首页 / 产品 / 抗体

抗体

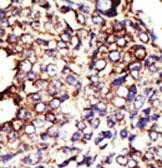
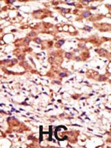
Rabbit Polyclonal ABCB7 Antibody

中文名:ABCB7抗体

Catalog:IPDX30086

Size: 50μl / 100μl

Application: WB IF IHC ICC FCM Elisa

Reactivity:Human,Mouse,Rat

Synonyms:ATP-binding cassette sub-family B member 7, mitochondrial, ATP-binding cassette transporter 7, ABC transporter 7 protein, ABCB7, ABC7

Type:Primary antibody

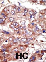
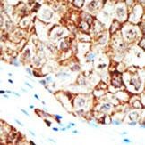
Rabbit Polyclonal ABCB10(N-term) Antibody

中文名:ABCB10 (N-term)抗体

Catalog:IPDX30085

Size: 50μl / 100μl

Application: WB IF IHC ICC FCM Elisa

Reactivity:Human,Mouse,Rat

Synonyms:ATP-binding cassette sub-family B member 10, mitochondrial, ATP-binding cassette transporter 10, ABC transporter 10 protein, Mitochondrial ATP-binding cassette 2, M-ABC2, ABCB10

Type:Primary antibody

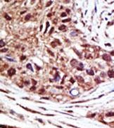
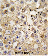
Rabbit Polyclonal BACE2C Antibody

中文名:BACE2C抗体

Catalog:IPDX30084

Size: 50μl / 100μl

Application: WB IF IHC ICC FCM Elisa

Reactivity:Human,Mouse,Rat

Synonyms:Beta-secretase 2, Aspartic-like protease 56 kDa, Aspartyl protease 1, ASP1, Asp 1, Beta-site amyloid precursor protein cleaving enzyme 2, Beta-site APP cleaving enzyme 2, Down region aspartic protease, DRAP, Memapsin-1, Membrane-associated aspartic protea

Type:Primary antibody

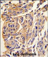
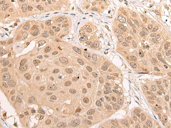
Rabbit Polyclonal ACE2(SARSReceptor) Antibody

中文名:ACE2 (SARS Receptor)抗体

Catalog:IPDX30083

Size: 50μl / 100μl

Application: WB IF IHC ICC FCM Elisa

Reactivity:Human,Mouse,Rat

Synonyms:Angiotensin-converting enzyme 2, ACE-related carboxypeptidase, Angiotensin-converting enzyme homolog, ACEH, Metalloprotease MPROT15, Processed angiotensin-converting enzyme 2, ACE2

Type:Primary antibody

Rabbit Polyclonal PPT1 Antibody

中文名:PPT1抗体

Catalog:IPDX30082

Size: 50μl / 100μl

Application: WB IF IHC ICC FCM Elisa

Reactivity:Human,Mouse,Rat

Synonyms:Palmitoyl-protein thioesterase 1, PPT-1, Palmitoyl-protein hydrolase 1, PPT1, PPT

Type:Primary antibody

Rabbit Polyclonal FACL6 Antibody

中文名:FACL6抗体

Catalog:IPDX30080

Size: 50μl / 100μl

Application: WB IF IHC ICC FCM Elisa

Reactivity:Human,Mouse,Rat

Synonyms:Long-chain-fatty-acid--CoA ligase 6, Long-chain acyl-CoA synthetase 6, LACS 6, ACSL6, ACS2, FACL6, KIAA0837, LACS5

Type:Primary antibody

Rabbit Polyclonal EZH1 Antibody

中文名:EZH1抗体

Catalog:IPDX30079

Size: 50μl / 100μl

Application: WB IF IHC ICC FCM Elisa

Reactivity:Human,Mouse,Rat

Synonyms:Histone-lysine N-methyltransferase EZH1, ENX-2, Enhancer of zeste homolog 1, EZH1, KIAA0388

Type:Primary antibody

Rabbit Polyclonal MGAT1(N-term) Antibody

中文名:MGAT1 (N-term)抗体

Catalog:IPDX30078

Size: 50μl / 100μl

Application: WB IF IHC ICC FCM Elisa

Reactivity:Human,Mouse,Rat

Synonyms:Alpha-1,3-mannosyl-glycoprotein 2-beta-N-acetylglucosaminyltransferase, N-glycosyl-oligosaccharide-glycoprotein N-acetylglucosaminyltransferase I, GNT-I, GlcNAc-T I, MGAT1, GGNT1, GLCT1, GLYT1, MGAT

Type:Primary antibody

Rabbit Polyclonal GCNT1 Antibody

中文名:GCNT1抗体

Catalog:IPDX30077

Size: 50μl / 100μl

Application: WB IF IHC ICC FCM Elisa

Reactivity:Human,Mouse,Rat

Synonyms:Beta-1,3-galactosyl-O-glycosyl-glycoprotein beta-1,6-N-acetylglucosaminyltransferase, Core 2-branching enzyme, Core2-GlcNAc-transferase, C2GNT, Core 2 GNT, GCNT1, NACGT2

