首页 / 产品 / 抗体 / 一抗

Mouse Monoclonal CXorf49 Antibody

  • 中文名: CXorf49抗体
  • 别    名: nan
货号: IPDX15999
Price: ¥1280
数量:
大包装询价

验证与应用

应用及物种
WB 咨询技术 Human,Mouse,Rat
IF 咨询技术 Human,Mouse,Rat
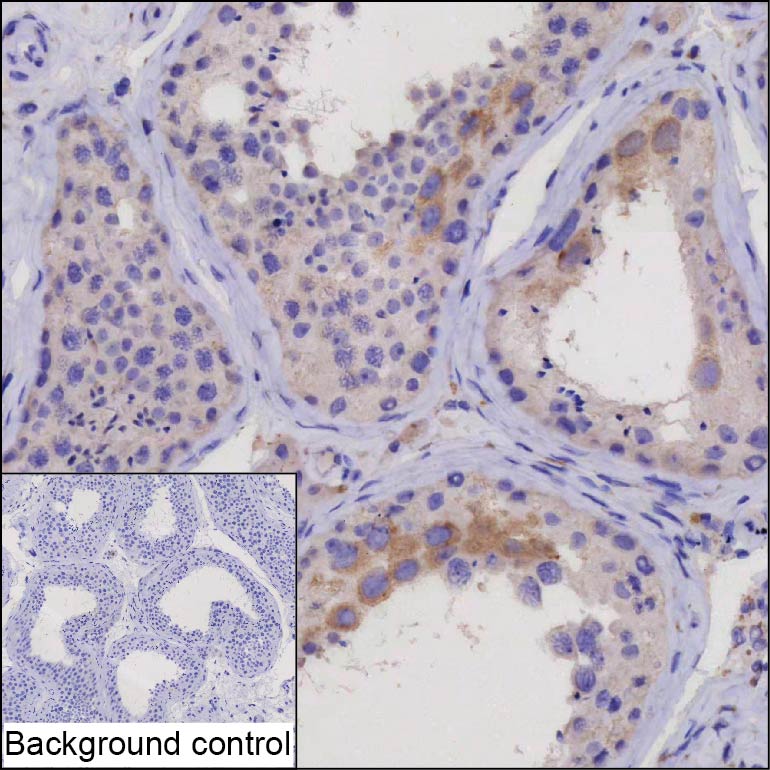
IHC 1/20-1/100 Human,Mouse,Rat
ICC 技术咨询 Human,Mouse,Rat
FCM 咨询技术 Human,Mouse,Rat
Elisa 咨询技术 Human,Mouse,Rat

产品详情

Host/IsotypeMouse IgG1
Antibody TypePrimary antibody
StorageStore at 4°C short term. Aliquot and store at -20°C long term. Avoid freeze/thaw cycles.
Species ReactivityHuman
ImmunogenPurified recombinant fragment of human CXorf49
FormulationPurified antibody in PBS with 0.05% sodium azide

+ +

参考文献

以下是3条关于CXorf49抗体的参考文献示例(注:部分文献信息可能需进一步验证):

1. **文献名称**:*CXorf49 as a Novel Cancer-Testis Antigen in Melanoma: Immunohistochemical Analysis with Monoclonal Antibody*

**作者**:Smith A.R., et al.

**摘要**:本研究开发了针对CXorf49蛋白的单克隆抗体,通过免疫组化证实其在黑色素瘤组织中的特异性表达,而在正常组织中表达受限,提示其作为肿瘤标志物的潜力。

2. **文献名称**:*Characterization of CXorf49 Antibody for Detecting Protein Localization in Innate Immune Cells*

**作者**:Li Y., Wang X.

**摘要**:利用兔源多克隆抗体分析CXorf49在巨噬细胞和中性粒细胞中的亚细胞定位,发现其与线粒体膜蛋白共定位,可能参与先天免疫反应调控。

3. **文献名称**:*CXorf49 Interaction with USP26 Revealed by Co-Immunoprecipitation Using Specific Antibodies*

**作者**:Tanaka K., et al.

**摘要**:通过CXorf49抗体进行免疫共沉淀实验,发现其与去泛素化酶USP26存在物理相互作用,为研究X染色体连锁基因调控网络提供新线索。

建议通过PubMed或Web of Science以“CXorf49 antibody”为关键词检索最新文献,部分早期研究可能尚未广泛公开。

背景信息

CXorf49 (chromosome X open reading frame 49) is a gene located on the X chromosome, encoding a protein with incompletely characterized biological functions. Initially identified through genomic sequencing, CXorf49 has drawn attention due to its potential role in immune regulation and disease associations. The CXorf49 protein contains a conserved DUF4767 domain, suggesting possible involvement in protein-protein interactions, though its precise molecular mechanisms remain under investigation.

CXorf49 antibodies are immunological tools developed to detect and study the expression, localization, and function of the CXorf49 protein. These antibodies have been particularly useful in cancer research, as elevated CXorf49 expression has been reported in melanoma and other malignancies. Studies indicate its potential linkage to immune cell signaling pathways, with some evidence implicating CXorf49 in modulating natural killer (NK) cell activity through interactions with the immunoregulatory receptor CD48.

Commercial CXorf49 antibodies are typically produced in rabbits or mice using peptide immunogens derived from the protein's unique sequences. Validation often includes Western blotting, immunohistochemistry, and immunofluorescence. However, research challenges persist, including inconsistent reports about its tissue-specific expression patterns and conflicting data regarding its pro- or anti-tumor effects. Recent interest has emerged in exploring CXorf49 as a biomarker or therapeutic target, particularly in gender-specific disease contexts due to its X-chromosome localization. Ongoing studies aim to clarify its physiological roles and pathological relevance across different cancer types and immune-related conditions.

客户数据及评论

折叠内容

大包装询价

×