首页 / 产品 / 抗体

抗体

Rabbit Polyclonal MouseFrk Antibody

中文名:Mouse Frk抗体

Catalog:IPDX31542

Size: 50μl / 100μl

Application: WB IF IHC ICC FCM Elisa

Reactivity:Human,Mouse,Rat

Synonyms:Tyrosine-protein kinase FRK, Beta-cell Src-homology tyrosine kinase, BSK, FYN-related kinase, Intestine tyrosine kinase, Frk, Bsk, Iyk

Type:Primary antibody

Rabbit Polyclonal MouseFgfr3 Antibody

中文名:Mouse Fgfr3抗体

Catalog:IPDX31541

Size: 50μl / 100μl

Application: WB IF IHC ICC FCM Elisa

Reactivity:Human,Mouse,Rat

Synonyms:Fibroblast growth factor receptor 3, FGFR-3, Heparin-binding growth factor receptor, CD333, Fgfr3, Mfr3, Sam3

Type:Primary antibody

Rabbit Polyclonal TCF12(N-term) Antibody

中文名:TCF12 (N-term)抗体

Catalog:IPDX31540

Size: 50μl / 100μl

Application: WB IF IHC ICC FCM Elisa

Reactivity:Human,Mouse,Rat

Synonyms:Transcription factor 12, TCF-12, Class B basic helix-loop-helix protein 20, bHLHb20, DNA-binding protein HTF4, E-box-binding protein, Transcription factor HTF-4, TCF12, BHLHB20, HEB, HTF4

Type:Primary antibody

Rabbit Polyclonal PCSK6 Antibody

中文名:PCSK6抗体

Catalog:IPDX31539

Size: 50μl / 100μl

Application: WB IF IHC ICC FCM Elisa

Reactivity:Human,Mouse,Rat

Synonyms:Proprotein convertase subtilisin/kexin type 6, 3421-, Paired basic amino acid cleaving enzyme 4, Subtilisin-like proprotein convertase 4, SPC4, Subtilisin/kexin-like protease PACE4, PCSK6, PACE4

Type:Primary antibody

Rabbit Polyclonal CPSF3 Antibody

中文名:CPSF3抗体

Catalog:IPDX31537

Size: 50μl / 100μl

Application: WB IF IHC ICC FCM Elisa

Reactivity:Human,Mouse,Rat

Synonyms:Cleavage and polyadenylation specificity factor subunit 3, 3127-, Cleavage and polyadenylation specificity factor 73 kDa subunit, CPSF 73 kDa subunit, mRNA 3'-end-processing endonuclease CPSF-73, CPSF3, CPSF73

Type:Primary antibody

Rabbit Polyclonal LAT2 Antibody

中文名:LAT2抗体

Catalog:IPDX31536

Size: 50μl / 100μl

Application: WB IF IHC ICC FCM Elisa

Reactivity:Human,Mouse,Rat

Synonyms:Linker for activation of T-cells family member 2, Linker for activation of B-cells, Membrane-associated adapter molecule, Non-T-cell activation linker, Williams-Beuren syndrome chromosomal region 15 protein, Williams-Beuren syndrome chromosomal region 5 p

Type:Primary antibody

Rabbit Polyclonal HN1 Antibody

中文名:HN1抗体

Catalog:IPDX31535

Size: 50μl / 100μl

Application: WB IF IHC ICC FCM Elisa

Reactivity:Human,Mouse,Rat

Synonyms:Hematological and neurological expressed 1 protein, Androgen-regulated protein 2, Hematological and neurological expressed 1 protein, N-terminally processed, HN1, ARM2

