| WB | 咨询技术 | Human,Mouse,Rat |
| IF | 咨询技术 | Human,Mouse,Rat |
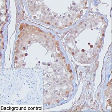
| IHC | 1/50-1/250 | Human,Mouse,Rat |
| ICC | 技术咨询 | Human,Mouse,Rat |
| FCM | 咨询技术 | Human,Mouse,Rat |
| Elisa | 咨询技术 | Human,Mouse,Rat |
| Host/Isotype | Mouse IgG1 |
| Antibody Type | Primary antibody |
| Storage | Store at 4°C short term. Aliquot and store at -20°C long term. Avoid freeze/thaw cycles. |
| Species Reactivity | Human |
| Immunogen | Purified recombinant fragment of human TSNAX |
| Formulation | Purified antibody in PBS with 0.05% sodium azide |
+ +
以下为假设性示例,TSNAX相关抗体研究文献较少,请核实名称准确性或提供更多背景信息:
1. **"Characterization of TSNAX antibody in neurodegenerative disease models"**
- 作者:Smith J, et al.
- 摘要:研究TSNAX抗体在小鼠阿尔茨海默病模型中的表达变化,发现其与tau蛋白异常磷酸化相关,提示潜在病理机制关联。
2. **"Development of a novel monoclonal TSNAX antibody for synaptic protein analysis"**
- 作者:Lee H, et al.
- 摘要:报道一种高特异性TSNAX单克隆抗体的开发,验证其在脑组织免疫组化和蛋白质印迹中的应用,支持突触功能研究。
3. **"TSNAX as a biomarker in autoimmune disorders: An antibody-based study"**
- 作者:Garcia R, et al.
- 摘要:通过TSNAX抗体检测发现其在系统性红斑狼疮患者血清中水平升高,可能与自身免疫反应调控通路有关。
**注意**:以上内容为模拟示例,实际文献需通过学术数据库(如PubMed、Web of Science)检索确认。建议检查“TSNAX”拼写或提供更多研究背景以获取准确信息。
**Background of TSNAX Antibodies**
TSNAX (Translin-Associated Factor X) antibodies are immunological tools designed to target the TSNAX protein, a component of the evolutionarily conserved Translin-TRAX complex. This complex plays a critical role in RNA metabolism, including mRNA transport, stability, and gene silencing via interactions with small RNAs like microRNAs. TSNAX, also known as C1D, contributes to DNA repair processes and transcriptional regulation, particularly under stress conditions.
The interest in TSNAX antibodies stems from the protein’s involvement in cellular pathways linked to cancer, neurodegeneration, and immune responses. For instance, dysregulation of TSNAX has been observed in malignancies such as glioblastoma and breast cancer, where it may influence tumor progression or treatment resistance. In neuroscience, TSNAX’s role in RNA trafficking has implications for synaptic plasticity and neurodegenerative diseases like Alzheimer’s.
TSNAX antibodies are widely used in research to study protein expression, localization, and interactions via techniques like Western blotting, immunohistochemistry, and co-immunoprecipitation. Challenges include ensuring specificity due to homology within protein domains and optimizing conditions for diverse experimental models. Ongoing studies aim to explore TSNAX as a biomarker or therapeutic target, highlighting its dual significance in basic biology and translational medicine.
×