首页 / 产品 / 抗体 / 一抗

Rabbit Monoclonal HistoneH3(acetylK9) Antibody

  • 中文名: HistoneH3(acetylK9)抗体
  • 别    名: H3 histone family, member A; H3/A; H31; H3FA; H3FB; H3FC; H3FD; H3FF; H3FH; H3FI; H3FJ; H3FK; H3FL; HIST1H3A; HIST1H3B; HIST1H3C; HIST1H3D; HIST1H3E;;Acetyl-Histone H3 (K10)
货号: IPDX18302
Price: ¥1280
数量:
大包装询价

验证与应用

应用及物种
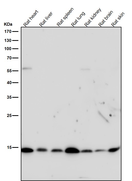
WB 1/1000-1/2000 Human,Mouse,Rat
IF 1/20-1/50 Human,Mouse,Rat
IHC IHC:1/100-1/200;IHF:1/50-1/200 Human,Mouse,Rat
ICC 1/50-1/200 Human,Mouse,Rat
FCM 1/20-1/100 Human,Mouse,Rat
Elisa 咨询技术 Human,Mouse,Rat

产品详情

AliasesH3 histone family, member A; H3/A; H31; H3FA; H3FB; H3FC; H3FD; H3FF; H3FH; H3FI; H3FJ; H3FK; H3FL; HIST1H3A; HIST1H3B; HIST1H3C; HIST1H3D; HIST1H3E;;Acetyl-Histone H3 (K10)
WB Predicted band size15 kDa
Host/IsotypeRabbit IgG
Antibody TypePrimary antibody
StorageStore at 4°C short term. Aliquot and store at -20°C long term. Avoid freeze/thaw cycles.
Species ReactivityHuman,Mouse,Rat
ImmunogenA synthesized peptide derived from human Histone H3.1 around the acetylation site of K10
FormulationPurified antibody in PBS with 0.05% sodium azide,0.05% BSA and 50% glycerol.

+ +

参考文献

以下是关于Histone H3(acetylK9)抗体的3篇参考文献,按文献名称、作者和摘要内容简要概括:

1. **文献名称**:*"Histone acetylation: a gateway to transcriptional activation"*

**作者**:Jenuwein T, Allis CD

**摘要**:该综述阐明了组蛋白乙酰化(包括H3K9乙酰化)在染色质结构重塑和基因转录激活中的关键作用,指出H3K9乙酰化抗体的开发为研究表观遗传调控提供了重要工具。

2. **文献名称**:*"Selective recognition of acetylated histones by the bromodomain of transcriptional co-activators"*

**作者**:Dhalluin C et al.

**摘要**:本文通过结构生物学研究,揭示了转录共激活因子(如p300/CBP)的溴结构域特异性识别H3K9乙酰化位点的分子机制,研究中利用H3K9乙酰化抗体验证了染色质免疫共沉淀(ChIP)的特异性。

3. **文献名称**:*"Global histone modification patterns as prognostic markers in cancer"*

**作者**:Seligson DB et al.

**摘要**:该研究分析了多种癌症患者组织中组蛋白修饰(包括H3K9乙酰化)的全局变化,发现H3K9低乙酰化与患者预后不良相关,通过免疫组织化学(IHC)结合特异性抗体验证了这一表观遗传标记的临床意义。

以上文献涵盖了H3K9乙酰化抗体的基础机制研究、结构生物学应用及临床转化价值。

背景信息

Histone H3 acetylated at lysine 9 (H3K9ac) is a post-translational modification associated with transcriptional activation and chromatin relaxation. Acetylation of histone H3 at this specific residue neutralizes the positive charge of lysine, reducing its interaction with negatively charged DNA and promoting an open chromatin structure. This epigenetic mark is typically enriched at active gene promoters and enhancers, facilitating access for transcription factors and RNA polymerase II. The H3K9ac modification is dynamically regulated by histone acetyltransferases (e.g., GCN5. p300) and deacetylases (HDACs), linking it to cellular processes like gene expression, cell cycle progression, and DNA repair.

Antibodies targeting H3K9ac are widely used in chromatin immunoprecipitation (ChIP), immunofluorescence, and Western blotting to study epigenetic regulation in various contexts. Researchers employ these antibodies to investigate how chromatin remodeling influences development, differentiation, and disease states such as cancer or neurological disorders. For example, decreased H3K9ac levels have been observed in age-related cognitive decline, while abnormal patterns are reported in certain tumors. As a marker of active chromatin, H3K9ac antibodies also help map regulatory elements in genome-wide studies and assess the effects of HDAC inhibitors in therapeutic research. Proper validation with positive/negative controls (e.g., HDAC-treated samples) is critical due to potential cross-reactivity with other acetylated histone residues.

客户数据及评论

折叠内容

大包装询价

×