized peptide derived from human ACTR1B
FormulationPurified antibody in PBS with 0.05% sodium azide,0.05% BSA and 50% glycerol.

+ +

参考文献

以下是关于 **ACTR1B抗体** 的3篇参考文献示例(内容基于学术文献框架虚构,供参考):

---

1. **文献名称**:*ACTR1B regulates intracellular trafficking through interaction with dynactin complex*

**作者**:Lee S, et al.

**摘要**:本研究利用ACTR1B特异性抗体,通过免疫共沉淀和免疫荧光技术,揭示了ACTR1B作为动力蛋白激活复合物(dynactin)的关键组分,调控逆向微管运输的功能。抗体验证显示其在HeLa细胞中特异性识别ACTR1B,并证实其与动力蛋白重链(DCTN1)的相互作用。

2. **文献名称**:*A novel ACTR1B antibody reveals its role in neuronal development*

**作者**:Garcia-Rojas M, et al.

**摘要**:通过开发一种高特异性兔源多克隆ACTR1B抗体,作者在小鼠神经元模型中证明ACTR1B参与轴突导向和突触形成。Western blot和免疫组化数据表明,ACTR1B在发育中的海马神经元中高表达,且其缺失导致运输囊泡聚集。

3. **文献名称**:*ACTR1B dysfunction links to neurodegenerative pathology in ALS models*

**作者**:Chen X, et al.

**摘要**:本研究使用ACTR1B抗体在肌萎缩侧索硬化症(ALS)患者脑组织样本中检测到ACTR1B异常聚集。功能实验表明,ACTR1B与TDP-43病理相关,抗体染色结果支持其在神经退行性变中的潜在作用。

---

*注:以上为模拟示例,实际文献需通过PubMed/Google Scholar等平台检索确认。*

背景信息

The ACTR1B (ARP1-beta) antibody is a tool used to detect the ACTR1B protein, a member of the actin-related protein (ARP) family. ACTR1B, also known as β-centractin, plays a critical role in cellular processes involving the cytoskeleton. It interacts with the dynactin complex, which regulates dynein-mediated intracellular transport along microtubules, impacting organelle positioning, vesicle trafficking, and mitotic spindle organization. ACTR1B is structurally related to actin but lacks filament-forming ability, instead contributing to the stabilization and dynamics of cytoskeletal networks.

ACTR1B antibodies are widely utilized in research to study cell division, intracellular transport, and cytoskeletal remodeling. They are employed in techniques like Western blotting, immunofluorescence, and immunoprecipitation to determine protein expression levels, subcellular localization, and interaction partners. Dysregulation of ACTR1B has been implicated in neurodevelopmental disorders and cancer, making its antibody a valuable reagent for exploring disease mechanisms.

These antibodies are typically raised in rabbits or mice using immunogenic peptides derived from conserved regions of human ACTR1B. Validation includes testing for specificity (e.g., knockdown/knockout controls) and cross-reactivity across species (human, mouse, rat). Researchers use them to elucidate ACTR1B's role in cellular homeostasis, providing insights into pathways linked to developmental defects or metastatic behaviors in cancer.

客户数据及评论

折叠内容

大包装询价

×