首页 / 产品 / 抗体 / 一抗

Mouse Monoclonal JAK2 Antibody

  • 中文名: JAK2抗体
  • 别    名: JAK2; Tyrosine-protein kinase JAK2; Janus kinase 2; JAK-2
货号: IPDX20502
Price: ¥1280
数量:
大包装询价

验证与应用

应用及物种
WB 咨询技术 Human,Mouse,Rat
IF 咨询技术 Human,Mouse,Rat
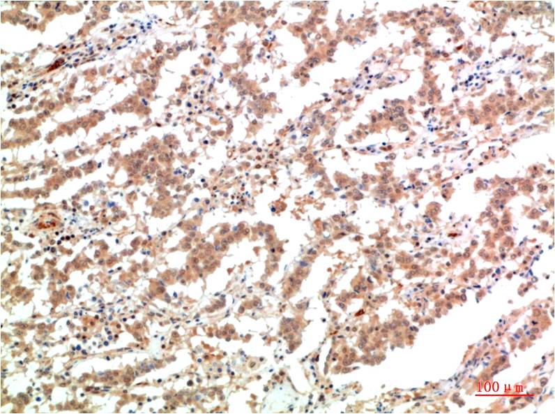
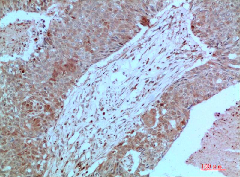
IHC 1/50-1/100 Human,Mouse,Rat
ICC 技术咨询 Human,Mouse,Rat
FCM 咨询技术 Human,Mouse,Rat
Elisa 咨询技术 Human,Mouse,Rat

产品详情

AliasesJAK2; Tyrosine-protein kinase JAK2; Janus kinase 2; JAK-2
Entrez GeneID3717
clone10A4
Host/IsotypeMouse IgG1
Antibody TypePrimary antibody
StorageStore at 4°C short term. Aliquot and store at -20°C long term. Avoid freeze/thaw cycles.
Species ReactivityHuman,Mouse,Rat
ImmunogenSynthetic peptide conjugated to KLH.
FormulationPurified antibody in PBS with 0.05% sodium azide,0.5%BSA and 50% glycerol.

+ +

参考文献

以下是关于JAK2抗体的3篇代表性文献的简要信息,供参考:

---

1. **文献名称**:*JAK2 V617F mutation-specific antibody: a novel diagnostic tool for myeloproliferative neoplasms*

**作者**:Tefferi A, Vardiman JW

**摘要**:该研究开发了一种特异性识别JAK2 V617F突变的抗体,用于骨髓增殖性肿瘤(MPN)的免疫组化检测。抗体在患者骨髓样本中表现出高敏感性和特异性,为临床诊断提供了高效工具。

---

2. **文献名称**:*Development and validation of a highly sensitive JAK2 exon 12 mutation detection assay using anti-JAK2 monoclonal antibodies*

**作者**:Pardanani A, Lasho TL, Finke C

**摘要**:研究团队利用抗JAK2单克隆抗体优化了突变检测方法,显著提高了JAK2外显子12突变在真性红细胞增多症患者中的检出率,强调了抗体在分子诊断中的关键作用。

---

3. **文献名称**:*Targeting JAK2 with monoclonal antibodies in myelofibrosis: preclinical insights*

**作者**:Mullally A, Lane SW

**摘要**:探索了抗JAK2单克隆抗体在骨髓纤维化治疗中的潜力。实验显示,该抗体可选择性抑制突变型JAK2信号通路,减少异常造血细胞增殖,为靶向治疗提供了新思路。

---

**备注**:若需具体文献,建议通过PubMed或Google Scholar以“JAK2 antibody”、“JAK2 diagnostic application”等关键词检索近年研究。部分经典研究可能更侧重于JAK2突变或抑制剂,但抗体相关应用多集中于诊断技术开发或靶向治疗领域。

背景信息

The Janus kinase 2 (JAK2) protein is a tyrosine kinase critical for signaling pathways involving cytokines and growth factors, particularly in hematopoiesis and immune responses. JAK2 antibodies are primarily used in research and diagnostics to detect JAK2 expression or mutations, most notably the JAK2 V617F mutation. This gain-of-function mutation, found in exon 14. leads to constitutive activation of JAK2 and is strongly associated with myeloproliferative neoplasms (MPNs) such as polycythemia vera, essential thrombocythemia, and primary myelofibrosis.

JAK2 antibodies are essential tools in immunohistochemistry (IHC), Western blotting, and ELISA to study JAK2 protein levels, phosphorylation status, or localization in cells and tissues. Clinically, they aid in diagnosing MPNs by identifying mutated JAK2 in patient samples. Additionally, JAK2-targeted therapies (e.g., ruxolitinib) have driven the development of antibodies to monitor therapeutic efficacy and resistance mechanisms.

Research using JAK2 antibodies has also expanded into autoimmune and inflammatory diseases, as aberrant JAK-STAT signaling is implicated in conditions like rheumatoid arthritis. These antibodies help unravel JAK2's role in disease pathogenesis and validate its potential as a therapeutic target. Overall, JAK2 antibodies bridge basic research, diagnostic precision, and drug development in hematologic and immune disorders.

客户数据及评论

折叠内容

大包装询价

×