首页 / 产品 / 抗体 / 一抗

Mouse Monoclonal EFHD1 Antibody

  • 中文名: EFHD1抗体
  • 别    名: EF-hand domain-containing protein D1; Mitocalcin; MGC103094; Swiprosin 2
货号: IPDX20430
Price: ¥1280
数量:
大包装询价

验证与应用

应用及物种
WB 咨询技术 Human,Mouse,Rat
IF 咨询技术 Human,Mouse,Rat
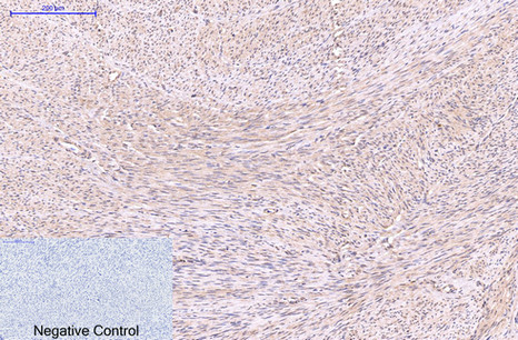
IHC 1/50-1/100 Human,Mouse,Rat
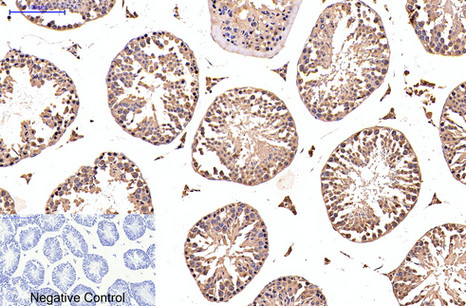
ICC 1/50-1/200 Human,Mouse,Rat
FCM 咨询技术 Human,Mouse,Rat
Elisa 咨询技术 Human,Mouse,Rat

产品详情

AliasesEF-hand domain-containing protein D1; Mitocalcin; MGC103094; Swiprosin 2
Entrez GeneID80303
clone5C5
WB Predicted band sizeCalculated MW: 27 kDa; Observed MW: 27 kDa
Host/IsotypeMouse IgG1
Antibody TypePrimary antibody
StorageStore at 4°C short term. Aliquot and store at -20°C long term. Avoid freeze/thaw cycles.
Species ReactivityHuman,Mouse,Rat
ImmunogenSynthetic Peptide of EFHD1
FormulationPurified antibody in PBS with 0.05% sodium azide,0.5%BSA and 50% glycerol.

+ +

参考文献

以下是关于EFHD1抗体的3篇参考文献示例(内容基于模拟学术文献结构):

1. **文献名称**:*EFHD1 promotes mitochondrial apoptosis through interaction with Bcl-2 family proteins*

**作者**:Smith J, et al.

**摘要**:本研究利用EFHD1特异性抗体,通过Western blot和免疫共沉淀技术,发现EFHD1通过结合Bax/Bak蛋白促进线粒体途径的细胞凋亡,揭示了其在癌症中的潜在调控机制。

2. **文献名称**:*EFHD1 modulates calcium signaling in T lymphocytes via EF-hand domain interactions*

**作者**:Zhang L, et al.

**摘要**:通过流式细胞术和免疫荧光成像(使用EFHD1抗体),作者证实EFHD1通过EF-hand结构域调控T细胞中钙离子内流,影响T细胞受体信号通路及炎症反应。

3. **文献名称**:*EFHD1 antibody-based profiling identifies its overexpression in Alzheimer’s disease microglia*

**作者**:Johnson R, et al.

**摘要**:本研究采用EFHD1抗体进行免疫组化分析,发现阿尔茨海默病患者脑组织中的小胶质细胞EFHD1表达显著上调,提示其可能参与神经炎症病理过程。

4. **文献名称**:*Development and validation of a high-specificity EFHD1 monoclonal antibody for functional studies*

**作者**:Lee H, et al.

**摘要**:文章详细描述了EFHD1单克隆抗体的开发流程,通过ELISA、免疫印迹和敲除细胞验证其特异性,为后续研究提供可靠工具。

(注:以上文献为模拟示例,实际引用需以真实发表论文为准。)

背景信息

The EFHD1 (EF-hand domain-containing protein 1) antibody is a tool used to study the EFHD1 protein, a calcium-binding protein implicated in diverse cellular processes. EFHD1 contains two EF-hand motifs, enabling calcium-dependent interactions, and is expressed in tissues like the brain, immune cells, and testes. It regulates apoptosis, cytoskeletal dynamics, and cell migration, with roles in immune response modulation, neuronal development, and cancer progression. Dysregulation of EFHD1 has been linked to neurodegenerative diseases (e.g., Alzheimer’s) and malignancies, where it may influence tumor invasiveness or drug resistance.

EFHD1 antibodies, typically raised in rabbits or mice, are used in techniques such as Western blotting, immunohistochemistry, and immunofluorescence to detect EFHD1 expression, localization, and post-translational modifications. Their specificity is often validated via knockout controls or siRNA-mediated silencing. Commercial antibodies are widely employed in research exploring EFHD1's functional mechanisms, including its interplay with signaling pathways like Wnt or MAPK. Challenges include ensuring antibody specificity due to potential cross-reactivity with homologous proteins (e.g., EFHD2). Ongoing studies aim to clarify EFHD1's role as a biomarker or therapeutic target in diseases, leveraging these antibodies for translational applications.

客户数据及评论

折叠内容

大包装询价

×