Type:Primary antibody

Rabbit Polyclonal TPST2 Antibody

中文名:TPST2抗体

Catalog:IPDX30076

Size: 50μl / 100μl

Application: WB IF IHC ICC FCM Elisa

Reactivity:Human,Mouse,Rat

Synonyms:Protein-tyrosine sulfotransferase 2, Tyrosylprotein sulfotransferase 2, TPST-2, TPST2

Type:Primary antibody

Rabbit Polyclonal GCS1(N-term) Antibody

中文名:GCS1 (N-term)抗体

Catalog:IPDX30074

Size: 50μl / 100μl

Application: WB IF IHC ICC FCM Elisa

Reactivity:Human,Mouse,Rat

Synonyms:Mannosyl-oligosaccharide glucosidase, Processing A-glucosidase I, MOGS, GCS1

Type:Primary antibody

Rabbit Polyclonal ART1(N-term) Antibody

中文名:ART1 (N-term)抗体

Catalog:IPDX30073

Size: 50μl / 100μl

Application: WB IF IHC ICC FCM Elisa

Reactivity:Human,Mouse,Rat

Synonyms:GPI-linked NAD(P)(+)--arginine ADP-ribosyltransferase 1, ADP-ribosyltransferase C2 and C3 toxin-like 1, ARTC1, Mono(ADP-ribosyl)transferase 1, CD296, ART1

Type:Primary antibody

Rabbit Polyclonal STAM Antibody

中文名:STAM抗体

Catalog:IPDX30072

Size: 50μl / 100μl

Application: WB IF IHC ICC FCM Elisa

Reactivity:Human,Mouse,Rat

Synonyms:Signal transducing adapter molecule 1, STAM-1, STAM, STAM1

Type:Primary antibody

Rabbit Polyclonal STAM(N-term) Antibody

中文名:STAM (N-term)抗体

Catalog:IPDX30071

Size: 50μl / 100μl

Application: WB IF IHC ICC FCM Elisa

Reactivity:Human,Mouse,Rat

Synonyms:Signal transducing adapter molecule 1, STAM-1, STAM, STAM1

Type:Primary antibody

Rabbit Polyclonal Ubiquilin1 Antibody

中文名:Ubiquilin1抗体

Catalog:IPDX30070

Size: 50μl / 100μl

Application: WB IF IHC ICC FCM Elisa

Reactivity:Human,Mouse,Rat

Synonyms:Ubiquilin-1, Protein linking IAP with cytoskeleton 1, PLIC-1, hPLIC-1, UBQLN1, DA41, PLIC1

Type:Primary antibody

Rabbit Polyclonal UBE3A Antibody

中文名:UBE3A抗体

Catalog:IPDX30069

Size: 50μl / 100μl

Application: WB IF IHC ICC FCM Elisa

Reactivity:Human,Mouse,Rat

Synonyms:Ubiquitin-protein ligase E3A, 632-, E6AP ubiquitin-protein ligase, Human papillomavirus E6-associated protein, Oncogenic protein-associated protein E6-AP, Renal carcinoma antigen NY-REN-54, UBE3A, E6AP, EPVE6AP, HPVE6A

Type:Primary antibody

Rabbit Polyclonal USP16 Antibody

中文名:USP16抗体

Catalog:IPDX30068

Size: 50μl / 100μl

Application: WB IF IHC ICC FCM Elisa

Reactivity:Human,Mouse,Rat

Synonyms:Ubiquitin carboxyl-terminal hydrolase 16 {ECO:0000255|HAMAP-Rule:MF_03062}, 341912 {ECO:0000255|HAMAP-Rule:MF_03062}, Deubiquitinating enzyme 16 {ECO:0000255|HAMAP-Rule:MF_03062}, Ubiquitin thioesterase 16 {ECO:0000255|HAMAP-Rule:MF_03062}, Ubiquitin-proc

Type:Primary antibody

Rabbit Polyclonal USP15(N-term) Antibody

中文名:USP15 (N-term)抗体

Catalog:IPDX30067

Size: 50μl / 100μl

Application: WB IF IHC ICC FCM Elisa

Reactivity:Human,Mouse,Rat

Synonyms:Ubiquitin carboxyl-terminal hydrolase 15, Deubiquitinating enzyme 15, Ubiquitin thioesterase 15, Ubiquitin-specific-processing protease 15, Unph-2, Unph4, USP15, KIAA0529

Type:Primary antibody

Rabbit Polyclonal USP14(N-term) Antibody

中文名:USP14 (N-term)抗体

Catalog:IPDX30066

Size: 50μl / 100μl

Application: WB IF IHC ICC FCM Elisa

Reactivity:Human,Mouse,Rat

Synonyms:Ubiquitin carboxyl-terminal hydrolase 14, Deubiquitinating enzyme 14, Ubiquitin thioesterase 14, Ubiquitin-specific-processing protease 14, USP14, TGT

Type:Primary antibody

Rabbit Polyclonal USP5(N-term) Antibody

中文名:USP5 (N-term)抗体

Catalog:IPDX30065

Size: 50μl / 100μl

Application: WB IF IHC ICC FCM Elisa

Reactivity:Human,Mouse,Rat

Synonyms:Ubiquitin carboxyl-terminal hydrolase 5, Deubiquitinating enzyme 5, Isopeptidase T, Ubiquitin thioesterase 5, Ubiquitin-specific-processing protease 5, USP5, ISOT

Type:Primary antibody