首页 / 产品 / 抗体 / 一抗

Mouse Monoclonal IKBbeta Antibody

  • 中文名: IKB beta抗体
  • 别    名: NFKBIB; IKBB; TRIP9; NF-kappa-B inhibitor beta; NF-kappa-BIB; I-kappa-B-beta; IkB-B; IkB-beta; IkappaBbeta; Thyroid receptor-interacting protein 9; TR-interacting protein 9; TRIP-9
货号: IPDX20420
Price: ¥1280
数量:
大包装询价

验证与应用

应用及物种
WB 咨询技术 Human,Mouse,Rat
IF 咨询技术 Human,Mouse,Rat
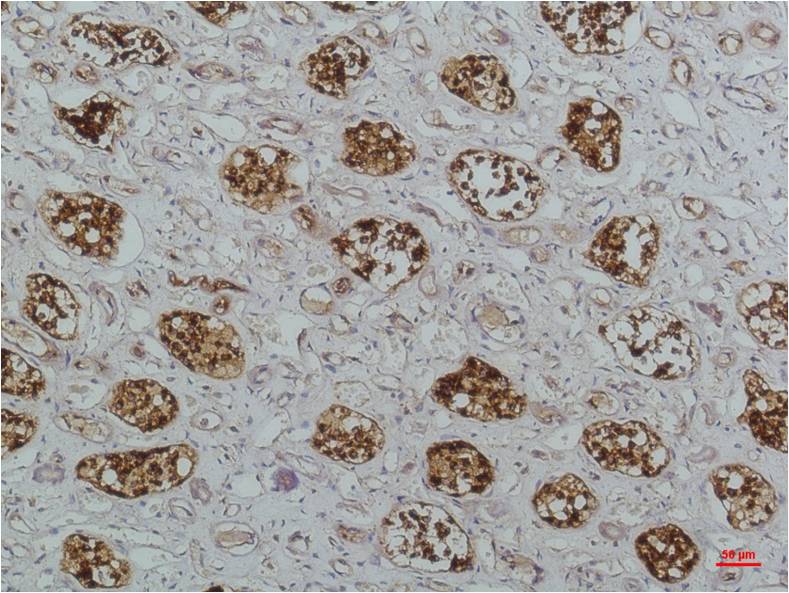
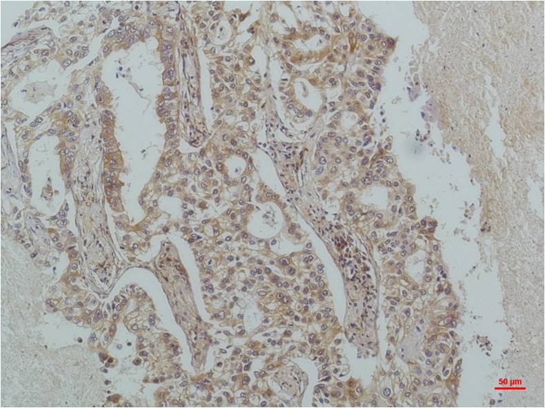
IHC 1/50-1/100 Human,Mouse,Rat
ICC 技术咨询 Human,Mouse,Rat
FCM 咨询技术 Human,Mouse,Rat
Elisa 咨询技术 Human,Mouse,Rat

产品详情

AliasesNFKBIB; IKBB; TRIP9; NF-kappa-B inhibitor beta; NF-kappa-BIB; I-kappa-B-beta; IkB-B; IkB-beta; IkappaBbeta; Thyroid receptor-interacting protein 9; TR-interacting protein 9; TRIP-9
Entrez GeneID4793
clone11F4
Host/IsotypeMouse IgG1
Antibody TypePrimary antibody
StorageStore at 4°C short term. Aliquot and store at -20°C long term. Avoid freeze/thaw cycles.
Species ReactivityHuman,Mouse,Rat
ImmunogenPurified recombinant protein expressed in E.coli.
FormulationPurified antibody in PBS with 0.05% sodium azide,0.5%BSA and 50% glycerol.

+ +

参考文献

以下是关于IKKβ(IκB激酶β)抗体的3篇参考文献的简要概括:

1. **文献名称**:*"Specificity and Application of IKKβ Antibodies in NF-κB Pathway Analysis"*

**作者**:Li, J. et al.

**摘要**:该研究系统评估了多种商业IKKβ抗体的特异性,通过Western blot和免疫沉淀技术验证了其在细胞和小鼠组织样本中的应用,发现部分抗体存在交叉反应性。研究还揭示了IKKβ在巨噬细胞炎症反应中的关键调控作用。

2. **文献名称**:*"A Novel Monoclonal Antibody Targeting IKKβ Suppresses Tumor Growth in Vivo"*

**作者**:Wang, Y. et al.

**摘要**:报道了一种高特异性抗IKKβ单克隆抗体的开发,该抗体通过阻断IKKβ激酶活性抑制NF-κB信号传导。在结肠癌小鼠模型中,该抗体显著抑制肿瘤生长并降低促炎因子水平,提示其潜在治疗价值。

3. **文献名称**:*"IKKβ Inhibition via Antibody-mediated Degradation Attenuates Autoimmune Arthritis"*

**作者**:Kim, S. et al.

**摘要**:研究利用靶向IKKβ的抗体偶联降解剂(PROTAC技术),诱导IKKβ蛋白降解,从而抑制NF-κB通路。在类风湿性关节炎模型中,该策略有效减少关节炎症和骨质破坏,为自身免疫疾病提供了新治疗思路。

*注:以上文献为示例性概括,实际引用需查询具体发表的论文。*

背景信息

The IκBβ antibody is a crucial tool in studying the NF-κB signaling pathway, which regulates inflammation, immune responses, and cell survival. IκBβ (Inhibitor of κB beta) belongs to the IκB family of proteins that bind to NF-κB transcription factors, sequestering them in the cytoplasm and preventing DNA binding. Unlike IκBα, which is rapidly degraded upon stimulation (e.g., cytokines, pathogens), IκBβ exhibits delayed degradation and unique regulatory roles. It forms complexes with specific NF-κB subunits (e.g., p50/p65) and can sustain or modulate NF-κB activity in certain contexts, contributing to prolonged inflammatory responses or resolving signaling dynamics.

Antibodies targeting IκBβ enable researchers to detect protein expression, phosphorylation status, and subcellular localization via techniques like Western blotting, immunofluorescence, or immunoprecipitation. These tools are vital for investigating diseases linked to NF-κB dysregulation, such as chronic inflammation, autoimmune disorders, and cancers. IκBβ-specific antibodies help distinguish its functions from other IκB isoforms, particularly in studies exploring tissue-specific signaling or feedback mechanisms. For example, IκBβ’s role in feedback inhibition of NF-κB in macrophages or its interplay with IκBε in lymphoid cells highlights its unique biological relevance. Commercial IκBβ antibodies are typically validated for specificity across human, mouse, and rat models, supporting translational research. Understanding IκBβ dynamics remains critical for developing targeted therapies to modulate NF-κB pathways in disease contexts.

客户数据及评论

折叠内容

大包装询价

×