Type:Primary antibody

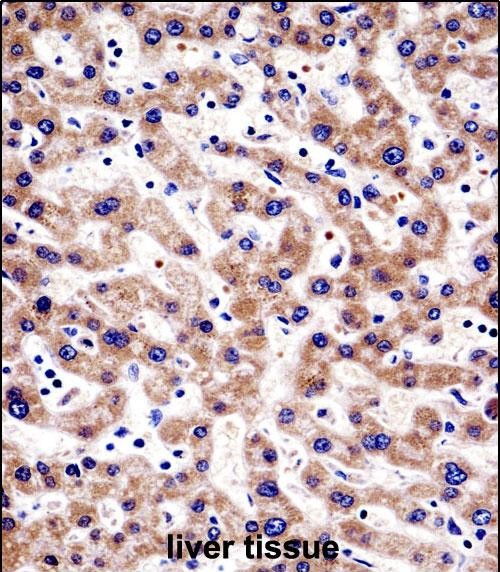
Rabbit Polyclonal A2M Antibody

中文名:A2M抗体

Catalog:IPDX31534

Size: 50μl / 100μl

Application: WB IF IHC ICC FCM Elisa

Reactivity:Human,Mouse,Rat

Synonyms:Alpha-2-macroglobulin, Alpha-2-M, C3 and PZP-like alpha-2-macroglobulin domain-containing protein 5, A2M, CPAMD5

Type:Primary antibody

Rabbit Polyclonal A2M(N-term) Antibody

中文名:A2M (N-term)抗体

Catalog:IPDX31533

Size: 50μl / 100μl

Application: WB IF IHC ICC FCM Elisa

Reactivity:Human,Mouse,Rat

Synonyms:Alpha-2-macroglobulin, Alpha-2-M, C3 and PZP-like alpha-2-macroglobulin domain-containing protein 5, A2M, CPAMD5

Type:Primary antibody

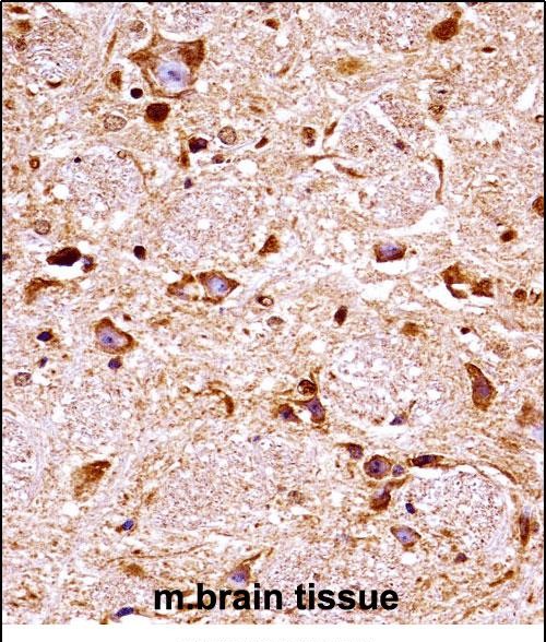
Rabbit Polyclonal MouseCamk2a Antibody

中文名:Mouse Camk2a抗体

Catalog:IPDX31532

Size: 50μl / 100μl

Application: WB IF IHC ICC FCM Elisa

Reactivity:Human,Mouse,Rat

Synonyms:Calcium/calmodulin-dependent protein kinase type II subunit alpha, CaM kinase II subunit alpha, CaMK-II subunit alpha, Camk2a

Type:Primary antibody

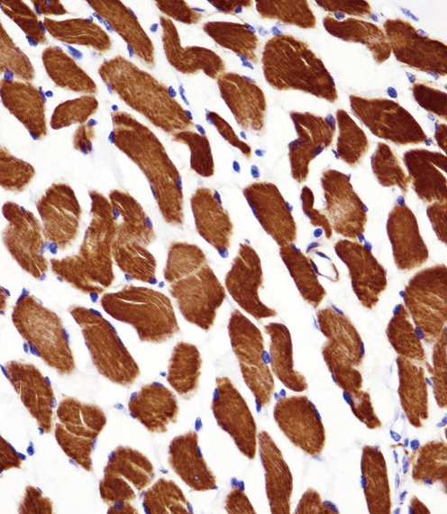
Rabbit Polyclonal ACTA1/Alpha-actin Antibody

中文名:ACTA1/Alpha-actin抗体

Catalog:IPDX31531

Size: 50μl / 100μl

Application: WB IF IHC ICC FCM Elisa

Reactivity:Human,Mouse,Rat

Synonyms:Actin, alpha skeletal muscle, Alpha-actin-1, ACTA1, ACTA

Type:Primary antibody

Rabbit Polyclonal MouseTec Antibody

中文名:Mouse Tec抗体

Catalog:IPDX31530

Size: 50μl / 100μl

Application: WB IF IHC ICC FCM Elisa

Reactivity:Human,Mouse,Rat

Synonyms:Tyrosine-protein kinase Tec, Tec

Type:Primary antibody

Rabbit Polyclonal MAPRE2(N-term) Antibody

中文名:MAPRE2 (N-term)抗体

Catalog:IPDX31529

Size: 50μl / 100μl

Application: WB IF IHC ICC FCM Elisa

Reactivity:Human,Mouse,Rat

Synonyms:Microtubule-associated protein RP/EB family member 2, APC-binding protein EB2, End-binding protein 2, EB2, MAPRE2, RP1

