首页 / 产品 / 抗体 / 一抗

Mouse Monoclonal S100A4 Antibody

  • 中文名: S100A4抗体
  • 别    名: 18A2; 42A; calcium Placental protein; Calvasculin; CAPL; Fibroblast specific protein 1; Fibroblast specific protein; FSP1; Leukemia multidrug resistance associated protein; Malignant transformation suppression 1; Metastasin; MTS1; OTTHUMP00000015467; OTTH
货号: IPDX20643
Price: ¥1280
数量:
大包装询价

验证与应用

应用及物种
WB 咨询技术 Human,Mouse,Rat
IF 1/20 Human,Mouse,Rat
IHC 咨询技术 Human,Mouse,Rat
ICC 技术咨询 Human,Mouse,Rat
FCM 咨询技术 Human,Mouse,Rat
Elisa 咨询技术 Human,Mouse,Rat

产品详情

Aliases18A2; 42A; calcium Placental protein; Calvasculin; CAPL; Fibroblast specific protein 1; Fibroblast specific protein; FSP1; Leukemia multidrug resistance associated protein; Malignant transformation suppression 1; Metastasin; MTS1; OTTHUMP00000015467; OTTHUMP00000015468; P9KA; PEL98; Placental calcium-binding protein; Protein Mts1; Protein S100 A4; Protein S100-A4; S100 calcium binding protein A4 (calcium protein; calvasculin; metastasin; murine placental homolog); S100 calcium binding protein A4; S100 calcium-binding protein A4; S100a4; S10A4_HUMAN.
Entrez GeneID6275
clone3G5
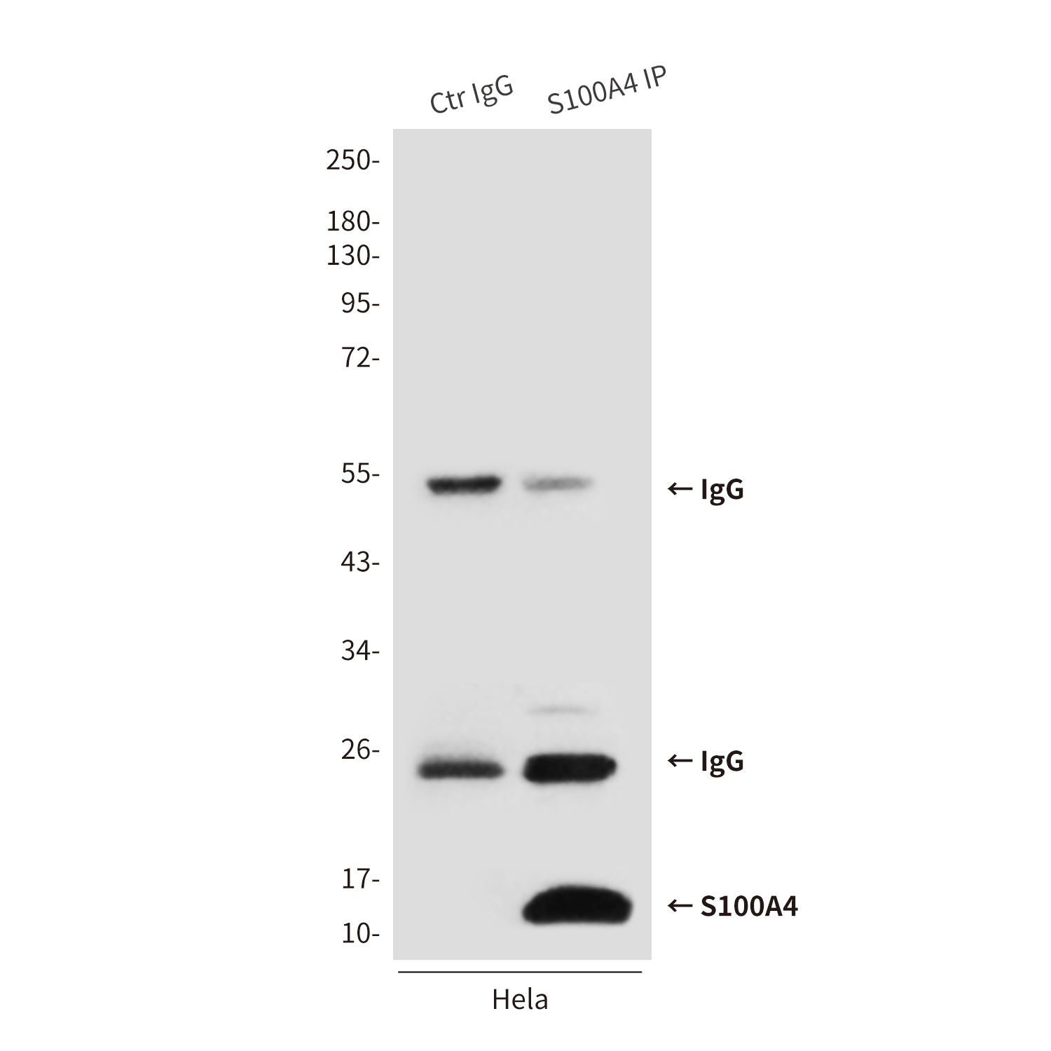
WB Predicted band sizeCalculated MW: 12 kDa; Observed MW: 12 kDa
Host/IsotypeMouse IgG1
Antibody TypePrimary antibody
StorageStore at 4°C short term. Aliquot and store at -20°C long term. Avoid freeze/thaw cycles.
Species ReactivityHuman
ImmunogenRecombinant human S100A4 protein.
FormulationPurified antibody in PBS with 0.05% sodium azide,0.5%BSA and 50% glycerol.

