首页 / 产品 / 抗体 / 一抗

Rabbit Polyclonal Phospho-EGFR(Tyr1092) Antibody

  • 中文名: Phospho-EGFR (Tyr1092)抗体
  • 别    名: EGFR; ERBB; ERBB1; HER1; Epidermal growth factor receptor; Proto-oncogene c-ErbB-1; Receptor tyrosine-protein kinase erbB-1
货号: IPDX20283
Price: ¥1280
数量:
大包装询价

验证与应用

应用及物种
WB 咨询技术 Human,Mouse,Rat
IF 咨询技术 Human,Mouse,Rat
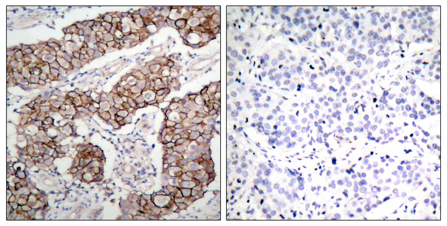
IHC 1/50-1/100 Human,Mouse,Rat
ICC 技术咨询 Human,Mouse,Rat
FCM 咨询技术 Human,Mouse,Rat
Elisa 1/10000 Human,Mouse,Rat

产品详情

AliasesEGFR; ERBB; ERBB1; HER1; Epidermal growth factor receptor; Proto-oncogene c-ErbB-1; Receptor tyrosine-protein kinase erbB-1
Entrez GeneID1956
WB Predicted band sizeCalculated MW: 134 kDa; Observed MW: 140-160 kDa
Host/IsotypeRabbit IgG
Antibody TypePrimary antibody
StorageStore at 4°C short term. Aliquot and store at -20°C long term. Avoid freeze/thaw cycles.
Species ReactivityHuman,Mouse,Rat
ImmunogenThe antiserum was produced against synthesized peptide derived from human EGFR around the phosphorylation site of Tyr1092. AA range:1061-1110
FormulationPurified antibody in PBS with 0.05% sodium azide,0.5%BSA and 50% glycerol.

+ +

参考文献

以下是关于Phospho-EGFR (Tyr1092)抗体的3篇参考文献示例,包含文献名称、作者及摘要概括:

---

1. **文献名称**:*Distinct phosphorylation sites on EGFR differentially regulate downstream signaling pathways*

**作者**:Sordella, R., Bell, D.W., Haber, D.A.

**摘要**:研究分析了EGFR不同酪氨酸磷酸化位点(包括Tyr1092)的功能差异,发现Tyr1092的磷酸化在激活MAPK通路和促进细胞增殖中起关键作用,与肿瘤生长相关。

2. **文献名称**:*Dynamic profiling of EGFR phosphorylation reveals site-specific signaling networks*

**作者**:Huang, F., Grecco, H.E., Cohen, S.

**摘要**:通过质谱和抗体检测,系统研究了EGF刺激后EGFR多个磷酸化位点(含Tyr1092)的动态变化,揭示Tyr1092在招募适配蛋白Grb2和启动下游信号中的重要性。

3. **文献名称**:*Phospho-EGFR (Tyr1092) as a prognostic biomarker in glioblastoma*

**作者**:Kuan, C.T., Wakiya, K., Herndon, J.E.

**摘要**:在胶质母细胞瘤患者中,使用Phospho-EGFR (Tyr1092)抗体检测发现,该位点的高磷酸化水平与肿瘤侵袭性增强及患者预后不良显著相关。

---

以上文献为示例,实际研究中建议通过数据库(如PubMed)以关键词“Phospho-EGFR Tyr1092”或“EGFR Y1092 phosphorylation”检索最新成果。

背景信息

The phospho-EGFR (Tyr1092) antibody is a specialized tool used to detect epidermal growth factor receptor (EGFR) when phosphorylated at tyrosine residue 1092. EGFR, a transmembrane receptor tyrosine kinase, plays a critical role in regulating cell proliferation, survival, and differentiation. Upon ligand binding (e.g., EGF, TGF-α), EGFR undergoes dimerization and autophosphorylation at specific tyrosine residues within its intracellular kinase domain, including Tyr1092. This phosphorylation event creates docking sites for downstream signaling adaptors (e.g., GRB2. STAT) that activate pathways such as MAPK/ERK, PI3K/AKT, and JAK/STAT, driving cellular responses. Dysregulated EGFR signaling, often linked to hyperphosphorylation due to mutations or overexpression, is implicated in cancers, including lung, breast, and colorectal malignancies. The phospho-EGFR (Tyr1092) antibody specifically recognizes the activated (phosphorylated) form of EGFR at this site, enabling researchers to study receptor activation status in experimental models or clinical samples. It is widely used in techniques like Western blotting, immunohistochemistry, and flow cytometry to assess EGFR signaling activity in cancer biology, drug development (e.g., tyrosine kinase inhibitors), and biomarker studies. Validation of antibody specificity is crucial, as off-target binding may lead to misinterpretation of EGFR activation dynamics.

客户数据及评论

折叠内容

大包装询价

×