Type:Primary antibody

Rabbit Polyclonal SEPT5(N-term) Antibody

中文名:SEPT5 (N-term)抗体

Catalog:IPDX31528

Size: 50μl / 100μl

Application: WB IF IHC ICC FCM Elisa

Reactivity:Human,Mouse,Rat

Synonyms:Septin-5, Cell division control-related protein 1, CDCrel-1, Peanut-like protein 1, SEPT5, PNUTL1

Type:Primary antibody

Rabbit Polyclonal HTATIP2(N-term) Antibody

中文名:HTATIP2 (N-term)抗体

Catalog:IPDX31527

Size: 50μl / 100μl

Application: WB IF IHC ICC FCM Elisa

Reactivity:Human,Mouse,Rat

Synonyms:Oxidoreductase HTATIP2, 111-, 30 kDa HIV-1 TAT-interacting protein, HIV-1 TAT-interactive protein 2, HTATIP2 (<a href="http://www.genenames.org/cgi-bin/gene_symbol_report?hgnc_id=16637" target="_blank">HGNC:16637</a>)

Type:Primary antibody

Rabbit Polyclonal KCNA2 Antibody

中文名:KCNA2抗体

Catalog:IPDX31524

Size: 50μl / 100μl

Application: WB IF IHC ICC FCM Elisa

Reactivity:Human,Mouse,Rat

Synonyms:Potassium voltage-gated channel subfamily A member 2, NGK1, Voltage-gated K(+) channel HuKIV, Voltage-gated potassium channel HBK5, Voltage-gated potassium channel subunit Kv12, KCNA2

Type:Primary antibody

Rabbit Polyclonal KCNMB1 Antibody

中文名:KCNMB1抗体

Catalog:IPDX31523

Size: 50μl / 100μl

Application: WB IF IHC ICC FCM Elisa

Reactivity:Human,Mouse,Rat

Synonyms:Calcium-activated potassium channel subunit beta-1, BK channel subunit beta-1, BKbeta, BKbeta1, Hbeta1, Calcium-activated potassium channel, subfamily M subunit beta-1, Calcium-activated potassium channel subunit beta, Charybdotoxin receptor subunit beta-

Type:Primary antibody

Rabbit Polyclonal LSM14A Antibody

中文名:LSM14A抗体

Catalog:IPDX31522

Size: 50μl / 100μl

Application: WB IF IHC ICC FCM Elisa

Reactivity:Human,Mouse,Rat

Synonyms:Protein LSM14 homolog A, Protein FAM61A, Protein SCD6 homolog, Putative alpha-synuclein-binding protein, AlphaSNBP, RNA-associated protein 55A, hRAP55, hRAP55A, LSM14A, C19orf13, FAM61A, RAP55, RAP55A

Type:Primary antibody

Rabbit Polyclonal OR4C12 Antibody

中文名:OR4C12抗体

Catalog:IPDX31521

Size: 50μl / 100μl

Application: WB IF IHC ICC FCM Elisa

Reactivity:Human,Mouse,Rat

Synonyms:Olfactory receptor 4C12, Olfactory receptor OR11-259, OR4C12

Type:Primary antibody

Rabbit Polyclonal MINPP1 Antibody

中文名:MINPP1抗体

Catalog:IPDX31520

Size: 50μl / 100μl

Application: WB IF IHC ICC FCM Elisa

Reactivity:Human,Mouse,Rat

Synonyms:Multiple inositol polyphosphate phosphatase 1,3-bisphosphoglycerate 3-phosphatase,3-BPG phosphatase, Inositol (1,5)-tetrakisphosphate 3-phosphatase, Ins(1,5)P(4) 3-phosphatase, MINPP1, MIPP

Type:Primary antibody