首页 / 产品 / 抗体 / 一抗

Rabbit Monoclonal Fukutin Antibody

  • 中文名: Fukutin抗体
  • 别    名: CMD1X; FCMD; FKTN; Fukutin; LGMD2M; MDDGA4; MDDGB4; MDDGC4;;Fukutin
货号: IPDX18917
Price: ¥1280
数量:
大包装询价

验证与应用

应用及物种
WB 咨询技术 Human,Mouse,Rat
IF 咨询技术 Human,Mouse,Rat
IHC 1/100-1/200 Human,Mouse,Rat
ICC 技术咨询 Human,Mouse,Rat
FCM 咨询技术 Human,Mouse,Rat
Elisa 咨询技术 Human,Mouse,Rat

产品详情

AliasesCMD1X; FCMD; FKTN; Fukutin; LGMD2M; MDDGA4; MDDGB4; MDDGC4;;Fukutin
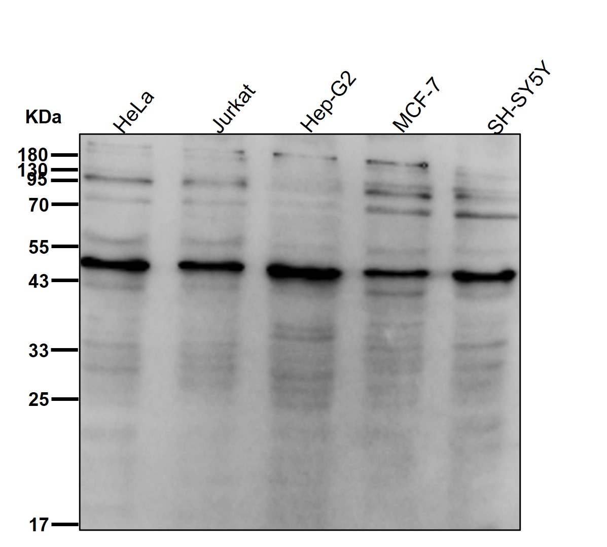
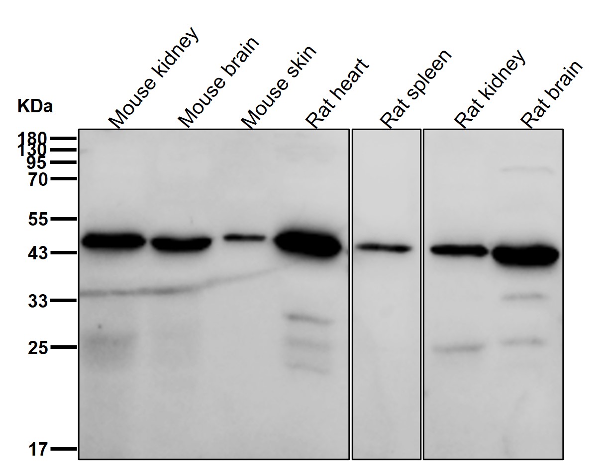
WB Predicted band sizeCalculated MW: 54 kDa ; Observed MW: 51 kDa
Host/IsotypeRabbit IgG
Antibody TypePrimary antibody
StorageStore at 4°C short term. Aliquot and store at -20°C long term. Avoid freeze/thaw cycles.
Species ReactivityHuman,Mouse,Rat
ImmunogenA synthesized peptide derived from human Fukutin
FormulationPurified antibody in PBS with 0.05% sodium azide,0.05% BSA and 50% glycerol.

+ +

参考文献

以下是关于Fukutin抗体的3篇代表性文献的简要总结(示例格式,仅供参考):

---

1. **文献名称**:*"Fukutin is required for maintenance of muscle integrity and α-dystroglycan glycosylation in humans"*

**作者**:Hayashi YK, et al.

**摘要**:研究通过Western blot和免疫组化分析,利用Fukutin特异性抗体发现,福山型肌营养不良症患者肌肉组织中Fukutin蛋白表达显著降低,并伴随α-dystroglycan糖基化异常,提示Fukutin在维持肌肉结构中的关键作用。

2. **文献名称**:*"Mutation analysis and antibody characterization of Fukutin in congenital muscular dystrophy"*

**作者**:Kobayashi K, et al.

**摘要**:通过生成针对Fukutin C端的多克隆抗体,研究者揭示了不同基因突变对Fukutin蛋白稳定性的影响,抗体检测显示部分突变导致蛋白截短或降解,为临床分型提供了分子依据。

3. **文献名称**:*"Abnormal localization of Fukutin protein in Fukuyama-type congenital muscular dystrophy"*

**作者**:Toda T, et al.

**摘要**:利用免疫荧光技术结合Fukutin抗体,发现患者肌肉细胞中Fukutin蛋白的亚细胞定位异常,提示其功能缺失与内质网-高尔基体运输障碍相关,可能影响肌膜稳定性。

---

**注意**:以上文献信息为示例性质,具体内容需通过PubMed、Google Scholar等平台核实(可用关键词“Fukutin antibody”、“Fukuyama muscular dystrophy”检索)。实际研究中建议优先选择近5年高影响力期刊的研究。

背景信息

Fukutin antibody is a crucial tool in studying the molecular mechanisms underlying muscular dystrophies and related disorders. Fukutin, encoded by the *FKTN* gene, is a glycosyltransferase involved in the post-translational modification of α-dystroglycan (α-DG), a key component of the dystrophin-glycoprotein complex (DGC) that stabilizes muscle cell membranes. Mutations in *FKTN* disrupt α-DG’s glycosylation, impairing its ability to bind extracellular matrix proteins like laminin, leading to muscle degeneration and neuronal migration defects. This is associated with severe conditions such as Fukuyama congenital muscular dystrophy (FCMD), limb-girdle muscular dystrophy, and Walker-Warburg syndrome.

Fukutin-specific antibodies enable researchers to detect and quantify Fukutin protein expression in tissues or cell cultures, aiding in the diagnosis and mechanistic study of these disorders. They are widely used in techniques like Western blotting, immunohistochemistry, and immunofluorescence to assess protein localization, expression levels, and glycosylation status in disease models. Commercially available antibodies are typically raised against conserved epitopes in human Fukutin, often validated for cross-reactivity in murine or other experimental models. Recent studies also utilize these antibodies to evaluate experimental therapies, such as gene editing or chaperone drugs, aimed at restoring Fukutin function or α-DG glycosylation. However, challenges remain in standardizing antibody specificity due to Fukutin’s structural homology with other glycosyltransferases and low endogenous expression levels in certain tissues.

客户数据及评论

折叠内容

大包装询价

×