| 经过测试的应用 | |
| WB, ELISA | WB-1:500-1:1000 |
| 反应物种 | human, mouse |
| SwissProt ID | Q8N8Z6 |
| 抗体类型 | Polyclonal |
| 形式 | Liquid |
| 纯化方式 | Antigen affinity purification |
| 偶联类型 | Unconjugated |
| 克隆性 | Polyclonal |
| 宿主 | Rabbit / IgG |
| 基因名 | DCBLD1 |
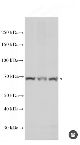
| 分子量 | 68kDa |
| 形式 | Liquid |
| 存储缓冲液 | PBS with 0.02% sodium azide and 50% glycerol, pH 7.3. |
| 储存 | Store at -20°C. Stable for one year after shipment |

Various lysates were subjected to SDS PAGE followed by western blot with 24504-1-AP (DCBLD1 antibody) at dilution of 1:600 incubated at room temperature for 1.5 hours.
×