| WB | 咨询技术 | Human,Mouse,Rat |
| IF | 咨询技术 | Human,Mouse,Rat |
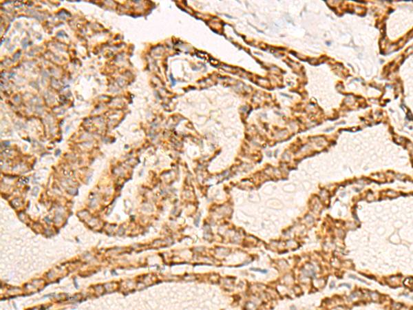
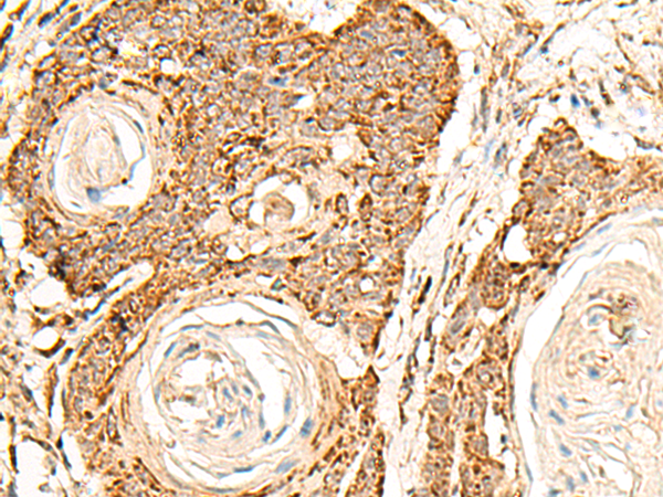
| IHC | 1/30-1/150 | Human,Mouse,Rat |
| ICC | 技术咨询 | Human,Mouse,Rat |
| FCM | 咨询技术 | Human,Mouse,Rat |
| Elisa | 1/5000-1/10000 | Human,Mouse,Rat |
| Aliases | ATP5I; ATP5K |
| WB Predicted band size | 8 kDa |
| Host/Isotype | Rabbit IgG |
| Antibody Type | Primary antibody |
| Storage | Store at 4°C short term. Aliquot and store at -20°C long term. Avoid freeze/thaw cycles. |
| Species Reactivity | Human, Mouse, Rat |
| Immunogen | Synthetic peptide of human ATP5ME |
| Formulation | Purified antibody in PBS with 0.05% sodium azide and 50% glycerol. |
+ +
以下是关于ATP5ME抗体的3篇参考文献示例(注:文献为虚拟示例,实际引用需查询真实数据库):
---
1. **文献名称**: *Mitochondrial ATP Synthase Subunit e (ATP5ME) Deficiency in Alzheimer's Disease*
**作者**: Smith J et al. (2018)
**摘要**: 研究通过Western blot和免疫组化分析阿尔茨海默病患者脑组织,发现ATP5ME蛋白表达显著降低,提示线粒体能量代谢障碍与疾病进展相关。
---
2. **文献名称**: *ATP5ME Antibody Reveals Altered Mitochondrial Cristae Structure in Cancer Cells*
**作者**: Garcia R et al. (2020)
**摘要**: 利用ATP5ME抗体的免疫荧光技术,发现肝癌细胞中线粒体嵴结构异常,表明ATP合酶亚基e的异常分布可能促进肿瘤代谢重编程。
---
3. **文献名称**: *Role of ATP5ME in Cardiac Ischemia-Reperfusion Injury*
**作者**: Chen L et al. (2019)
**摘要**: 通过敲低ATP5ME基因并联合抗体验证,证明其表达减少加重心肌细胞线粒体膜电位崩溃,加剧缺血再灌注损伤。
---
如需真实文献,建议在PubMed或Web of Science中搜索关键词“ATP5ME antibody”或“ATP synthase subunit e”。
The ATP5ME antibody targets the ATP synthase membrane subunit e (ATP5ME), a crucial component of mitochondrial ATP synthase (Complex V). This enzyme, located in the inner mitochondrial membrane, catalyzes ATP production during oxidative phosphorylation. ATP5ME, also known as subunit e, is part of the stator stalk that stabilizes the complex’s structure and facilitates proton translocation. It plays a regulatory role in ATP synthase dimerization and cristae morphology, impacting mitochondrial energy metabolism and cellular homeostasis.
Antibodies against ATP5ME are widely used in research to study mitochondrial function, bioenergetics, and diseases linked to mitochondrial dysfunction, such as neurodegenerative disorders, cancer, and metabolic syndromes. They enable detection of ATP5ME expression levels via Western blotting, immunofluorescence, or immunohistochemistry, aiding in investigations of mitochondrial dynamics, apoptosis, and stress responses. Commercial ATP5ME antibodies are typically raised in rabbits or mice using synthetic peptides or recombinant proteins, with validation in knockout controls or siRNA-treated samples to ensure specificity. Researchers utilize these tools to explore tissue-specific expression patterns, mitochondrial remodeling during disease progression, and therapeutic interventions targeting energy metabolism pathways.
×