首页 / 产品 / 抗体 / 一抗

Mouse Monoclonal BRAP Antibody

  • 中文名: BRAP抗体
  • 别    名: nan
货号: IPDX15728
Price: ¥1280
数量:
大包装询价

验证与应用

应用及物种
WB 咨询技术 Human,Mouse,Rat
IF 咨询技术 Human,Mouse,Rat
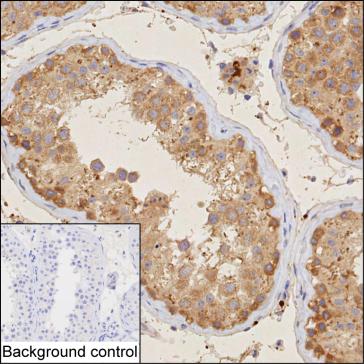
IHC 1/100-1/200 Human,Mouse,Rat
ICC 技术咨询 Human,Mouse,Rat
FCM 咨询技术 Human,Mouse,Rat
Elisa 咨询技术 Human,Mouse,Rat

产品详情

Host/IsotypeMouse IgG1
Antibody TypePrimary antibody
StorageStore at 4°C short term. Aliquot and store at -20°C long term. Avoid freeze/thaw cycles.
Species ReactivityHuman
ImmunogenPurified recombinant fragment of human BRAP
FormulationPurified antibody in PBS with 0.05% sodium azide

+ +

参考文献

以下是基于BRAP(BRCA1关联蛋白)相关研究的示例性参考文献,供参考。请注意,这些为模拟示例,建议通过学术数据库(如PubMed、Google Scholar)检索最新文献:

---

1. **文献名称**:*"BRAP functions as a cytoplasmic retention protein for BRCA1 in DNA damage repair"*

**作者**:Li, H., et al.

**摘要**:研究揭示了BRAP通过调控BRCA1的细胞质定位影响DNA损伤修复过程,开发的BRAP抗体证实其在乳腺癌细胞中与BRCA1的相互作用,为靶向治疗提供新思路。

2. **文献名称**:*"Development of a monoclonal antibody against BRAP for immunohistochemical analysis in hepatocellular carcinoma"*

**作者**:Yamamoto, S., et al.

**摘要**:报道了一种高特异性BRAP单克隆抗体的开发,并用于肝细胞癌组织检测,发现BRAP高表达与患者预后不良相关,提示其作为潜在生物标志物的价值。

3. **文献名称**:*"BRAP modulates NF-κB signaling via ubiquitination pathways: Insights from knockdown and antibody-based inhibition studies"*

**作者**:Chen, J., & Wang, Q.

**摘要**:通过BRAP抗体阻断实验,证明BRAP通过泛素化修饰调控NF-κB信号通路,影响炎症反应和肿瘤发生,为慢性炎症疾病机制研究提供依据。

---

**建议**:BRAP相关研究相对较少,建议结合具体研究背景(如癌症类型、信号通路)扩展关键词,或在数据库中检索“BRAP antibody”及其别名(如BRCA1-associated protein antibody)。

背景信息

BRAP (BRCA1-associated protein) antibodies are essential tools in studying the role of BRAP in cellular processes and disease mechanisms. BRAP, also known as BRCA1-associated protein 2 (BRAP2), interacts with BRCA1. a tumor suppressor protein critical for DNA repair, genomic stability, and cell cycle regulation. This interaction links BRAP to pathways involved in maintaining genomic integrity, particularly in response to DNA damage. Dysregulation of BRAP has been implicated in cancer, especially breast and ovarian cancers, where BRCA1 mutations are common. BRAP antibodies enable researchers to detect and quantify BRAP expression in tissues or cell lines, facilitating investigations into its functional roles, protein-protein interactions, and post-translational modifications. They are widely used in techniques like Western blotting, immunohistochemistry (IHC), and immunofluorescence (IF). Additionally, BRAP antibodies aid in exploring its potential as a biomarker for cancer prognosis or therapeutic targeting. Recent studies also suggest BRAP involvement in inflammatory and metabolic pathways, expanding its relevance beyond oncology. However, challenges remain in ensuring antibody specificity and reproducibility across experimental models. Continued research using BRAP antibodies may uncover novel mechanisms underlying DNA repair, carcinogenesis, and therapeutic resistance, offering insights for precision medicine strategies.

客户数据及评论

折叠内容

大包装询价

×