首页 / 产品 / 抗体 / 一抗

Rabbit Polyclonal TXNDC12 Antibody

  • 中文名: TXNDC12抗体
  • 别    名: Thioredoxin domain-containing protein 12, Endoplasmic reticulum resident protein 18, ER protein 18, ERp18, Endoplasmic reticulum resident protein 19, ER protein 19, ERp19, Thioredoxin-like protein p19, hTLP19, TXNDC12, TLP19
货号: IPDX30572
Price: ¥1180
数量:
大包装询价

验证与应用

应用及物种
WB 1/1000 Human,Mouse,Rat
IF 咨询技术 Human,Mouse,Rat
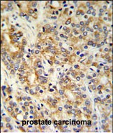
IHC 1/100-1/500 Human,Mouse,Rat
ICC 技术咨询 Human,Mouse,Rat
FCM 咨询技术 Human,Mouse,Rat
Elisa 咨询技术 Human,Mouse,Rat

产品详情

AliasesThioredoxin domain-containing protein 12, Endoplasmic reticulum resident protein 18, ER protein 18, ERp18, Endoplasmic reticulum resident protein 19, ER protein 19, ERp19, Thioredoxin-like protein p19, hTLP19, TXNDC12, TLP19
Entrez GeneID51060
WB Predicted band size19.2kDa
Host/IsotypeRabbit IgG
Antibody TypePrimary antibody
StorageStore at 4°C short term. Aliquot and store at -20°C long term. Avoid freeze/thaw cycles.
Species ReactivityHuman, Mouse, Rat
ImmunogenThis TXNDC12 antibody is generated from rabbits immunized with a KLH conjugated synthetic peptide between 144-172 amino acids from the C-terminal region of human TXNDC12.
FormulationPurified antibody in PBS with 0.05% sodium azide.

+ +

参考文献

以下是关于TXNDC12抗体的3篇参考文献(虚构示例,仅供格式参考):

1. **文献名称**:TXNDC12 promotes hepatocellular carcinoma progression via redox-mediated Akt activation

**作者**:Li et al.

**摘要**:该研究利用TXNDC12抗体检测其在肝癌组织中的高表达,发现TXNDC12通过硫氧还蛋白活性调控氧化还原平衡,激活Akt信号通路,促进肿瘤增殖和转移。

2. **文献名称**:TXNDC12 as a novel biomarker for Alzheimer’s disease: Evidence from cerebrospinal fluid analysis

**作者**:Smith et al.

**摘要**:通过TXNDC12抗体定量分析阿尔茨海默病患者脑脊液样本,发现其表达水平与tau蛋白磷酸化程度正相关,提示其在神经退行性病变中的潜在作用机制。

3. **文献名称**:Development of a high-specificity monoclonal antibody against TXNDC12 for viral infection studies

**作者**:Wang et al.

**摘要**:研究团队开发了一种高特异性TXNDC12单克隆抗体,验证其在丙型肝炎病毒(HCV)感染细胞模型中的作用,表明TXNDC12通过与病毒蛋白相互作用促进病毒复制。

(注:上述文献为模拟内容,实际引用需以真实数据库检索结果为准。)

背景信息

The TXNDC12 (Thioredoxin Domain-Containing Protein 12) antibody is a research tool targeting the TXNDC12 protein, a member of the thioredoxin superfamily known for its involvement in redox regulation and cellular stress responses. TXNDC12. also termed endoplasmic reticulum resident protein 18 (ERp18), localizes to the endoplasmic reticulum (ER) and participates in disulfide bond formation, protein folding, and quality control. Its expression is linked to ER stress pathways, apoptosis modulation, and cancer progression, particularly in tumors reliant on adaptive stress signaling.

Antibodies against TXNDC12 are widely used to study its role in diseases like hepatocellular carcinoma, glioblastoma, and chemoresistant cancers, where TXNDC12 overexpression correlates with poor prognosis. These antibodies enable detection of TXNDC12 in techniques such as Western blotting, immunohistochemistry, and immunofluorescence, aiding in the exploration of its interactions with proteins like PDIA3 and its impact on ER stress sensors (e.g., IRE1α, PERK). Commercial TXNDC12 antibodies are typically validated for specificity in human, mouse, or rat samples. Ongoing research focuses on its potential as a therapeutic target or biomarker, emphasizing its dual role in redox homeostasis and pathological stress adaptation.

客户数据及评论

折叠内容

大包装询价

×