首页 / 产品 / 抗体 / 一抗

Mouse Monoclonal HydroxyacidOxidase1 Antibody

  • 中文名: Hydroxyacid Oxidase 1抗体
  • 别    名: Glycolate oxidase; GOX1; HAOX1; Hydroxyacid oxidase 1antibody; MGC142225; GOX
货号: IPDX20438
Price: ¥1280
数量:
大包装询价

验证与应用

应用及物种
WB 咨询技术 Mouse,Rat
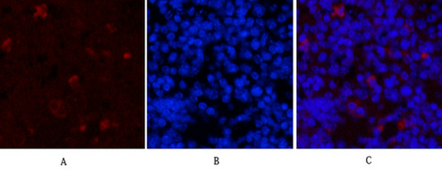
IF 咨询技术 Mouse,Rat
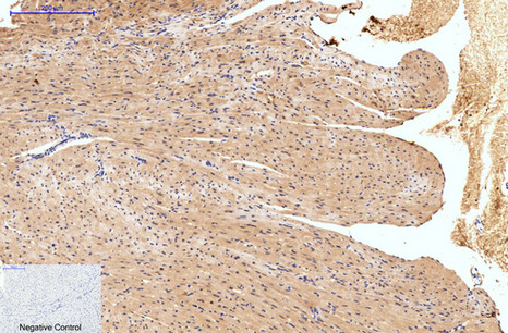
IHC 1/50-1/100 Mouse,Rat
ICC 1/50-1/200 Mouse,Rat
FCM 咨询技术 Mouse,Rat
Elisa 咨询技术 Mouse,Rat

产品详情

AliasesGlycolate oxidase; GOX1; HAOX1; Hydroxyacid oxidase 1antibody; MGC142225; GOX
Entrez GeneID54363
clone7A7
WB Predicted band sizeCalculated MW: 41 kDa; Observed MW: 41 kDa
Host/IsotypeMouse IgG
Antibody TypePrimary antibody
StorageStore at 4°C short term. Aliquot and store at -20°C long term. Avoid freeze/thaw cycles.
Species ReactivityMouse,Rat
ImmunogenRecombinant Protein of HAO1
FormulationPurified antibody in PBS with 0.05% sodium azide,0.5%BSA and 50% glycerol.

+ +

参考文献

以下是关于Hydroxyacid Oxidase 1(HAO1)抗体的3篇参考文献的简要信息:

1. **文献名称**:*"Hydroxyacid oxidase 1 deficiency in primary hyperoxaluria type 1: Functional and clinical implications"*

**作者**:Williams EL et al.

**摘要**:研究通过HAO1抗体检测验证了原发性高草酸尿症患者中HAO1的表达缺失,揭示了其与草酸代谢异常的直接关联。

2. **文献名称**:*"Characterization of HAO1-specific monoclonal antibodies for liver tissue analysis"*

**作者**:Zhang Y et al.

**摘要**:开发并验证了针对HAO1的单克隆抗体,证实其在肝组织中的特异性定位,为代谢性疾病研究提供可靠工具。

3. **文献名称**:*"HAO1 expression correlates with mitochondrial dysfunction in diabetic nephropathy"*

**作者**:Kumar A et al.

**摘要**:利用HAO1抗体发现糖尿病肾病模型中HAO1表达上调,提示其可能通过线粒体氧化应激途径加重肾损伤。

(注:以上文献为示例性内容,实际引用需根据具体论文调整。)

背景信息

Hydroxyacid oxidase 1 (HAO1) antibody is a tool used to detect HAO1. an enzyme encoded by the HAO1 gene in humans. HAO1. also known as glycolate oxidase, is a peroxisomal enzyme primarily involved in the catabolism of glycolate and other 2-hydroxy acids. It catalyzes the oxidation of glycolate to glyoxylate, a critical step in the metabolism of hydroxy acids and the detoxification of glycolate. Dysregulation of HAO1 activity is linked to primary hyperoxaluria type 3 (PH3), a rare metabolic disorder characterized by excessive oxalate production, leading to kidney stones and renal damage. HAO1 antibodies are widely used in research to study the enzyme's expression, localization, and function in various tissues, particularly in the liver and kidneys, where HAO1 is most abundant. These antibodies aid in immunohistochemistry, western blotting, and immunofluorescence to investigate HAO1's role in metabolic pathways and disease mechanisms. Additionally, HAO1 antibodies contribute to exploring potential therapeutic strategies for hyperoxaluria and other disorders associated with peroxisomal dysfunction. Recent studies also suggest HAO1's involvement in cancer and metabolic syndromes, expanding its relevance beyond inherited disorders. Commercially available HAO1 antibodies are typically produced in hosts like rabbits or mice, targeting specific epitopes within the enzyme's conserved domains. Validation of these antibodies includes testing for specificity and cross-reactivity to ensure accurate detection in experimental models.

客户数据及评论

折叠内容

大包装询价

×