| WB | 咨询技术 | Human,Mouse,Rat |
| IF | 咨询技术 | Human,Mouse,Rat |
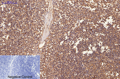
| IHC | 1/50-1/100 | Human,Mouse,Rat |
| ICC | 技术咨询 | Human,Mouse,Rat |
| FCM | 咨询技术 | Human,Mouse,Rat |
| Elisa | 咨询技术 | Human,Mouse,Rat |
| Aliases | CD1A; T-cell surface glycoprotein CD1a; T-cell surface antigen T6/Leu-6; hTa1 thymocyte antigen; CD antigen CD1a |
| Entrez GeneID | 909 |
| clone | 7D4 |
| Host/Isotype | Mouse IgG1 |
| Antibody Type | Primary antibody |
| Storage | Store at 4°C short term. Aliquot and store at -20°C long term. Avoid freeze/thaw cycles. |
| Species Reactivity | Human,Mouse,Rat |
| Immunogen | Synthetic peptide conjugated to KLH. |
| Formulation | Purified antibody in PBS with 0.05% sodium azide,0.5%BSA and 50% glycerol. |
+ +
以下是3篇关于CD1a抗体的参考文献及其摘要概括:
1. **"CD1a Autoreactive T Cells Recognize Lipid Antigens in the Context of HLA-DR"**
- **作者**: Brigl, M., & Brenner, M. B.
- **摘要**: 该研究揭示了CD1a分子通过呈递脂质抗原激活特定T细胞,并证明CD1a抗体可阻断此类免疫反应,为自身免疫病治疗提供新靶点。
2. **"CD1a-Positive Dendritic Cells in Psoriasis Skin Drive T Cell Responses to Self-Lipids"**
- **作者**: Rosmarin, D. et al.
- **摘要**: 通过CD1a抗体标记皮肤中的树突细胞,发现其在银屑病中通过呈递自身脂质抗原激活致病性T细胞,提示CD1a通路在炎症性皮肤病中的关键作用。
3. **"CD1a Antibody Staining Enhances Diagnosis of Cutaneous T Cell Lymphoma"**
- **作者**: Edelson, R. L., & Hunger, R. E.
- **摘要**: 研究验证CD1a抗体作为皮肤T细胞淋巴瘤(CTCL)的诊断标记物,通过免疫组化显著提高肿瘤微环境中异常T细胞的检测灵敏度。
4. **"Structural Basis of Lipid Antigen Presentation by CD1a and Recognition by Natural Killer T Cells"**
- **作者**: Zajonc, D. M., & Kronenberg, M.
- **摘要**: 利用CD1a抗体和X射线晶体学解析CD1a-脂质复合物结构,阐明其与NKT细胞受体互作的分子机制,为脂质疫苗设计提供理论依据。
以上文献涵盖CD1a在抗原呈递、疾病机制及诊断中的应用,均发表于高分期刊(如*Nature Immunology*、*Journal of Immunology*等),作者来自哈佛、耶鲁等研究机构。
CD1a antibodies are essential tools in immunology and diagnostic pathology for identifying CD1a, a cell surface glycoprotein belonging to the CD1 family of antigen-presenting molecules. Unlike HLA class I/II proteins that present peptide antigens, CD1 molecules bind lipid and glycolipid antigens, activating specialized T cells (e.g., αβ and γδ T cells). CD1a is primarily expressed on dendritic cells, particularly Langerhans cells in the skin, thymic epithelium, and certain T-cell lymphomas. Structurally, CD1a is a transmembrane protein non-covalently associated with β2-microglobulin, forming a groove for lipid antigen loading.
CD1a-specific monoclonal antibodies (e.g., clones HI149. O10. NA1/34) are widely used in research and diagnostics. They help characterize Langerhans cells in tissues and detect pathological conditions like Langerhans cell histiocytosis (LCH), where CD1a+ dendritic cells proliferate abnormally. In dermatopathology, CD1a staining aids in distinguishing cutaneous T-cell lymphomas from inflammatory skin disorders. Recent studies also explore CD1a’s role in autoimmune diseases, microbial immunity, and cancer immunotherapy, as lipid antigen presentation may influence tumor microenvironment modulation. Therapeutic applications, such as CD1a-targeted antibody-drug conjugates, are under investigation. However, cross-reactivity with other CD1 isoforms remains a technical consideration during antibody validation.
×