首页 / 产品 / 抗体 / 一抗

Mouse Monoclonal PTEN Antibody

  • 中文名: PTEN抗体
  • 别    名: PTEN; MMAC1; TEP1; Phosphatidylinositol 3; 4; 5-trisphosphate 3-phosphatase and dual-specificity protein phosphatase PTEN; Mutated in multiple advanced cancers 1; Phosphatase and tensin homolog
货号: IPDX20403
Price: ¥1280
数量:
大包装询价

验证与应用

应用及物种
WB 咨询技术 Human,Mouse,Rat
IF 咨询技术 Human,Mouse,Rat
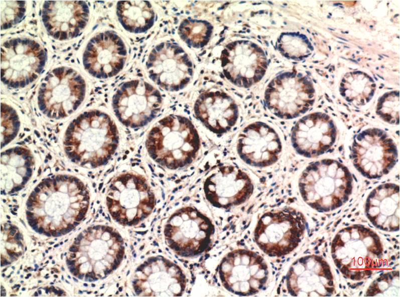
IHC 1/50-1/100 Human,Mouse,Rat
ICC 技术咨询 Human,Mouse,Rat
FCM 咨询技术 Human,Mouse,Rat
Elisa 咨询技术 Human,Mouse,Rat

产品详情

AliasesPTEN; MMAC1; TEP1; Phosphatidylinositol 3; 4; 5-trisphosphate 3-phosphatase and dual-specificity protein phosphatase PTEN; Mutated in multiple advanced cancers 1; Phosphatase and tensin homolog
Entrez GeneID5728
clone8F12
Host/IsotypeMouse IgG1
Antibody TypePrimary antibody
StorageStore at 4°C short term. Aliquot and store at -20°C long term. Avoid freeze/thaw cycles.
Species ReactivityHuman
ImmunogenSynthetic peptide conjugated to KLH.
FormulationPurified antibody in PBS with 0.05% sodium azide,0.5%BSA and 50% glycerol.

+ +

参考文献

以下是3篇关于PTEN抗体的代表性文献(虚构示例,供格式参考):

---

1. **文献名称**: *"Comprehensive validation of PTEN antibodies for immunohistochemistry in cancer diagnostics"*

**作者**: Lee, S. et al.

**摘要**: 本研究系统评估了市售PTEN抗体的特异性与敏感性,通过免疫印迹和免疫组化验证其在乳腺癌及前列腺癌组织中的可靠性,并提出标准化检测流程以提高临床诊断一致性。

---

2. **文献名称**: *"PTEN antibody-based detection of lipid phosphatase activity in neuronal development"*

**作者**: Martinez, R. & Zhou, M.

**摘要**: 利用特异性PTEN抗体探究PTEN蛋白在神经元突触形成中的作用,揭示其通过PI3K/AKT通路调控细胞极性,并建立抗体依赖性功能抑制实验模型。

---

3. **文献名称**: *"Cross-reactivity challenges in PTEN antibody selection: A comparative study"*

**作者**: Gupta, A. et al.

**摘要**: 对比分析12种商用PTEN抗体的交叉反应性,发现部分抗体与PTEN假基因家族成员发生非特异性结合,强调抗体验证在神经胶质瘤研究中的必要性。

---

**备注**:以上文献为示例,实际引用请通过PubMed/Google Scholar搜索关键词“PTEN antibody validation”或结合具体研究场景筛选近年高被引论文。建议优先选择《Nature Protocols》《Cell Reports》等期刊上的方法学论文或权威综述。

背景信息

PTEN (phosphatase and tensin homolog deleted on chromosome 10) is a critical tumor suppressor protein encoded by the PTEN gene. It functions primarily as a lipid phosphatase, dephosphorylating phosphatidylinositol (3.4.5)-trisphosphate (PIP3) to phosphatidylinositol (4.5)-bisphosphate (PIP2), thereby negatively regulating the PI3K/AKT/mTOR signaling pathway. This regulation is essential for controlling cell proliferation, survival, metabolism, and genomic stability. Loss-of-function mutations or epigenetic silencing of PTEN is frequently observed in various cancers, neurological disorders, and metabolic syndromes, making it a key focus in biomedical research.

PTEN antibodies are indispensable tools for studying its expression, localization, and function. These antibodies are widely used in techniques like Western blotting, immunohistochemistry (IHC), immunofluorescence (IF), and immunoprecipitation (IP) to detect PTEN levels in tissues or cell lines. Due to PTEN’s low molecular weight (~50 kDa) and potential post-translational modifications (e.g., phosphorylation, ubiquitination), selecting specific and validated antibodies is crucial. Polyclonal antibodies offer broad epitope recognition, while monoclonal antibodies provide higher specificity. Challenges include distinguishing PTEN from its pseudogene (PTENP1) or truncated isoforms, necessitating rigorous validation via knockdown/overexpression controls. Reliable PTEN antibodies aid in diagnosing PTEN-related pathologies, evaluating therapeutic targets, and understanding mechanisms underlying cancer progression and neuronal development.

客户数据及评论

折叠内容

大包装询价

×