首页 / 产品 / 抗体

抗体

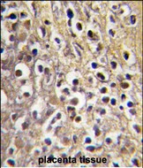
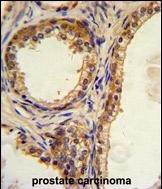
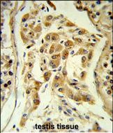
Rabbit Polyclonal TRIB1 Antibody

中文名:TRIB1抗体

Catalog:IPDX33665

Size: 50μl / 100μl

Application: WB IF IHC ICC FCM Elisa

Reactivity:Human,Mouse,Rat

Synonyms:Tribbles homolog 1, TRB-1, G-protein-coupled receptor-induced gene 2 protein, GIG-2, SKIP1, TRIB1 (<a href="http://www.genenames.org/cgi-bin/gene_symbol_report?hgnc_id=16891" target="_blank">HGNC:16891</a>)

Type:Primary antibody

Rabbit Polyclonal PCSK2(N-term) Antibody

中文名:PCSK2 (N-term)抗体

Catalog:IPDX33664

Size: 50μl / 100μl

Application: WB IF IHC ICC FCM Elisa

Reactivity:Human,Mouse,Rat

Synonyms:Neuroendocrine convertase 2, NEC 2, KEX2-like endoprotease 2, Prohormone convertase 2, Proprotein convertase 2, PC2, PCSK2, NEC2

Type:Primary antibody

Rabbit Polyclonal Aromatase(CYP19A1) Antibody

中文名:Aromatase (CYP19A1)抗体

Catalog:IPDX33663

Size: 50μl / 100μl

Application: WB IF IHC ICC FCM Elisa

Reactivity:Human,Mouse,Rat

Synonyms:Aromatase, CYPXIX, Cytochrome P-450AROM, Cytochrome P450 19A1, Estrogen synthase, CYP19A1, ARO1, CYAR, CYP19

Type:Primary antibody

Rabbit Polyclonal OPLAH(N-term) Antibody

中文名:OPLAH (N-term)抗体

Catalog:IPDX33662

Size: 50μl / 100μl

Application: WB IF IHC ICC FCM Elisa

Reactivity:Human,Mouse,Rat

Synonyms:5-oxoprolinase, 5-oxo-L-prolinase, 5-OPase, Pyroglutamase, OPLAH

Type:Primary antibody

Rabbit Polyclonal CHK1 Antibody

中文名:CHK1抗体

Catalog:IPDX33661

Size: 50μl / 100μl

Application: WB IF IHC ICC FCM Elisa

Reactivity:Human,Mouse,Rat

Synonyms:Serine/threonine-protein kinase Chk1, CHK1 checkpoint homolog, Cell cycle checkpoint kinase, Checkpoint kinase-1, CHEK1, CHK1

Type:Primary antibody

Rabbit Polyclonal CPN1(N-term) Antibody

中文名:CPN1 (N-term)抗体

Catalog:IPDX33660

Size: 50μl / 100μl

Application: WB IF IHC ICC FCM Elisa

Reactivity:Human,Mouse,Rat

Synonyms:Carboxypeptidase N catalytic chain, CPN, Anaphylatoxin inactivator, Arginine carboxypeptidase, Carboxypeptidase N polypeptide 1, Carboxypeptidase N small subunit, Kininase-1, Lysine carboxypeptidase, Plasma carboxypeptidase B, Serum carboxypeptidase N, SC

Type:Primary antibody

Rabbit Polyclonal HRG(N-term) Antibody

中文名:HRG (N-term)抗体

Catalog:IPDX33659

Size: 50μl / 100μl

Application: WB IF IHC ICC FCM Elisa

Reactivity:Human,Mouse,Rat

Synonyms:Histidine-rich glycoprotein, Histidine-proline-rich glycoprotein, HPRG, HRG

Type:Primary antibody

Rabbit Polyclonal Parg Antibody

中文名:Parg抗体

Catalog:IPDX33658

Size: 50μl / 100μl

Application: WB IF IHC ICC FCM Elisa

Reactivity:Human,Mouse,Rat

Synonyms:Poly(ADP-ribose) glycohydrolase, PARG

Type:Primary antibody

Rabbit Polyclonal CDKL5(STK9) Antibody

中文名:CDKL5 (STK9)抗体

Catalog:IPDX33657

Size: 50μl / 100μl

Application: WB IF IHC ICC FCM Elisa

Reactivity:Human,Mouse,Rat

Synonyms:Cyclin-dependent kinase-like 5, Serine/threonine-protein kinase 9, CDKL5, STK9

Type:Primary antibody

Rabbit Polyclonal PANK2(N-term) Antibody

中文名:PANK2 (N-term)抗体

Catalog:IPDX33656

Size: 50μl / 100μl

Application: WB IF IHC ICC FCM Elisa

Reactivity:Human,Mouse,Rat

Synonyms:Pantothenate kinase 2, mitochondrial, hPanK2, Pantothenic acid kinase 2, PANK2, C20orf48

