首页 / 产品 / 抗体

抗体

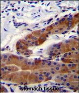
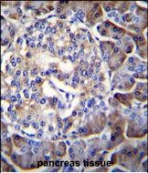
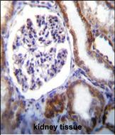
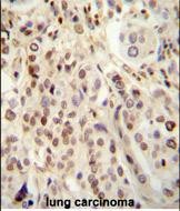
Rabbit Polyclonal IFT88 Antibody

中文名:IFT88抗体

Catalog:IPDX30923

Size: 50μl / 100μl

Application: WB IF IHC ICC FCM Elisa

Reactivity:Human,Mouse,Rat

Synonyms:Intraflagellar transport protein 88 homolog, Recessive polycystic kidney disease protein Tg737 homolog, Tetratricopeptide repeat protein 10, TPR repeat protein 10, IFT88, TG737, TTC10

Type:Primary antibody

Rabbit Polyclonal ETFA Antibody

中文名:ETFA抗体

Catalog:IPDX30922

Size: 50μl / 100μl

Application: WB IF IHC ICC FCM Elisa

Reactivity:Human,Mouse,Rat

Synonyms:Electron transfer flavoprotein subunit alpha, mitochondrial, Alpha-ETF, ETFA

Type:Primary antibody

Rabbit Polyclonal DFNB31 Antibody

中文名:DFNB31抗体

Catalog:IPDX30921

Size: 50μl / 100μl

Application: WB IF IHC ICC FCM Elisa

Reactivity:Human,Mouse,Rat

Synonyms:Whirlin, Autosomal recessive deafness type 31 protein, DFNB31, KIAA1526, WHRN

Type:Primary antibody

Rabbit Polyclonal HIP1R(N-term) Antibody

中文名:HIP1R (N-term)抗体

Catalog:IPDX30920

Size: 50μl / 100μl

Application: WB IF IHC ICC FCM Elisa

Reactivity:Human,Mouse,Rat

Synonyms:Huntingtin-interacting protein 1-related protein, HIP1-related protein, Huntingtin-interacting protein 12, HIP-12, HIP1R, HIP12, KIAA0655

Type:Primary antibody

Mouse Monoclonal MIPEP Antibody

中文名:MIPEP抗体

Catalog:IPDX30918

Size: 50μl / 100μl

Application: WB IF IHC ICC FCM Elisa

Reactivity:Human,Mouse,Rat

Synonyms:Mitochondrial intermediate peptidase, MIP, MIPEP, MIP

Type:Primary antibody

Mouse Monoclonal MAPK15 Antibody

中文名:MAPK15抗体

Catalog:IPDX30917

Size: 50μl / 100μl

Application: WB IF IHC ICC FCM Elisa

Reactivity:Human,Mouse,Rat

Synonyms:Mitogen-activated protein kinase 15, MAP kinase 15, MAPK 15, Extracellular signal-regulated kinase 7, ERK-7, Extracellular signal-regulated kinase 8, ERK-8, MAPK15, ERK7, ERK8

Type:Primary antibody

Rabbit Polyclonal KIR2DL2 Antibody

中文名:KIR2DL2抗体

Catalog:IPDX30916

Size: 50μl / 100μl

Application: WB IF IHC ICC FCM Elisa

Reactivity:Human,Mouse,Rat

Synonyms:Killer cell immunoglobulin-like receptor 2DL2, CD158 antigen-like family member B1, MHC class I NK cell receptor, Natural killer-associated transcript 6, NKAT-6, p58 natural killer cell receptor clone CL-43, p58 NK receptor CL-43, CD158b1, KIR2DL2, CD158B

Type:Primary antibody

Rabbit Polyclonal Cleaved-APG8b(MAP1LC3B) Antibody

中文名:Cleaved-APG8b (MAP1LC3B)抗体

Catalog:IPDX30912

Size: 50μl / 100μl

Application: WB IF IHC ICC FCM Elisa

Reactivity:Human,Mouse,Rat

Synonyms:Microtubule-associated proteins 1A/1B light chain 3B, Autophagy-related protein LC3 B, Autophagy-related ubiquitin-like modifier LC3 B, MAP1 light chain 3-like protein 2, MAP1A/MAP1B light chain 3 B, MAP1A/MAP1B LC3 B, Microtubule-associated protein 1 lig

