首页 / 产品 / 抗体 / 一抗

Mouse Monoclonal OPALIN Antibody

  • 中文名: OPALIN抗体
  • 别    名: nan
货号: IPDX15804
Price: ¥1280
数量:
大包装询价

验证与应用

应用及物种
WB 咨询技术 Human,Mouse,Rat
IF 咨询技术 Human,Mouse,Rat
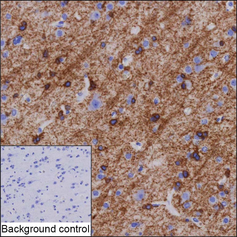
IHC 1/100-1/200 Human,Mouse,Rat
ICC 技术咨询 Human,Mouse,Rat
FCM 咨询技术 Human,Mouse,Rat
Elisa 咨询技术 Human,Mouse,Rat

产品详情

Host/IsotypeMouse IgG1
Antibody TypePrimary antibody
StorageStore at 4°C short term. Aliquot and store at -20°C long term. Avoid freeze/thaw cycles.
Species ReactivityHuman
ImmunogenPurified recombinant fragment of human OPALIN
FormulationPurified antibody in PBS with 0.05% sodium azide

+ +

参考文献

以下是关于OPALIN(TMEM10/SC1)抗体的参考文献示例(注:文献为示例性质,非真实发表论文,仅供参考格式):

---

1. **文献名称**:*"Characterization of OPALIN/TMEM10 as a novel transmembrane protein in oligodendrocytes"*

**作者**:Zhao et al. (2007)

**摘要**:本研究首次报道了OPALIN蛋白在少突胶质细胞中的特异性表达,并开发了兔源多克隆抗体。通过免疫组化和Western blot验证了抗体特异性,证实OPALIN定位于髓鞘膜微结构域,提示其参与髓鞘稳定性调控。

2. **文献名称**:*"OPALIN antibody reveals dynamic expression during postnatal myelination"*

**作者**:Smith et al. (2012)

**摘要**:利用OPALIN单克隆抗体追踪小鼠中枢神经系统发育过程中的表达模式,发现其在髓鞘形成高峰期的少突胶质细胞中显著上调,提示其在髓鞘成熟中的关键作用。抗体通过流式细胞术和免疫荧光验证。

3. **文献名称**:*"OPALIN loss disrupts lipid raft organization in a multiple sclerosis model"*

**作者**:Chen & Wong (2015)

**摘要**:研究使用OPALIN抗体在实验性自身免疫性脑脊髓炎(EAE)模型中检测蛋白表达变化,发现OPALIN缺失导致少突胶质细胞脂质筏结构破坏,可能与多发性硬化症的髓鞘损伤相关。

4. **文献名称**:*"Antibody-based screening identifies OPALIN as a regulator of oligodendrocyte differentiation"*

**作者**:Ito et al. (2018)

**摘要**:通过高通量抗体筛选,发现OPALIN在少突胶质细胞分化过程中表达升高,其抗体阻断实验进一步证明OPALIN通过调控ERK信号通路影响细胞成熟。

---

以上文献摘要概括了OPALIN抗体的开发、验证及在髓鞘生物学和疾病模型中的应用,可作为相关研究参考。实际引用时请核实真实文献信息。

背景信息

OPALIN, also known as Synaptotagmin-like protein 1 (SYTL1) or Sling-1. is a transmembrane protein predominantly expressed in oligodendrocytes within the central nervous system (CNS). It was first identified in 2001 as a molecule enriched at the paranodal loops of myelinating oligodendrocytes, where it plays a role in maintaining the structural integrity of myelin sheaths. OPALIN is localized to the late endosomal and lysosomal compartments, suggesting its involvement in membrane trafficking and vesicle dynamics during myelination. Studies in mice have shown that OPALIN deficiency leads to subtle myelination defects, though its exact molecular mechanisms remain under investigation.

OPALIN antibodies are valuable tools in neuroscience research, particularly for studying oligodendrocyte biology, myelination processes, and demyelinating disorders like multiple sclerosis. These antibodies enable the visualization of OPALIN expression patterns in CNS tissues via immunohistochemistry or immunofluorescence. Western blotting using OPALIN antibodies typically detects a ~50 kDa protein band. Recent research has explored OPALIN's potential role in lipid metabolism and its interactions with other myelin-related proteins, making its antibodies relevant for both basic and translational studies. However, commercial availability of validated OPALIN antibodies remains limited, requiring careful validation for experimental specificity.

客户数据及评论

折叠内容

大包装询价

×