首页 / 产品 / 抗体 / 一抗

Rabbit Monoclonal CABP Antibody

  • 中文名: CABP抗体
  • 别    名: CaBP1; Calbrain; Calcium binding protein 1; Calcium binding protein 5; Caldendrin; HCALB BR;;Calcium binding protein 1
货号: IPDX17181
Price: ¥1280
数量:
大包装询价

验证与应用

应用及物种
WB 咨询技术 Human,Mouse,Rat
IF 咨询技术 Human,Mouse,Rat
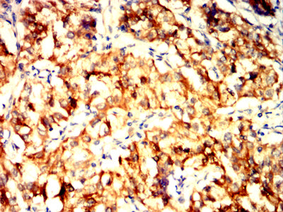
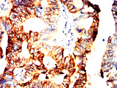
IHC 咨询技术 Human,Mouse,Rat
ICC 1/50-1/200 Human,Mouse,Rat
FCM 咨询技术 Human,Mouse,Rat
Elisa 咨询技术 Human,Mouse,Rat

产品详情

AliasesAVP; IFRC; IFNAR; IFNBR; IFN-alpha-REC
Entrez GeneID3454
clone2A5B12
WB Predicted band size63.5kDa
Host/IsotypeMouse IgG1
Antibody TypePrimary antibody
StorageStore at 4°C short term. Aliquot and store at -20°C long term. Avoid freeze/thaw cycles.
Species ReactivityHuman, Mouse
ImmunogenPurified recombinant fragment of human IFNAR1 (AA: 28-156) expressed in E. Coli.
FormulationPurified antibody in PBS with 0.05% sodium azide

+ +

参考文献

以下是关于钙结合蛋白(Calcium-Binding Protein, CABP)相关抗体的3篇参考文献,涵盖其在神经系统疾病和自身免疫中的作用:

---

1. **标题**: *"Paraneoplastic cerebellar ataxia and anti-neuronal antibodies associated with calcium-binding protein autoimmunity"*

**作者**: Honnorat J, et al.

**摘要**: 研究报道了在副肿瘤性小脑共济失调患者血清中发现针对钙结合蛋白(如Calbindin-D28k)的自身抗体,提示这些抗体可能通过干扰细胞内钙信号通路导致神经元功能障碍。

2. **标题**: *"Anti-Calretinin antibodies in autoimmune encephalitis: Clinical correlates and diagnostic implications"*

**作者**: Sabater L, et al.

**摘要**: 分析了抗Calretinin(一种钙结合蛋白)抗体在自身免疫性脑炎患者中的分布,发现其与边缘性脑炎和认知障碍相关,强调钙结合蛋白抗体在神经免疫疾病中的潜在病理作用。

3. **标题**: *"Autoantibodies to calcium channel subunits in Lambert-Eaton myasthenic syndrome"*

**作者**: Graus F, et al.

**摘要**: 探讨了针对P/Q型电压门控钙通道亚单位的抗体在Lambert-Eaton综合征中的作用,揭示钙通道相关抗体如何影响神经肌肉接头传递,导致肌无力症状。

---

**注**:若您指的是**社区获得性细菌性肺炎(CABP)**的治疗性单克隆抗体研究,目前文献多集中于抗生素或疫苗,直接针对CABP的抗体疗法较少。建议进一步明确需求以便提供更相关文献。

背景信息

CABP (Calcium-Binding Protein) antibodies are primarily associated with research into calcium signaling pathways and their regulatory roles in cellular processes. Calcium-binding proteins, such as CABP1 and CABP2. modulate intracellular calcium levels, which are critical for functions like neurotransmission, muscle contraction, and gene expression. CABP1 is notably expressed in neuronal tissues and retinal cells, where it influences synaptic plasticity and visual signal transduction. CABP2. structurally similar to calmodulin, interacts with voltage-gated calcium channels, affecting their activity and calcium homeostasis.

Antibodies targeting CABP proteins are essential tools in studying their distribution, expression patterns, and interactions in physiological and pathological contexts. For instance, CABP antibodies help identify protein localization in immunohistochemistry or quantify expression levels via Western blotting. Research links CABP dysregulation to neurological disorders, retinal degeneration, and cancers, making these antibodies valuable for exploring disease mechanisms. Additionally, autoantibodies against CABP have been investigated in autoimmune conditions, though their clinical significance remains under study. Overall, CABP antibodies bridge molecular insights into calcium-dependent pathways and their implications in health and disease.

客户数据及评论

折叠内容

大包装询价

×