Type:Primary antibody

Rabbit Polyclonal DeoxyguanosineKinase(DGUOK) Antibody

中文名:Deoxyguanosine Kinase (DGUOK)抗体

Catalog:IPDX33655

Size: 50μl / 100μl

Application: WB IF IHC ICC FCM Elisa

Reactivity:Human,Mouse,Rat

Synonyms:Deoxyguanosine kinase, mitochondrial, dGK, DGUOK, DGK

Type:Primary antibody

Rabbit Polyclonal OGG1 Antibody

中文名:OGG1抗体

Catalog:IPDX33654

Size: 50μl / 100μl

Application: WB IF IHC ICC FCM Elisa

Reactivity:Human,Mouse,Rat

Synonyms:N-glycosylase/DNA lyase, 8-oxoguanine DNA glycosylase, 322-, DNA-(apurinic or apyrimidinic site) lyase, AP lyase, OGG1, MMH, MUTM, OGH1

Type:Primary antibody

Rabbit Polyclonal ESPN(N-term) Antibody

中文名:ESPN (N-term)抗体

Catalog:IPDX33653

Size: 50μl / 100μl

Application: WB IF IHC ICC FCM Elisa

Reactivity:Human,Mouse,Rat

Synonyms:Espin, Autosomal recessive deafness type 36 protein, Ectoplasmic specialization protein, ESPN, DFNB36

Type:Primary antibody

Rabbit Polyclonal ZWINT Antibody

中文名:ZWINT抗体

Catalog:IPDX33652

Size: 50μl / 100μl

Application: WB IF IHC ICC FCM Elisa

Reactivity:Human,Mouse,Rat

Synonyms:ZW10 interactor, ZW10-interacting protein 1, Zwint-1, ZWINT

Type:Primary antibody

Rabbit Polyclonal TIEG2(N-term) Antibody

中文名:TIEG2 (N-term)抗体

Catalog:IPDX33651

Size: 50μl / 100μl

Application: WB IF IHC ICC FCM Elisa

Reactivity:Human,Mouse,Rat

Synonyms:Krueppel-like factor 11, Transforming growth factor-beta-inducible early growth response protein 2, TGFB-inducible early growth response protein 2, TIEG-2, KLF11, FKLF, TIEG2

Type:Primary antibody

Rabbit Polyclonal CREB3L1 Antibody

中文名:CREB3L1抗体

Catalog:IPDX33650

Size: 50μl / 100μl

Application: WB IF IHC ICC FCM Elisa

Reactivity:Human,Mouse,Rat

Synonyms:Cyclic AMP-responsive element-binding protein 3-like protein 1, cAMP-responsive element-binding protein 3-like protein 1, Old astrocyte specifically-induced substance, OASIS, Processed cyclic AMP-responsive element-binding protein 3-like protein 1, CREB3L

Type:Primary antibody

Rabbit Polyclonal FIBG Antibody

中文名:FIBG抗体

Catalog:IPDX33649

Size: 50μl / 100μl

Application: WB IF IHC ICC FCM Elisa

Reactivity:Human,Mouse,Rat

Synonyms:Fibrinogen gamma chain, FGG

Type:Primary antibody

Rabbit Polyclonal PINK1(PARK6)(N-termT133) Antibody

中文名:PINK1 (PARK6) (N-term T133)抗体

Catalog:IPDX33648

Size: 50μl / 100μl

Application: WB IF IHC ICC FCM Elisa

Reactivity:Human,Mouse,Rat

Synonyms:Serine/threonine-protein kinase PINK1, mitochondrial, BRPK, PTEN-induced putative kinase protein 1, PINK1

Type:Primary antibody

Rabbit Polyclonal IL1R(C-termE487) Antibody

中文名:IL1R (C-term E487)抗体

Catalog:IPDX33647

Size: 50μl / 100μl

Application: WB IF IHC ICC FCM Elisa

Reactivity:Human,Mouse,Rat

Synonyms:Interleukin-1 receptor type 1, IL-1R-1, IL-1RT-1, IL-1RT1, CD121 antigen-like family member A, Interleukin-1 receptor alpha, IL-1R-alpha, Interleukin-1 receptor type I, p80, CD121a, Interleukin-1 receptor type 1, membrane form, mIL-1R1, mIL-1RI, Interleuk

Type:Primary antibody

Rabbit Polyclonal SIRT7 Antibody

中文名:SIRT7抗体

Catalog:IPDX33646

Size: 50μl / 100μl

Application: WB IF IHC ICC FCM Elisa

Reactivity:Human,Mouse,Rat

Synonyms:NAD-dependent protein deacetylase sirtuin-7, 351-, Regulatory protein SIR2 homolog 7, SIR2-like protein 7, SIRT7, SIR2L7

Type:Primary antibody