| WB | 咨询技术 | Human,Mouse,Rat |
| IF | 咨询技术 | Human,Mouse,Rat |
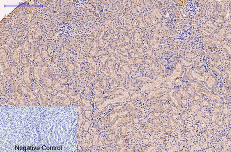
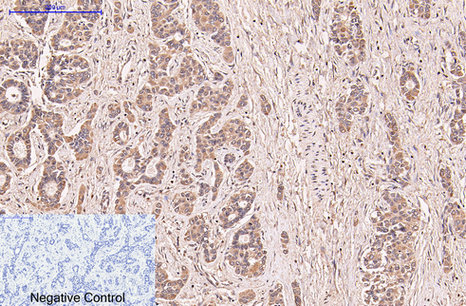
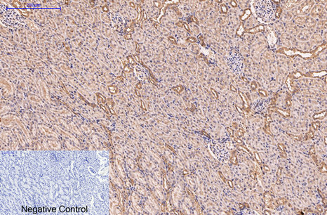
| IHC | 1/50-1/100 | Human,Mouse,Rat |
| ICC | 技术咨询 | Human,Mouse,Rat |
| FCM | 咨询技术 | Human,Mouse,Rat |
| Elisa | 咨询技术 | Human,Mouse,Rat |
| Aliases | CD5; LEU1; T-cell surface glycoprotein CD5; Lymphocyte antigen T1/Leu-1; CD antigen CD5 |
| Entrez GeneID | 921 |
| clone | 5H8 |
| Host/Isotype | Mouse IgG1 |
| Antibody Type | Primary antibody |
| Storage | Store at 4°C short term. Aliquot and store at -20°C long term. Avoid freeze/thaw cycles. |
| Species Reactivity | Human,Mouse,Rat |
| Immunogen | Synthetic peptide conjugated to KLH. |
| Formulation | Purified antibody in PBS with 0.05% sodium azide,0.5%BSA and 50% glycerol. |
+ +
以下是关于CD5抗体的3篇代表性文献及其摘要内容的简要列举:
---
1. **文献名称**: *"CD5 as a target for immune-based therapies"*
**作者**: Bamberger, A., et al.
**摘要**: 探讨CD5在T细胞和B细胞表面的表达及其作为免疫治疗靶点的潜力,分析抗CD5单克隆抗体在抑制自身免疫反应和增强抗肿瘤免疫中的作用机制。
2. **文献名称**: *"Anti-CD5 antibodies enhance the antitumor activity of T cells"*
**作者**: Perez-Villar, J.J., et al.
**摘要**: 研究抗CD5抗体通过调节T细胞受体信号通路增强T细胞对肿瘤细胞的杀伤能力,提出其在癌症免疫治疗中的潜在应用价值。
3. **文献名称**: *"CD5-positive B cell malignancies: Diagnostic and therapeutic implications"*
**作者**: Matutes, E., et al.
**摘要**: 分析CD5在慢性淋巴细胞白血病(CLL)等B细胞恶性肿瘤中的表达特征,强调抗CD5抗体在疾病诊断分型和靶向治疗中的临床意义。
---
以上文献涵盖了CD5抗体的治疗应用、机制研究及临床诊断方向,具体全文可通过PubMed或相关学术数据库检索获取。
CD5 antibodies target CD5. a transmembrane glycoprotein expressed on T cells and a subset of B cells (B-1 cells). Discovered in the 1980s, CD5 plays roles in modulating T-cell receptor (TCR) and B-cell receptor (BCR) signaling, acting as a co-inhibitory or co-stimulatory molecule depending on context. It is implicated in immune regulation, autoimmunity, and cancer. In diagnostics, CD5 antibodies are used to identify T-cell leukemias and certain lymphomas (e.g., mantle cell lymphoma, chronic lymphocytic leukemia) via flow cytometry or immunohistochemistry.
Therapeutically, anti-CD5 antibodies have been explored for immune modulation. Early efforts focused on depleting pathogenic T cells in autoimmune diseases (e.g., rheumatoid arthritis) or graft-versus-host disease (GVHD). However, challenges like transient efficacy and immunosuppressive risks limited clinical adoption. Recent strategies leverage antibody-drug conjugates (ADCs) or bispecific antibodies to target CD5-expressing malignancies. For example, CD5-directed CAR-T cells and anti-CD5 ADCs show promise in preclinical models of T-cell malignancies.
Research also highlights CD5's role in tumor microenvironments, where it may suppress anti-tumor immunity. Current studies aim to balance CD5-targeted depletion with preserving regulatory functions. Despite mixed historical outcomes, CD5 remains a compelling target due to its lineage-restricted expression and involvement in immune signaling pathways.
×