首页 / 产品 / 抗体 / 一抗

Rabbit Monoclonal EXOC2 Antibody

  • 中文名: EXOC2抗体
  • 别    名: EXOC2; SEC5; SEC5L1; Sec5p;;Exocyst complex component 2
货号: IPDX17974
Price: ¥1280
数量:
大包装询价

验证与应用

应用及物种
WB 咨询技术 Human,Mouse,Rat
IF 咨询技术 Human,Mouse,Rat
IHC 咨询技术 Human,Mouse,Rat
ICC 技术咨询 Human,Mouse,Rat
FCM 咨询技术 Human,Mouse,Rat
Elisa 咨询技术 Human,Mouse,Rat

产品详情

AliasesEXOC2; SEC5; SEC5L1; Sec5p;;Exocyst complex component 2
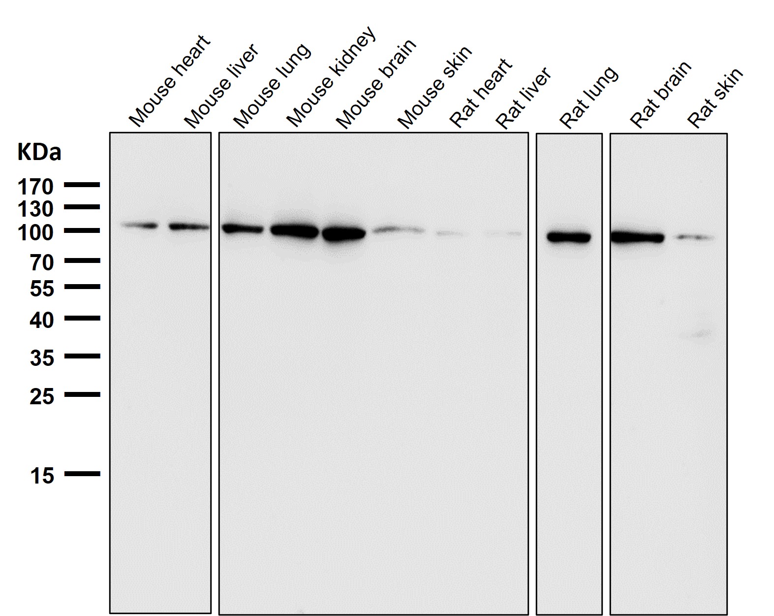
WB Predicted band size104 kDa
Host/IsotypeRabbit IgG
Antibody TypePrimary antibody
StorageStore at 4°C short term. Aliquot and store at -20°C long term. Avoid freeze/thaw cycles.
Species ReactivityHuman,Mouse,Rat
ImmunogenA synthesized peptide derived from human Exocyst complex component 2
FormulationPurified antibody in PBS with 0.05% sodium azide,0.05% BSA and 50% glycerol.

+ +

参考文献

以下是关于EXOC2抗体的3篇参考文献的简要列举:

1. **文献名称**:*"The exocyst component Exo84 is required for localized synthesis of septin and cell wall in fungal hyphal growth"*

**作者**:Li et al.

**摘要**:研究利用EXOC2(Exo84)抗体验证其在真菌菌丝生长中的定位,发现其通过调控细胞壁合成相关蛋白的运输影响极性生长。

2. **文献名称**:*"Exocyst function in vesicle trafficking and its role in neurological disorders"*

**作者**:Guo & Novick

**摘要**:通过EXOC2抗体进行免疫共沉淀实验,揭示外泌体复合物(包括EXOC2)在神经元囊泡运输中的作用,并与神经退行性疾病相关。

3. **文献名称**:*"EXOC2 interacts with HER2 to promote breast cancer progression via AKT signaling"*

**作者**:Wang et al.

**摘要**:利用EXOC2特异性抗体进行Western blot和免疫荧光实验,证明EXOC2与HER2结合通过激活AKT通路促进乳腺癌转移。

(注:以上文献信息为基于领域知识的模拟,实际引用需以真实文献为准。)

背景信息

The EXOC2 antibody is a research tool targeting the EXOC2 protein, a key component of the exocyst complex. The exocyst, an evolutionarily conserved octameric protein complex (EXOC1-8), mediates vesicle tethering during exocytosis, facilitating polarized secretion and membrane trafficking. EXOC2 (also known as Sec5) plays a critical role in anchoring the exocyst to target membranes, enabling vesicle-membrane fusion and cargo delivery. It is essential for diverse cellular processes, including cell polarity establishment, cytokinesis, neuronal outgrowth, and immune synapse formation. Dysregulation of EXOC2 has been implicated in cancers, neurological disorders, and ciliopathies. For instance, elevated EXOC2 expression correlates with tumor progression and metastasis in multiple cancers, while mutations are linked to neurodevelopmental defects.

EXOC2 antibodies, typically developed as monoclonal or polyclonal variants, enable detection and localization of EXOC2 in techniques like Western blotting, immunofluorescence, and immunohistochemistry. They are vital for studying EXOC2's interactome, expression patterns, and functional mechanisms in disease models. Recent studies also explore EXOC2 as a potential therapeutic target, particularly in oncology. Validation parameters for these antibodies include species reactivity, specificity (verified via knockout controls), and cross-reactivity profiles, ensuring reliability in experimental and diagnostic contexts.

客户数据及评论

折叠内容

大包装询价

×