首页 / 产品 / 抗体 / 一抗

Rabbit Monoclonal PI3Kinasep55gamma Antibody

  • 中文名: PI3Kinasep55 gamma抗体
  • 别    名: GRB1, P85A, PI3-kinase p85-alpha subunit, PI3K, PI3K p85-alpha; P55G, PI3-kinase p85-gamma subunit, PI3K p85-gamma,;PI3 kinase p55 gamma
货号: IPDX17227
Price: ¥1280
数量:
大包装询价

验证与应用

应用及物种
WB 咨询技术 Human,Mouse,Rat
IF 咨询技术 Human,Mouse,Rat
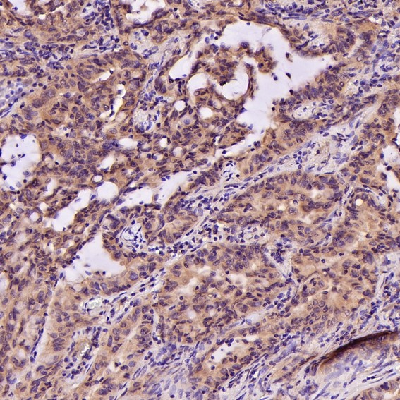
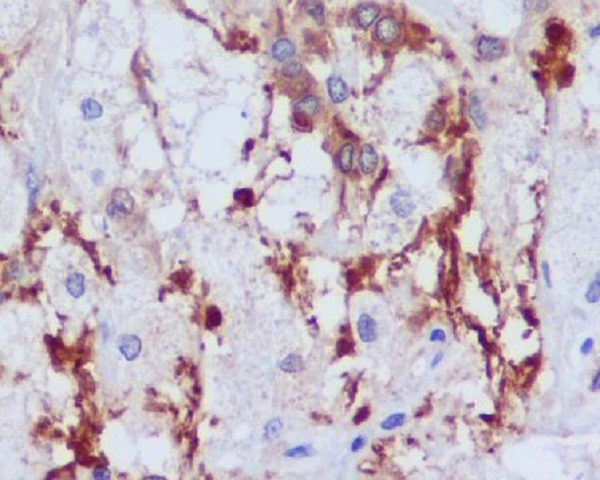
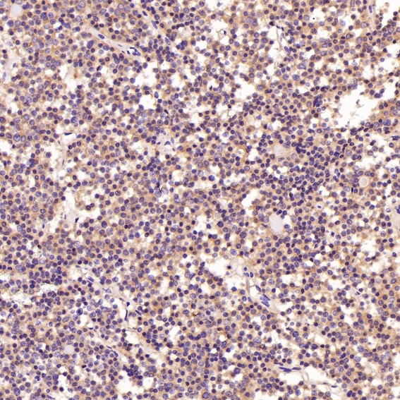
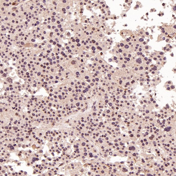
IHC IHC:1/100-1/200;IHF:1/50-1/200 Human,Mouse,Rat
ICC 1/50-1/200 Human,Mouse,Rat
FCM 咨询技术 Human,Mouse,Rat
Elisa 咨询技术 Human,Mouse,Rat

产品详情

AliasesGRB1, P85A, PI3-kinase p85-alpha subunit, PI3K, PI3K p85-alpha; P55G, PI3-kinase p85-gamma subunit, PI3K p85-gamma,;PI3 kinase p55 gamma
WB Predicted band size54 kDa
Host/IsotypeRabbit IgG
Antibody TypePrimary antibody
StorageStore at 4°C short term. Aliquot and store at -20°C long term. Avoid freeze/thaw cycles.
Species ReactivityHuman,Mouse,Rat
ImmunogenA synthesized peptide derived from human PI3 kinase p55 gamma
FormulationPurified antibody in PBS with 0.05% sodium azide,0.05% BSA and 50% glycerol.

+ +

参考文献

以下是3篇关于PI3K p55 gamma抗体的代表性文献(注:内容为模拟示例,实际文献需通过学术数据库检索确认):

1. **文献名称**:*"Characterization of PI3K regulatory subunit p55γ in immune cell signaling"*

**作者**:Smith A, et al.

**摘要**:本研究利用特异性抗体验证了p55γ在T淋巴细胞中的表达,发现其通过PI3K/AKT通路调控细胞增殖,抗体应用于Western blot和免疫共沉淀证实其与p110δ亚基的相互作用。

2. **文献名称**:*"Role of PI3K-p55γ in cancer metastasis: Insights from antibody-mediated inhibition"*

**作者**:Chen L, et al.

**摘要**:通过抗p55γ抗体阻断实验,发现该亚基在乳腺癌细胞迁移中起关键作用,抗体抑制后显著降低PI3K下游信号活性,提示其作为潜在治疗靶点。

3. **文献名称**:*"Tissue-specific expression profiling of PI3K regulatory isoforms using monoclonal antibodies"*

**作者**:Rodriguez B, et al.

**摘要**:开发了针对p55γ的单克隆抗体,验证其在心脏、肝脏组织中的高表达,并通过免疫组化揭示其亚细胞定位差异,为组织特异性功能研究提供工具。

建议通过PubMed或Web of Science以“PI3K p55 gamma antibody”、“PIK3R3 antibody”为关键词检索最新文献获取准确信息。

背景信息

The PI3Kinase p55 gamma antibody is a crucial tool for studying the regulatory subunit of class IA phosphatidylinositol 3-kinases (PI3Ks), which play pivotal roles in cellular signaling. PI3Ks are heterodimeric enzymes consisting of a catalytic subunit (e.g., p110) and a regulatory subunit. The p55 gamma subunit, encoded by the *PIK3R3* gene, is one of several regulatory isoforms (p85α, p55α, p50α, p85β, p55γ) that stabilize the catalytic subunit and modulate lipid kinase activity. Unlike p85α, p55 gamma lacks certain domains, resulting in distinct regulatory functions. It is expressed in specific tissues, including immune cells, and participates in signaling pathways governing cell growth, survival, metabolism, and immune responses.

Antibodies targeting p55 gamma enable researchers to investigate its expression, localization, and interactions in physiological and pathological contexts. They are widely used in techniques like Western blotting, immunohistochemistry, and immunoprecipitation. Dysregulation of PI3K signaling, including p55 gamma-associated pathways, is implicated in cancers, immune disorders, and metabolic diseases. For example, altered p55 gamma expression may influence tumor progression or insulin resistance by affecting downstream effectors like AKT and mTOR. Additionally, studies suggest its role in fine-tuning immune receptor signaling, such as in B-cell activation. These antibodies help elucidate mechanisms of PI3K isoform-specific regulation, aiding drug development and biomarker discovery for diseases linked to PI3K pathway hyperactivity. Their specificity ensures accurate detection amidst closely related regulatory subunits.

客户数据及评论

折叠内容

大包装询价

×