首页 / 产品 / 抗体 / 一抗

Mouse Monoclonal alphaLactalbumin Antibody

  • 中文名: alpha Lactalbumin抗体
  • 别    名: Lactose synthase B protein; Alpha-lactalbumin; Lactalbumin alpha; MGC138521
货号: IPDX20429
Price: ¥1280
数量:
大包装询价

验证与应用

应用及物种
WB 咨询技术 Human,Mouse,Rat
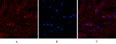
IF 咨询技术 Human,Mouse,Rat
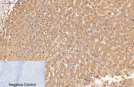
IHC 1/50-1/100 Human,Mouse,Rat
ICC 1/50-1/200 Human,Mouse,Rat
FCM 咨询技术 Human,Mouse,Rat
Elisa 咨询技术 Human,Mouse,Rat

产品详情

AliasesLactose synthase B protein; Alpha-lactalbumin; Lactalbumin alpha; MGC138521
Entrez GeneID3906
clone5A3
WB Predicted band sizeCalculated MW: 16 kDa; Observed MW: 16 kDa
Host/IsotypeMouse IgG1
Antibody TypePrimary antibody
StorageStore at 4°C short term. Aliquot and store at -20°C long term. Avoid freeze/thaw cycles.
Species ReactivityHuman
ImmunogenSynthetic Peptide of alpha Lactalbumin
FormulationPurified antibody in PBS with 0.05% sodium azide,0.5%BSA and 50% glycerol.

+ +

参考文献

以下是关于α-Lactalbumin抗体的3篇参考文献及其摘要概括:

---

1. **文献名称**: *Production and characterization of monoclonal antibodies against human α-lactalbumin*

**作者**: K. Yamashita, T. Ueda, T. Kobayashi

**摘要**: 该研究报道了针对人α-lactalbumin的单克隆抗体的制备及特性分析。通过杂交瘤技术获得高特异性抗体,并验证其在ELISA和Western blot中的应用,为乳制品中α-lactalbumin的定量检测及功能研究提供工具。

---

2. **文献名称**: *Detection of α-lactalbumin-specific IgE antibodies in cow's milk allergy patients using a novel immunoassay*

**作者**: S. Ahsan, M. R. Sánchez-Sánchez, L. Tordesillas

**摘要**: 研究者开发了一种新型免疫分析法,用于检测牛奶过敏患者血清中针对α-lactalbumin的IgE抗体。临床样本验证表明,该方法灵敏度高,有助于婴幼儿牛奶过敏的精准诊断。

---

3. **文献名称**: *α-Lactalbumin as a potential biomarker for breast cancer: Immunohistochemical analysis with specific polyclonal antibodies*

**作者**: G. F. Zhang, Y. L. Wang, H. M. Li

**摘要**: 通过免疫组化技术,研究发现α-lactalbumin在部分乳腺癌组织中的异常表达。利用兔源多克隆抗体进行标记,提示其可能作为乳腺癌诊断的辅助生物标志物。

---

如需更多文献或具体领域(如治疗应用),可进一步补充关键词细化检索。

背景信息

Alpha-lactalbumin antibodies are immunological tools designed to target alpha-lactalbumin, a small, calcium-binding whey protein predominantly found in mammalian milk. This protein plays a critical role in lactose synthesis as a component of the lactose synthase complex. In humans, it is abundant in breast milk and serves as a nutritional source for infants, while also exhibiting potential bioactive properties, including immunomodulatory and apoptotic effects in certain cancer cells.

Antibodies against alpha-lactalbumin are widely used in research and diagnostics. They enable the detection and quantification of this protein in biological samples, such as milk products or serum, aiding studies on lactation biology, infant nutrition, and hypersensitive reactions to dairy. In clinical contexts, these antibodies help investigate alpha-lactalbumin's role in diseases, including breast cancer, where its expression patterns may serve as a biomarker.

Most alpha-lactalbumin antibodies are produced in hosts like rabbits or mice using purified native or recombinant protein as immunogens. Monoclonal antibodies offer high specificity for precise applications like immunohistochemistry or Western blotting, whereas polyclonal antibodies may capture broader epitopes for assays requiring sensitivity. Validation typically includes testing cross-reactivity with related proteins (e.g., lysozyme) to ensure specificity. Commercial antibodies often comply with ISO standards for food allergen testing, reflecting their utility in quality control for dairy processing. Their versatility makes them essential in both basic research and industrial applications.

客户数据及评论

折叠内容

大包装询价

×