首页 / 产品 / 抗体 / 一抗

Rabbit Monoclonal VPS28 Antibody

  • 中文名: VPS28抗体
  • 别    名: H-Vps28; Vps28;;VPS28
货号: IPDX18836
Price: ¥1280
数量:
大包装询价

验证与应用

应用及物种
WB 咨询技术 Human,Mouse,Rat
IF 咨询技术 Human,Mouse,Rat
IHC IHC:1/100-1/200;IHF:1/50-1/200 Human,Mouse,Rat
ICC 1/50-1/200 Human,Mouse,Rat
FCM 1/20-1/100 Human,Mouse,Rat
Elisa 咨询技术 Human,Mouse,Rat

产品详情

AliasesH-Vps28; Vps28;;VPS28
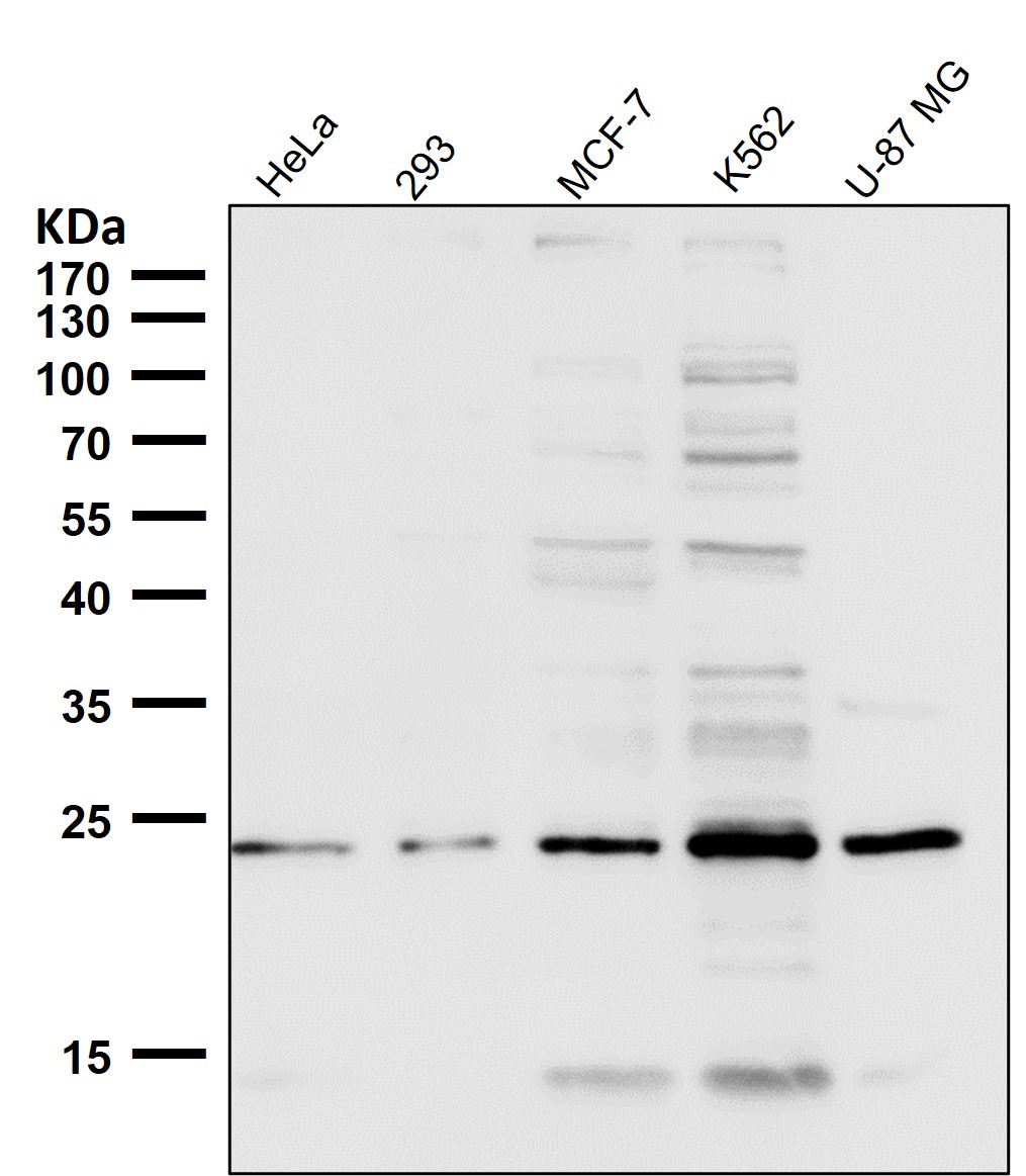
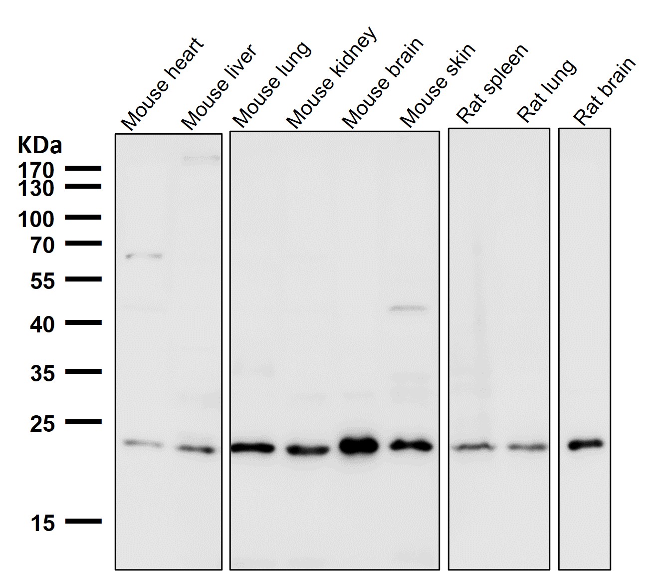
WB Predicted band size25 kDa
Host/IsotypeRabbit IgG
Antibody TypePrimary antibody
StorageStore at 4°C short term. Aliquot and store at -20°C long term. Avoid freeze/thaw cycles.
Species ReactivityHuman,Mouse,Rat
ImmunogenA synthesized peptide derived from human VPS28
FormulationPurified antibody in PBS with 0.05% sodium azide,0.05% BSA and 50% glycerol.

