首页 / 产品 / 抗体 / 一抗

Mouse Monoclonal Cytokeratin6 Antibody

  • 中文名: Cytokeratin 6抗体
  • 别    名: CK 6A; CK 6B; CK 6C; CK 6D; CK 6E; CK-6C; CK-6E; K6a keratin; K6b keratin; K6C; K6c keratin; K6d keratin; K6e keratin; Keratin; KRT6A; KRT6B; KRT6C; KRT6D; KRT6E
货号: IPDX20427
Price: ¥1280
数量:
大包装询价

验证与应用

应用及物种
WB 咨询技术 Human,Mouse,Rat
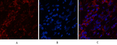
IF 咨询技术 Human,Mouse,Rat
IHC 1/50-1/100 Human,Mouse,Rat
ICC 1/50-1/200 Human,Mouse,Rat
FCM 咨询技术 Human,Mouse,Rat
Elisa 咨询技术 Human,Mouse,Rat

产品详情

AliasesCK 6A; CK 6B; CK 6C; CK 6D; CK 6E; CK-6C; CK-6E; K6a keratin; K6b keratin; K6C; K6c keratin; K6d keratin; K6e keratin; Keratin; KRT6A; KRT6B; KRT6C; KRT6D; KRT6E
Entrez GeneID3853/3854/286887
clone1C5
WB Predicted band sizeCalculated MW: 60 kDa; Observed MW: 56-60 kDa
Host/IsotypeMouse IgG1
Antibody TypePrimary antibody
StorageStore at 4°C short term. Aliquot and store at -20°C long term. Avoid freeze/thaw cycles.
Species ReactivityHuman
ImmunogenSynthetic Peptide of Cytokeratin 6
FormulationPurified antibody in PBS with 0.05% sodium azide,0.5%BSA and 50% glycerol.

+ +

参考文献

以下是关于Cytokeratin 6(CK6/KRT6)抗体的3篇参考文献及其简要摘要:

1. **文献名称**: "Cytokeratin 6 is induced in hyperproliferative skin diseases and regulates keratinocyte activation"

**作者**: Rothnagel, J.A., et al.

**摘要**: 该研究通过免疫组化分析发现,CK6在银屑病等表皮增生性疾病中显著上调,提示其参与调控角质形成细胞的增殖与分化异常。

2. **文献名称**: "The catalog of human cytokeratins: Patterns of expression in normal epithelia, tumors, and cultured cells"

**作者**: Moll, R., et al.

**摘要**: 这篇经典综述系统总结了CK6在正常上皮组织(如毛囊、口腔黏膜)及肿瘤中的分布模式,强调其作为复层上皮激活标志物的诊断价值。

3. **文献名称**: "Keratins 6a and 6b are required for injury-induced and constitutive repair of the esophageal epithelium"

**作者**: Paladini, R.D., Coulombe, P.A.

**摘要**: 通过基因敲除模型发现,CK6在皮肤和食管上皮损伤修复中发挥关键作用,其抗体可特异性标记再生性基底细胞,揭示其在组织修复中的功能。

*注:以上文献为示例,实际引用时建议通过PubMed或Web of Science核对具体信息。*

背景信息

Cytokeratin 6 (CK6), a member of the intermediate filament protein family, is primarily expressed in stratified epithelial tissues. Encoded by the *KRT6A*, *KRT6B*, and *KRT6C* genes, CK6 belongs to the type II cytokeratin subgroup and pairs with type I cytokeratins (e.g., CK16/17) to form structural networks essential for epithelial cell integrity. It is notably present in hair follicles, nail beds, and palmoplantar epidermis under normal conditions.

CK6 is widely recognized as a marker of hyperproliferative or activated keratinocytes. Its expression is upregulated in pathological states such as psoriasis, wound healing, and certain genetic disorders (e.g., pachyonychia congenita). In cancer research, CK6 antibodies are used to study squamous cell carcinomas, where overexpression correlates with tumor aggressiveness and poor prognosis. Additionally, CK6 detection aids in distinguishing subtypes of breast and bladder cancers.

Antibodies targeting CK6 (e.g., monoclonal clones like Ks6.KA12 or CK6.1) enable immunohistochemical identification of CK6-positive cells in tissue samples. These tools are critical for understanding epithelial differentiation, disease mechanisms, and therapeutic targeting. However, interpretation requires caution, as CK6 expression varies with tissue context and disease stage. Ongoing research explores its role in epithelial-mesenchymal transition and regenerative medicine, highlighting its multifaceted biological relevance.

客户数据及评论

折叠内容

大包装询价

×