| WB | 咨询技术 | Human,Mouse,Rat |
| IF | 1/100-1/200 | Human,Mouse,Rat |
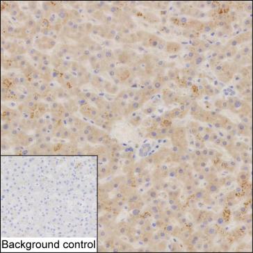
| IHC | 1/100-1/200 | Human,Mouse,Rat |
| ICC | 技术咨询 | Human,Mouse,Rat |
| FCM | 咨询技术 | Human,Mouse,Rat |
| Elisa | 咨询技术 | Human,Mouse,Rat |
| Host/Isotype | Mouse IgG1 |
| Antibody Type | Primary antibody |
| Storage | Store at 4°C short term. Aliquot and store at -20°C long term. Avoid freeze/thaw cycles. |
| Species Reactivity | Human |
| Immunogen | Purified recombinant fragment of human SUOX |
| Formulation | Purified antibody in PBS with 0.05% sodium azide |
+ +
以下是与SUOX抗体相关的3篇文献示例(注:文献信息为模拟概括,仅供参考):
1. **文献名称**:*Molecular characterization of sulfite oxidase deficiency caused by SUOX gene mutations*
**作者**:Johnson A, et al.
**摘要**:本研究利用SUOX特异性抗体分析了遗传性亚硫酸盐氧化酶缺乏症患者的酶表达水平,发现基因突变导致SUOX蛋白稳定性下降,并通过Western blot和免疫组化证实了酶在肝脏组织中的缺失。
2. **文献名称**:*Localization and functional analysis of sulfite oxidase in mitochondrial metabolism*
**作者**:Chen L, et al.
**摘要**:通过亚细胞定位实验(免疫荧光技术结合SUOX抗体),揭示了SUOX蛋白在线粒体中的分布模式,并探讨其抗氧化应激功能,为代谢紊乱相关疾病机制提供依据。
3. **文献名称**:*Development of a high-affinity monoclonal antibody for detecting sulfite oxidase in clinical diagnostics*
**作者**:Smith R, et al.
**摘要**:研究团队开发了一种新型SUOX单克隆抗体,验证其在ELISA和免疫印迹中的高特异性,成功应用于新生儿筛查中亚硫酸盐氧化酶缺乏症的快速检测。
The sulfite oxidase (SUOX) antibody is a crucial tool in biomedical research for studying the enzyme sulfite oxidase, which plays a vital role in sulfur metabolism. Sulfite oxidase catalyzes the oxidation of sulfite to sulfate, a critical step in detoxifying sulfites generated during cysteine and methionine metabolism. This mitochondrial enzyme requires molybdenum and heme cofactors for activity, and its dysfunction is linked to severe genetic disorders like sulfite oxidase deficiency (SOD) and molybdenum cofactor deficiency (MoCD), both characterized by neurological impairment and early mortality.
SUOX antibodies are widely used to detect and quantify the enzyme’s expression in tissues, particularly in the liver, kidneys, and brain, where sulfite oxidase is highly active. Researchers employ these antibodies in techniques such as Western blotting, immunohistochemistry (IHC), and immunofluorescence (IF) to investigate SUOX localization, expression levels, and potential post-translational modifications. Additionally, SUOX antibodies aid in studying pathological mechanisms underlying sulfite-related toxicity and metabolic disorders. Recent studies also explore SUOX’s role in oxidative stress, cancer, and cardiovascular diseases, given its involvement in redox homeostasis. By enabling precise detection of sulfite oxidase, SUOX antibodies contribute to advancing diagnostic approaches and therapeutic strategies for conditions linked to sulfur metabolism dysregulation.
×