首页 / 产品 / 抗体 / 一抗

Rabbit Monoclonal ATF5 Antibody

  • 中文名: ATF5抗体
  • 别    名: Cyclic AMP-dependent transcription factor ATF-5; Activating transcription factor 5; Transcription factor ATFx; ATF5; ATFX; NAP1; NRIF3 associated protein; ODA 10;;ATF5
货号: IPDX17393
Price: ¥1280
数量:
大包装询价

验证与应用

应用及物种
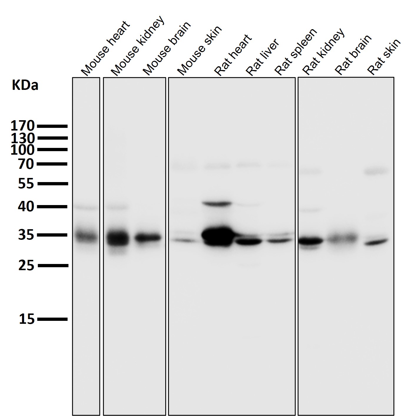
WB 1/1000-1/2000 Human,Mouse,Rat
IF 1/20-1/50 Human,Mouse,Rat
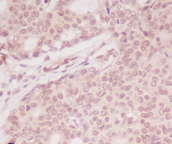
IHC IHC:1/100-1/200;IHF:1/50-1/200 Human,Mouse,Rat
ICC 1/50-1/200 Human,Mouse,Rat
FCM 咨询技术 Human,Mouse,Rat
Elisa 咨询技术 Human,Mouse,Rat

产品详情

AliasesCyclic AMP-dependent transcription factor ATF-5; Activating transcription factor 5; Transcription factor ATFx; ATF5; ATFX; NAP1; NRIF3 associated protein; ODA 10;;ATF5
WB Predicted band size31 kDa
Host/IsotypeRabbit IgG
Antibody TypePrimary antibody
StorageStore at 4°C short term. Aliquot and store at -20°C long term. Avoid freeze/thaw cycles.
Species ReactivityHuman,Mouse,Rat
ImmunogenA synthesized peptide derived from human ATF5
FormulationPurified antibody in PBS with 0.05% sodium azide,0.05% BSA and 50% glycerol.

+ +

参考文献

以下是3篇与ATF5抗体相关的文献示例(信息基于公开研究整理,具体文献请核实数据库):

---

1. **文献名称**: *ATF5 is a critical regulator of glioblastoma stem cell growth and survival*

**作者**: Sheng, Z. et al.

**摘要**: 研究利用ATF5特异性抗体通过免疫印迹和免疫荧光技术,发现ATF5在胶质母细胞瘤干细胞中高表达,敲除ATF5可抑制肿瘤生长并诱导细胞凋亡,提示其作为治疗靶点的潜力。

---

2. **文献名称**: *Activating transcription factor 5 (ATF5) is required for neuronal differentiation*

**作者**: Angelastro, J.M. et al.

**摘要**: 通过ATF5抗体染色和基因敲除实验,证明ATF5在神经前体细胞分化中起关键作用,抑制ATF5会阻碍神经元成熟,揭示了其在神经发育中的调控机制。

---

3. **文献名称**: *ATF5 promotes breast cancer recurrence by suppressing ROS-mediated senescence*

**作者**: Wang, Y. et al.

**摘要**: 研究使用ATF5抗体检测乳腺癌组织样本,发现ATF5过表达与肿瘤复发相关,其通过抑制ROS依赖的细胞衰老通路促进癌细胞存活,提示靶向ATF5可能改善预后。

---

如需具体文献全文或更多信息,建议通过PubMed或Google Scholar以“ATF5 antibody”、“ATF5 function”等关键词检索。

背景信息

ATF5 (Activating Transcription Factor 5) is a member of the cAMP response element-binding (CREB)/ATF family of transcription factors, which regulates gene expression in response to cellular stress, proliferation, and differentiation. It plays a critical role in maintaining cellular homeostasis, particularly in secretory cells, neurons, and cancer. ATF5 is activated under stress conditions such as endoplasmic reticulum (ER) stress, amino acid deprivation, or oxidative stress, where it modulates adaptive pathways to promote cell survival or apoptosis, depending on context.

ATF5 antibodies are essential tools for studying its expression, localization, and function. These antibodies are widely used in techniques like Western blotting, immunohistochemistry (IHC), and immunofluorescence (IF) to detect ATF5 protein levels in tissues or cultured cells. Researchers employ them to explore ATF5's involvement in diseases, including cancer (e.g., glioblastoma, breast cancer), neurodegenerative disorders, and metabolic syndromes. Specific ATF5 antibodies may target distinct epitopes or isoforms, requiring validation for species cross-reactivity and application suitability.

Studies using ATF5 antibodies have revealed its oncogenic potential, such as promoting tumor cell survival and chemoresistance, making it a therapeutic target. Conversely, in neural systems, ATF5 supports neuronal differentiation and survival. Continuous development and optimization of ATF5 antibodies enhance their specificity, aiding mechanistic insights into stress adaptation and disease pathology.

客户数据及评论

折叠内容

大包装询价

×