Type:Primary antibody

Rabbit Polyclonal Phospho-Nephrin(Y1210)) Antibody

中文名:Phospho-Nephrin(Y1210))抗体

Catalog:IPDX30911

Size: 50μl / 100μl

Application: WB IF IHC ICC FCM Elisa

Reactivity:Human,Mouse,Rat

Synonyms:Nephrin, Renal glomerulus-specific cell adhesion receptor, NPHS1, NPHN

Type:Primary antibody

Rabbit Polyclonal Phospho-Nephrin(Y1193)) Antibody

中文名:Phospho-Nephrin(Y1193))抗体

Catalog:IPDX30910

Size: 50μl / 100μl

Application: WB IF IHC ICC FCM Elisa

Reactivity:Human,Mouse,Rat

Synonyms:Nephrin, Renal glomerulus-specific cell adhesion receptor, NPHS1, NPHN

Type:Primary antibody

Rabbit Polyclonal Phospho-APG8b(MAP1LC3B)(T29) Antibody

中文名:Phospho-APG8b(MAP1LC3B)(T29)抗体

Catalog:IPDX30909

Size: 50μl / 100μl

Application: WB IF IHC ICC FCM Elisa

Reactivity:Human,Mouse,Rat

Synonyms:Microtubule-associated proteins 1A/1B light chain 3B, Autophagy-related protein LC3 B, Autophagy-related ubiquitin-like modifier LC3 B, MAP1 light chain 3-like protein 2, MAP1A/MAP1B light chain 3 B, MAP1A/MAP1B LC3 B, Microtubule-associated protein 1 lig

Type:Primary antibody

Rabbit Polyclonal Phospho-JMJD1B(S291) Antibody

中文名:Phospho-JMJD1B(S291)抗体

Catalog:IPDX30907

Size: 50μl / 100μl

Application: WB IF IHC ICC FCM Elisa

Reactivity:Human,Mouse,Rat

Synonyms:Lysine-specific demethylase 3B, 11411-, JmjC domain-containing histone demethylation protein 2B, Jumonji domain-containing protein 1B, Nuclear protein 5qNCA, KDM3B, C5orf7, JHDM2B, JMJD1B, KIAA1082

Type:Primary antibody

Rabbit Polyclonal Phospho-ACTH(S168) Antibody

中文名:Phospho-ACTH(S168)抗体

Catalog:IPDX30905

Size: 50μl / 100μl

Application: WB IF IHC ICC FCM Elisa

Reactivity:Human,Mouse,Rat

Synonyms:Pro-opiomelanocortin, POMC, Corticotropin-lipotropin, NPP, Melanotropin gamma, Gamma-MSH, Potential peptide, Corticotropin, Adrenocorticotropic hormone, ACTH, Melanotropin alpha, Alpha-MSH, Corticotropin-like intermediary peptide, CLIP, Lipotropin beta, B

Type:Primary antibody

Rabbit Polyclonal OR5L2(N-term) Antibody

中文名:OR5L2 (N-term)抗体

Catalog:IPDX30904

Size: 50μl / 100μl

Application: WB IF IHC ICC FCM Elisa

Reactivity:Human,Mouse,Rat

Synonyms:Olfactory receptor 5L2, HTPCRX16, Olfactory receptor OR11-153, OR5L2

Type:Primary antibody

Rabbit Polyclonal TGM6 Antibody

中文名:TGM6抗体

Catalog:IPDX30903

Size: 50μl / 100μl

Application: WB IF IHC ICC FCM Elisa

Reactivity:Human,Mouse,Rat

Synonyms:Protein-glutamine gamma-glutamyltransferase 6, Transglutaminase Y, TGY, TGase Y, Transglutaminase-3-like, TGase-3-like, Transglutaminase-6, TG6, TGase-6, TGM6, TGM3L

Type:Primary antibody

Rabbit Polyclonal CST9 Antibody

中文名:CST9抗体

Catalog:IPDX30902

Size: 50μl / 100μl

Application: WB IF IHC ICC FCM Elisa

Reactivity:Human,Mouse,Rat

Synonyms:Cystatin-9, Cystatin-like molecule, CST9, CLM

Type:Primary antibody

Rabbit Polyclonal SRBD1(C-term) Antibody

中文名:SRBD1 (C-term)抗体

Catalog:IPDX30901

Size: 50μl / 100μl

Application: WB IF IHC ICC FCM Elisa

Reactivity:Human,Mouse,Rat

Synonyms:S1 RNA-binding domain-containing protein 1, SRBD1

Type:Primary antibody

Rabbit Polyclonal SATL1 Antibody

中文名:SATL1抗体

Catalog:IPDX30900

Size: 50μl / 100μl

Application: WB IF IHC ICC FCM Elisa

Reactivity:Human,Mouse,Rat

Synonyms:Spermidine/spermine N(1)-acetyltransferase-like protein 1, 231-, SATL1

Type:Primary antibody

Rabbit Polyclonal hCG_2024410 Antibody

中文名:hCG_2024410抗体

Catalog:IPDX30899

Size: 50μl / 100μl

Application: WB IF IHC ICC FCM Elisa

Reactivity:Human,Mouse,Rat

Synonyms:Ribulose-phosphate 3-epimerase-like protein 1, Ribulose-5-phosphate-3-epimerase-like protein 1, RPEL1

Type:Primary antibody

Rabbit Polyclonal DUS4L Antibody

中文名:DUS4L抗体

Catalog:IPDX30898

Size: 50μl / 100μl

Application: WB IF IHC ICC FCM Elisa

Reactivity:Human,Mouse,Rat

Synonyms:tRNA-dihydrouridine(20a/20b) synthase [NAD(P)+]-like, 131-, pp35, tRNA-dihydrouridine synthase 4-like, DUS4L

Type:Primary antibody