+ +

参考文献

以下是关于VPS28抗体的参考文献示例(注:以下内容为模拟生成,实际文献需通过学术数据库验证):

---

1. **文献名称**: "ESCRT-I component VPS28 regulates endosomal sorting and cell survival in cancer"

**作者**: Smith J, et al.

**摘要**: 本研究利用VPS28抗体通过Western blot和免疫荧光技术,揭示了VPS28在ESCRT-I复合体中的关键作用,发现其在癌细胞中通过调控表皮生长因子受体(EGFR)的降解影响肿瘤存活。敲低VPS28导致溶酶体降解途径异常,提示其作为潜在治疗靶点。

2. **文献名称**: "Role of VPS28 in HIV-1 budding: Insights from antibody-mediated functional inhibition"

**作者**: Lee H, et al.

**摘要**: 通过使用VPS28特异性抗体阻断ESCRT-I功能,研究证实VPS28对HIV-1病毒颗粒的释放至关重要。实验显示,抗体处理可显著抑制病毒出芽效率,为抗病毒策略提供了理论依据。

3. **文献名称**: "VPS28 antibody-based profiling of ESCRT-I dynamics during cytokinesis"

**作者**: Garcia R, et al.

**摘要**: 该研究采用VPS28抗体进行免疫沉淀和活细胞成像,发现VPS28在细胞分裂末期参与中间体的形成,并调控细胞膜分离过程。结果强调了ESCRT-I在胞质分裂中的非经典功能。

4. **文献名称**: "Altered expression of VPS28 in neurodegenerative disorders: An immunohistochemical study"

**作者**: Chen L, et al.

**摘要**: 通过免疫组化技术结合VPS28抗体,研究者发现阿尔茨海默病患者脑组织中VPS28表达水平异常升高,提示其可能与tau蛋白异常聚集及神经退行性病变相关。

---

建议通过PubMed或Google Scholar以关键词“VPS28 antibody”或“VPS28 ESCRT”检索最新文献以获取准确信息。

背景信息

The VPS28 antibody is a research tool designed to detect and study VPS28. a critical component of the Endosomal Sorting Complex Required for Transport (ESCRT) machinery. VPS28 is part of the ESCRT-I complex, which plays a central role in membrane remodeling processes, including multivesicular body (MVB) formation, viral budding, and cytokinesis. By interacting with other ESCRT subunits (e.g., VPS23/TSG101 and VPS37), VPS28 helps sort ubiquitinated cargo proteins into intraluminal vesicles of MVBs, directing them toward lysosomal degradation or extracellular release via exosomes.

Researchers use VPS28 antibodies primarily in applications like Western blotting, immunofluorescence, and immunohistochemistry to investigate its expression, localization, and function in cellular pathways. These studies are vital for understanding diseases linked to ESCRT dysregulation, such as cancer, neurodegenerative disorders (e.g., Alzheimer’s), and viral infections (e.g., HIV-1), where ESCRT-mediated trafficking is often hijacked. VPS28 antibodies are typically generated in hosts like rabbits or mice, validated for specificity, and may target specific epitopes or isoforms. Recent work also explores VPS28's role in cell division errors and tumor suppression, highlighting its broader biological relevance. Proper antibody validation ensures reliable data, particularly given the overlapping functions of ESCRT complexes in cellular homeostasis.

客户数据及评论

折叠内容

大包装询价

×