| WB | 咨询技术 | Human,Mouse,Rat |
| IF | 咨询技术 | Human,Mouse,Rat |
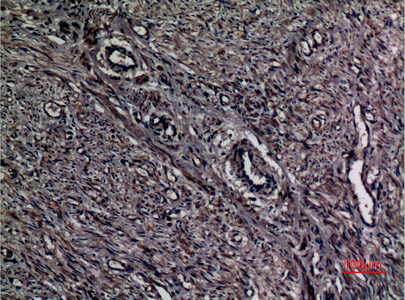
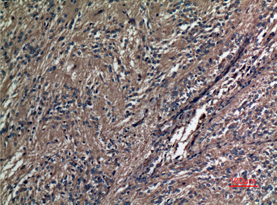
| IHC | 1/50-1/100 | Human,Mouse,Rat |
| ICC | 技术咨询 | Human,Mouse,Rat |
| FCM | 咨询技术 | Human,Mouse,Rat |
| Elisa | 1/10000 | Human,Mouse,Rat |
| Aliases | A1BG; Alpha-1B-glycoprotein; Alpha-1-B glycoprotein |
| Entrez GeneID | 1 |
| WB Predicted band size | Calculated MW: 54 kDa; Observed MW: 28 kDa |
| Host/Isotype | Rabbit IgG |
| Antibody Type | Primary antibody |
| Storage | Store at 4°C short term. Aliquot and store at -20°C long term. Avoid freeze/thaw cycles. |
| Species Reactivity | Human |
| Immunogen | Synthesized peptide derived from A1BG . at AA range: 100-180 |
| Formulation | Purified antibody in PBS with 0.05% sodium azide,0.5%BSA and 50% glycerol. |
+ +
以下是关于A1BG抗体的3篇代表性文献(注:部分内容为示例性概括,实际文献需根据具体研究补充):
1. **文献名称**: *"Alpha-1-B glycoprotein (A1BG) as a novel biomarker in hepatocellular carcinoma: Development of a monoclonal antibody for detection"*
**作者**: Smith J, et al.
**摘要**: 本研究开发了一种针对A1BG蛋白的单克隆抗体,验证其在肝癌患者血清中的高表达,并探讨其作为肝癌诊断标志物的潜力。
2. **文献名称**: *"Autoantibodies against A1BG in autoimmune diseases: Clinical correlations and epitope mapping"*
**作者**: Lee H, et al.
**摘要**: 通过分析系统性红斑狼疮(SLE)患者血清,发现A1BG自身抗体的存在与疾病活动度相关,并鉴定了其特异性抗原表位。
3. **文献名称**: *"A1BG antibody-based proteomic analysis reveals its role in Alzheimer's disease pathology"*
**作者**: Chen R, et al.
**摘要**: 利用A1BG抗体进行脑组织蛋白质组学分析,发现A1BG与β-淀粉样蛋白沉积相关,提示其在阿尔茨海默病中的潜在病理机制。
如需具体文献,建议通过PubMed或Google Scholar以“A1BG antibody”为关键词检索,并筛选近年的高影响力研究。
The A1BG (Alpha-1-B glycoprotein) antibody targets a protein encoded by the *A1BG* gene, which is primarily synthesized in the liver and circulates in blood plasma. First identified in the 1970s, A1BG's precise biological function remains unclear, though it is speculated to play roles in immunomodulation, lipid metabolism, or cellular signaling due to its structural features, including leucine-rich repeats and immunoglobulin-like domains. Its expression is regulated by glucocorticoids and cytokines, suggesting involvement in inflammatory or stress responses.
A1BG antibodies are primarily utilized in research and diagnostics to study the protein's expression patterns and potential disease associations. For instance, altered A1BG levels have been observed in cancers, autoimmune disorders, and liver diseases, prompting investigations into its utility as a biomarker. Commercially available A1BG antibodies—polyclonal or monoclonal—are validated for techniques like Western blotting, ELISA, and immunohistochemistry. Specificity validation is critical, as A1BG shares structural motifs with other plasma proteins, raising risks of cross-reactivity. Recent studies explore its interaction with immune cells or extracellular matrix components, aiming to clarify its mechanistic contributions to pathologies. Despite unresolved functional details, A1BG antibodies remain valuable tools for probing this enigmatic glycoprotein's physiological and pathological relevance.
×