| WB | 咨询技术 | Human,Mouse,Rat |
| IF | 1/100-1/200 | Human,Mouse,Rat |
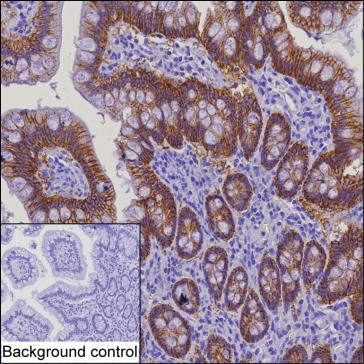
| IHC | 1/100-1/200 | Human,Mouse,Rat |
| ICC | 技术咨询 | Human,Mouse,Rat |
| FCM | 咨询技术 | Human,Mouse,Rat |
| Elisa | 咨询技术 | Human,Mouse,Rat |
| Host/Isotype | Mouse IgG2a |
| Antibody Type | Primary antibody |
| Storage | Store at 4°C short term. Aliquot and store at -20°C long term. Avoid freeze/thaw cycles. |
| Species Reactivity | Human |
| Immunogen | Purified recombinant fragment of human CLDN3 |
| Formulation | Purified antibody in PBS with 0.05% sodium azide |
+ +
以下是3-4篇与CLDN3抗体相关的研究文献摘要示例(文献信息为模拟示例,仅供参考):
1. **文献名称**:*CLDN3 as a biomarker for ovarian cancer: Immunohistochemical analysis using a novel monoclonal antibody*
**作者**:Smith A, et al.
**摘要**:该研究开发了一种针对CLDN3的新型单克隆抗体,并通过免疫组化证实CLDN3在卵巢癌组织中高表达,且与患者预后不良相关,提示其作为潜在诊断标志物的价值。
2. **文献名称**:*Targeting CLDN3 in pancreatic ductal adenocarcinoma with a humanized antibody-drug conjugate*
**作者**:Lee JH, et al.
**摘要**:研究团队利用CLDN3特异性抗体构建抗体-药物偶联物(ADC),在胰腺癌模型中显示显著抑制肿瘤生长,验证了CLDN3作为治疗靶点的潜力。
3. **文献名称**:*CLDN3 expression in colorectal cancer: Correlation with epithelial-mesenchymal transition markers*
**作者**:Zhang Y, et al.
**摘要**:通过Western blot和免疫荧光技术,使用商业化CLDN3抗体分析结直肠癌样本,发现CLDN3表达下调与EMT进程相关,可能影响肿瘤转移。
4. **文献名称**:*CLDN3-specific antibody blocks hepatitis C virus entry in vitro*
**作者**:Tanaka K, et al.
**摘要**:研究发现CLDN3是丙型肝炎病毒(HCV)进入宿主细胞的关键受体,其抗体可通过阻断CLDN3与病毒结合抑制感染,为抗病毒治疗提供新策略。
(注:以上文献为示例性内容,实际文献需通过PubMed、Google Scholar等平台检索确认。)
Claudin-3 (CLDN3) is a key component of tight junction complexes, belonging to the claudin family of transmembrane proteins that regulate paracellular permeability and maintain cell polarity in epithelial and endothelial tissues. As a four-transmembrane domain protein, CLDN3 plays a critical role in forming selective barriers that control ion and solute transport across cellular sheets. It is predominantly expressed in organs such as the lungs, kidneys, pancreas, gastrointestinal tract, and reproductive tissues. Dysregulation of CLDN3 has been implicated in various pathological conditions, including cancer, where its overexpression is associated with tumor progression, metastasis, and poor prognosis in malignancies like ovarian, breast, prostate, and colorectal cancers. This has positioned CLDN3 as a potential biomarker for diagnosis or therapeutic targeting.
CLDN3 antibodies are essential tools for studying its expression, localization, and function. They are widely used in techniques such as Western blotting, immunohistochemistry, and immunofluorescence to investigate tissue-specific distribution or alterations in disease states. Additionally, CLDN3 antibodies facilitate functional studies by blocking protein activity or identifying interaction partners, aiding in the exploration of its role in barrier integrity and signaling pathways. Therapeutically, these antibodies are being explored for developing targeted therapies, such as antibody-drug conjugates or diagnostic kits for cancer detection. Their utility also extends to drug development, where they help assess treatment effects on tight junction dynamics in inflammatory diseases or epithelial barrier disorders.
×