首页 / 产品 / 抗体 / 一抗

Rabbit Polyclonal Phospho-ErbB2(Tyr1221/Tyr1222) Antibody

  • 中文名: Phospho-ErbB 2 (Tyr1221/Tyr1222)抗体
  • 别    名: ERBB2; HER2; MLN19; NEU; NGL; Receptor tyrosine-protein kinase erbB-2; Metastatic lymph node gene 19 protein; MLN 19; Proto-oncogene Neu; Proto-oncogene c-ErbB-2; Tyrosine kinase-type cell surface receptor HER2; p185erbB2; CD antigen CD340
货号: IPDX20286
Price: ¥1280
数量:
大包装询价

验证与应用

应用及物种
WB 咨询技术 Human,Mouse,Rat
IF 1/20 Human,Mouse,Rat
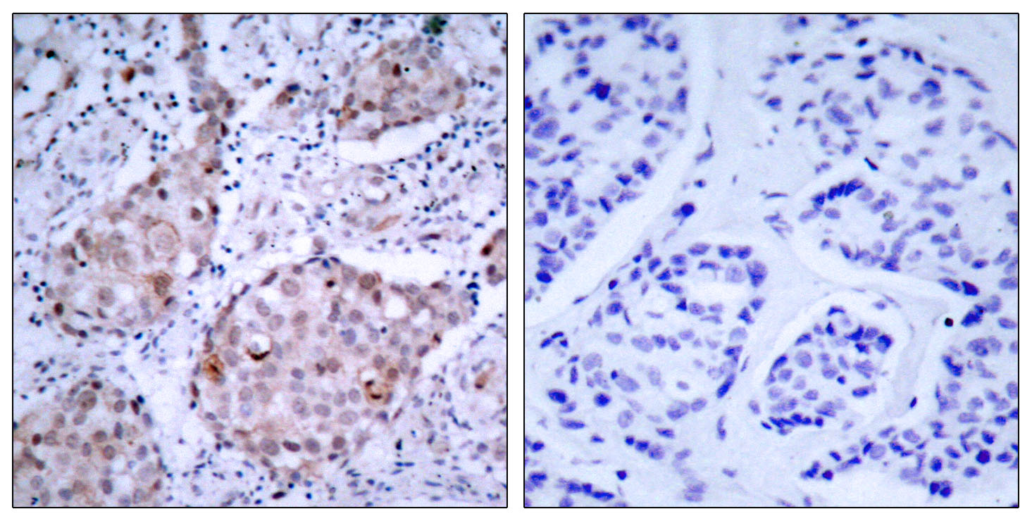
IHC 1/50-1/100 Human,Mouse,Rat
ICC 技术咨询 Human,Mouse,Rat
FCM 咨询技术 Human,Mouse,Rat
Elisa 1/10000 Human,Mouse,Rat

产品详情

AliasesERBB2; HER2; MLN19; NEU; NGL; Receptor tyrosine-protein kinase erbB-2; Metastatic lymph node gene 19 protein; MLN 19; Proto-oncogene Neu; Proto-oncogene c-ErbB-2; Tyrosine kinase-type cell surface receptor HER2; p185erbB2; CD antigen CD340
Entrez GeneID2064
WB Predicted band sizeCalculated MW: 138 kDa; Observed MW: 180 kDa
Host/IsotypeRabbit IgG
Antibody TypePrimary antibody
StorageStore at 4°C short term. Aliquot and store at -20°C long term. Avoid freeze/thaw cycles.
Species ReactivityHuman,Mouse,Rat
ImmunogenThe antiserum was produced against synthesized peptide derived from human HER2 around the phosphorylation site of Tyr1221/Tyr1222. AA range:1191-1240
FormulationPurified antibody in PBS with 0.05% sodium azide,0.5%BSA and 50% glycerol.

+ +

参考文献

以下是3篇关于Phospho-ErbB2 (Tyr1221/1222)抗体的代表性文献摘要:

---

1. **"ERBB2 phosphorylation at Tyr1221/1222 mediates acquired resistance to HER2-targeted therapy"**

- **作者**: Hsu JL et al.

- **摘要**: 该研究通过Phospho-ErbB2 (Tyr1221/1222)抗体验证了HER2阳性乳腺癌中该位点的磷酸化与曲妥珠单抗耐药性的关联,揭示其通过激活下游PI3K/Akt信号通路促进细胞存活。

2. **"Phosphorylation of ErbB2 at tyrosine 1221/1222 creates a binding site for Src kinase"**

- **作者**: Tvorogov D et al.

- **摘要**: 利用特异性抗体证实Tyr1221/1222磷酸化是ErbB2与Src激酶相互作用的关键位点,促进肿瘤细胞的迁移和侵袭,为靶向联合治疗提供依据。

3. **"Site-specific phosphorylation of HER2 regulates receptor internalization and sensitivity to lapatinib"**

- **作者**: Saez R et al.

- **摘要**: 通过Phospho-ErbB2 (Tyr1221/1222)抗体研究发现,该位点的磷酸化状态影响HER2内吞及对拉帕替尼的敏感性,提示其作为治疗反应预测标志物的潜力。

---

这些文献聚焦于ErbB2关键磷酸化位点的功能验证及临床应用,涵盖耐药机制、信号通路和靶向治疗方向。如需具体DOI或补充信息可进一步补充。

背景信息

The Phospho-ErbB2 (Tyr1221/Tyr1222) antibody is a key tool for studying the activation status of ErbB2 (HER2/neu), a receptor tyrosine kinase belonging to the EGFR family. ErbB2 lacks a direct ligand-binding domain but acts as a preferred dimerization partner for other ErbB receptors. Phosphorylation at tyrosine residues 1221 and 1222. located in the activation loop of its kinase domain, is critical for receptor activation, downstream signaling, and oncogenic activity. These sites are autophosphorylated upon receptor dimerization, triggering signaling cascades like PI3K/Akt and MAPK pathways, which drive cell proliferation, survival, and metastasis.

This antibody specifically detects ErbB2 phosphorylated at these residues, enabling researchers to assess HER2 activation in cancer models or clinical samples. Overexpression or hyperactivation of HER2 is linked to aggressive breast, gastric, and ovarian cancers. Clinically, HER2 status guides targeted therapies such as trastuzumab. The antibody is widely used in techniques like Western blotting, immunohistochemistry, and immunofluorescence to evaluate HER2-targeted drug efficacy, study resistance mechanisms, or correlate phosphorylation with disease progression. Its specificity helps distinguish activated HER2 from total HER2 levels, providing insights into signaling dynamics in tumor biology and therapeutic response.

客户数据及评论

折叠内容

大包装询价

×