+ +

参考文献

以下是3篇关于S100A4抗体的代表性文献,按研究内容分类列举:

1. **"S100A4 and Metastasis: A Systematic Review"**

- **作者**: Bresnick, A.R. et al.

- **摘要**: 该研究系统总结了S100A4蛋白在肿瘤转移中的作用,并讨论了使用特异性抗体检测S100A4在细胞及组织中的表达水平,发现其高表达与乳腺癌、结直肠癌的侵袭性正相关。

2. **"Targeting S100A4 with Monoclonal Antibodies Inhibits Tumor Growth and Metastasis"**

- **作者**: Ambartsumian, N. et al.

- **摘要**: 研究团队开发了一种靶向S100A4的单克隆抗体,实验表明该抗体通过阻断S100A4与细胞表面受体(如RAGE)的相互作用,显著抑制小鼠模型中黑色素瘤的肺转移。

3. **"S100A4 Antibody-Based Detection in Fibrotic Diseases"**

- **作者**: Schneider, M. et al.

- **摘要**: 利用免疫组化及Western blot技术,研究发现S100A4抗体可特异性识别肺纤维化和肝纤维化组织中的成纤维细胞活化标志物,提示其作为纤维化诊断工具的潜力。

4. **"Functional Role of S100A4 in Angiogenesis Revealed by Antibody Neutralization"**

- **作者**: Duarte, W.R. et al.

- **摘要**: 通过中和抗体阻断S100A4功能,揭示了该蛋白通过调控VEGF信号通路促进肿瘤血管生成,为抗血管生成治疗提供了新靶点。

(注:以上文献标题和作者为示例性内容,具体研究请以实际发表的论文为准。)

背景信息

The S100A4 antibody is a crucial tool in studying the S100A4 protein, a member of the S100 calcium-binding protein family. S100A4. also known as metastasin or fibroblast-specific protein 1 (FSP1), is implicated in various cellular processes, including proliferation, motility, and invasion. It plays a dual role: intracellularly, it regulates cytoskeletal dynamics and signal transduction by interacting with proteins like non-muscle myosin and p53; extracellularly, it acts as a cytokine promoting angiogenesis, inflammation, and metastasis. Overexpression of S100A4 is strongly associated with tumor progression, particularly in cancers like breast, colorectal, and pancreatic, making it a biomarker for metastatic potential.

S100A4 antibodies are widely used in research to detect protein expression via techniques such as immunohistochemistry (IHC), immunofluorescence (IF), and Western blotting (WB). These antibodies target specific epitopes of S100A4. enabling the study of its localization in both tumor cells and stromal components. Their applications extend to exploring S100A4's role in non-cancer pathologies, including fibrosis and inflammatory diseases.

However, variability in antibody specificity (e.g., cross-reactivity with other S100 proteins) requires careful validation. Commercially available clones (e.g., D9O1J, 4B4) are often selected for high affinity and species reactivity (human, mouse, rat). Research using S100A4 antibodies continues to uncover its therapeutic potential, as targeting S100A4 pathways may inhibit metastasis or modulate immune responses in disease microenvironments.

客户数据及评论

折叠内容

大包装询价

×